Tendinous Signal Alterations on MRI in the Asymptomatic Elbow: A Retrospective Cross-Sectional Study.

IF 1.3 4区 医学 Q4 RADIOLOGY, NUCLEAR MEDICINE & MEDICAL IMAGING
Journal of the Belgian Society of Radiology Pub Date : 2024-07-13 eCollection Date: 2024-01-01 DOI:10.5334/jbsr.3651
Bjorn Valgaeren, Elyn Van Snick, Bart Claikens
{"title":"Tendinous Signal Alterations on MRI in the Asymptomatic Elbow: A Retrospective Cross-Sectional Study.","authors":"Bjorn Valgaeren, Elyn Van Snick, Bart Claikens","doi":"10.5334/jbsr.3651","DOIUrl":null,"url":null,"abstract":"<p><strong>Objectives: </strong>It is clinically relevant to prevent overtreatment of tendinopathy diagnosed solely on imaging. Therefore, the prevalence of presumable asymptomatic signal changes in the common flexor origin, biceps insertion, brachialis insertion, and triceps insertion were assessed.</p><p><strong>Materials and methods: </strong>Two hundred and five magnetic resonance imaging (MRI) exams of the elbow with coronal and axial fat-saturated fluid-sensitive sequences between January 1, 2018 and July 31, 2022 were retrospectively identified in our center.Two radiology residents reviewed the exams independently. The elbow tendons were given a score from 0 to 4. Score 0: no signal abnormality; score 1: increased T2-weighted signal around the tendon; score 2: increased T2-weighted signal compared to muscle within the tendon; score 3: partial tear; and score 4: complete tear.</p><p><strong>Results: </strong>The common flexor tendon showed signal alterations in 8% of patients; nine patients had an increased signal around the tendon, and eight patients had an increased signal within the tendon. Three patients (1.5%) had an altered signal intensity in the biceps tendon. All triceps tendons showed a linear hyperintense signal, suggesting that it is physiological. There were no partial or complete tears. No signal abnormalities were noted in the brachialis tendon among all patients.</p><p><strong>Conclusion: </strong>The prevalence of presumable asymptomatic signal alterations seen in the common flexor origin on MRI is not negligible; therefore, clinical correlation is advised to prevent overtreatment of tendinopathy in these cases. No partial or complete tears were seen.</p>","PeriodicalId":55987,"journal":{"name":"Journal of the Belgian Society of Radiology","volume":"108 1","pages":"69"},"PeriodicalIF":1.3000,"publicationDate":"2024-07-13","publicationTypes":"Journal Article","fieldsOfStudy":null,"isOpenAccess":false,"openAccessPdf":"https://www.ncbi.nlm.nih.gov/pmc/articles/PMC11259101/pdf/","citationCount":"0","resultStr":null,"platform":"Semanticscholar","paperid":null,"PeriodicalName":"Journal of the Belgian Society of Radiology","FirstCategoryId":"3","ListUrlMain":"https://doi.org/10.5334/jbsr.3651","RegionNum":4,"RegionCategory":"医学","ArticlePicture":[],"TitleCN":null,"AbstractTextCN":null,"PMCID":null,"EPubDate":"2024/1/1 0:00:00","PubModel":"eCollection","JCR":"Q4","JCRName":"RADIOLOGY, NUCLEAR MEDICINE & MEDICAL IMAGING","Score":null,"Total":0}
引用次数: 0

Abstract

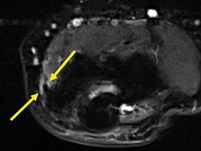
Objectives: It is clinically relevant to prevent overtreatment of tendinopathy diagnosed solely on imaging. Therefore, the prevalence of presumable asymptomatic signal changes in the common flexor origin, biceps insertion, brachialis insertion, and triceps insertion were assessed.

Materials and methods: Two hundred and five magnetic resonance imaging (MRI) exams of the elbow with coronal and axial fat-saturated fluid-sensitive sequences between January 1, 2018 and July 31, 2022 were retrospectively identified in our center.Two radiology residents reviewed the exams independently. The elbow tendons were given a score from 0 to 4. Score 0: no signal abnormality; score 1: increased T2-weighted signal around the tendon; score 2: increased T2-weighted signal compared to muscle within the tendon; score 3: partial tear; and score 4: complete tear.

Results: The common flexor tendon showed signal alterations in 8% of patients; nine patients had an increased signal around the tendon, and eight patients had an increased signal within the tendon. Three patients (1.5%) had an altered signal intensity in the biceps tendon. All triceps tendons showed a linear hyperintense signal, suggesting that it is physiological. There were no partial or complete tears. No signal abnormalities were noted in the brachialis tendon among all patients.

Conclusion: The prevalence of presumable asymptomatic signal alterations seen in the common flexor origin on MRI is not negligible; therefore, clinical correlation is advised to prevent overtreatment of tendinopathy in these cases. No partial or complete tears were seen.

Abstract Image

Abstract Image

Abstract Image

无症状肘关节 MRI 上的肌腱信号改变:回顾性横断面研究
目的:防止过度治疗仅通过影像学诊断的肌腱病具有临床意义。因此,我们对屈肌总起源、肱二头肌插入部、肱肌插入部和肱三头肌插入部的假定无症状信号变化的发生率进行了评估:回顾性地确定了本中心在 2018 年 1 月 1 日至 2022 年 7 月 31 日期间使用冠状和轴向脂肪饱和流体敏感序列进行的 255 次肘部磁共振成像(MRI)检查。对肘部肌腱进行0-4分评分:0分:无信号异常;1分:肌腱周围T2加权信号增加;2分:与肌腱内肌肉相比T2加权信号增加;3分:部分撕裂;4分:完全撕裂:结果:8%的患者屈肌腱出现信号改变;9名患者肌腱周围信号增强,8名患者肌腱内部信号增强。三名患者(1.5%)的肱二头肌肌腱信号强度发生改变。所有肱三头肌腱都显示出线性高强度信号,表明这是生理性的。没有部分或完全撕裂。所有患者的肱肌腱均未发现信号异常:结论:MRI检查中常见的屈肌腱起源处假定无症状信号改变的发生率并不低,因此建议进行临床相关分析,以防止对这些病例的肌腱病进行过度治疗。未发现部分或完全撕裂。
本文章由计算机程序翻译,如有差异,请以英文原文为准。
求助全文
约1分钟内获得全文 求助全文
来源期刊
Journal of the Belgian Society of Radiology
Journal of the Belgian Society of Radiology Medicine-Radiology, Nuclear Medicine and Imaging
CiteScore
0.70
自引率
5.00%
发文量
96
期刊介绍: The purpose of the Journal of the Belgian Society of Radiology is the publication of articles dealing with diagnostic and interventional radiology, related imaging techniques, allied sciences, and continuing education.
×
引用
GB/T 7714-2015
复制
MLA
复制
APA
复制
导出至
BibTeX EndNote RefMan NoteFirst NoteExpress
×
提示
您的信息不完整,为了账户安全,请先补充。
现在去补充
×
提示
您因"违规操作"
具体请查看互助需知
我知道了
×
提示
确定
请完成安全验证×
copy
已复制链接
快去分享给好友吧!
我知道了
右上角分享
点击右上角分享
0
联系我们:info@booksci.cn Book学术提供免费学术资源搜索服务,方便国内外学者检索中英文文献。致力于提供最便捷和优质的服务体验。 Copyright © 2023 布克学术 All rights reserved.
京ICP备2023020795号-1
ghs 京公网安备 11010802042870号
Book学术文献互助
Book学术文献互助群
群 号:604180095
Book学术官方微信