The effect of Dracocephalum subcapitatum hydroalcoholic extract on dexamethasone-induced hyperlipidemic rats.

IF 2.1 Q3 CHEMISTRY, MEDICINAL
Research in Pharmaceutical Sciences Pub Date : 2024-07-01 eCollection Date: 2024-06-01 DOI:10.4103/RPS.RPS_148_23
Leila Safaeian, Zeinab Yazdiniapour, Sara Hajibagher, Zohreh Bakhtiari, Paridokht Karimian
{"title":"The effect of <i>Dracocephalum subcapitatum</i> hydroalcoholic extract on dexamethasone-induced hyperlipidemic rats.","authors":"Leila Safaeian, Zeinab Yazdiniapour, Sara Hajibagher, Zohreh Bakhtiari, Paridokht Karimian","doi":"10.4103/RPS.RPS_148_23","DOIUrl":null,"url":null,"abstract":"<p><strong>Background and purpose: </strong>Recent data show the antihyperlipidemic activities of some plants belonging to the genus <i>Dracocephalum</i>. In this study, the effects of hydroalcoholic extract of <i>D. subcapitatum</i> (O. Kuntze) Lipsky aerial parts were evaluated in a model of hyperlipidemia induced by dexamethasone.</p><p><strong>Experimental approach: </strong>The extract was prepared by maceration method and its total phenolic content was determined. Seven groups of 6 Wistar rats were used as follows: group 1 (normal control) received vehicle; group 2 (extract control) treated only with 200 mg/kg <i>D. subcapitatum;</i> group 3 (hyperlipidemia control) received dexamethasone (10 mg/kg/day, subcutaneously); group 4 (reference) received dexamethasone and atorvastatin (40 mg/kg, orally), and groups 5-7 (test groups) received dexamethasone and simultaneously treated orally with 50, 100, or 200 mg/kg <i>D. subcapitatum</i>. All treatments were done for 1 week. Serum lipid profile, fasting blood glucose, malondialdehyde concentration, and liver histopathology were examined.</p><p><strong>Findings/results: </strong>Total phenolic content was 77.34 ± 4.9 mg/g as gallic acid equivalent. Treatment with <i>D. subcapitatum</i> (200 mg/kg) meaningfully declined triglycerides, total cholesterol, low-density lipoprotein, very low-density lipoprotein, blood glucose, alanine aminotransferase, aspartate aminotransferase, and malondialdehyde levels, and alleviated hepatic steatosis in dexamethasone-induced dyslipidemic rats.</p><p><strong>Conclusion and implications: </strong>Findings of the current study suggest that <i>D. subcapitatum</i> may be effective in the management of hyperlipidemia. Further studies are necessary to determine the clinical efficacy of this treatment and to understand the underlying mechanisms responsible for its ability to lower lipid levels.</p>","PeriodicalId":21075,"journal":{"name":"Research in Pharmaceutical Sciences","volume":"19 3","pages":"319-327"},"PeriodicalIF":2.1000,"publicationDate":"2024-07-01","publicationTypes":"Journal Article","fieldsOfStudy":null,"isOpenAccess":false,"openAccessPdf":"https://www.ncbi.nlm.nih.gov/pmc/articles/PMC11257195/pdf/","citationCount":"0","resultStr":null,"platform":"Semanticscholar","paperid":null,"PeriodicalName":"Research in Pharmaceutical Sciences","FirstCategoryId":"1085","ListUrlMain":"https://doi.org/10.4103/RPS.RPS_148_23","RegionNum":0,"RegionCategory":null,"ArticlePicture":[],"TitleCN":null,"AbstractTextCN":null,"PMCID":null,"EPubDate":"2024/6/1 0:00:00","PubModel":"eCollection","JCR":"Q3","JCRName":"CHEMISTRY, MEDICINAL","Score":null,"Total":0}
引用次数: 0

Abstract

Background and purpose: Recent data show the antihyperlipidemic activities of some plants belonging to the genus Dracocephalum. In this study, the effects of hydroalcoholic extract of D. subcapitatum (O. Kuntze) Lipsky aerial parts were evaluated in a model of hyperlipidemia induced by dexamethasone.

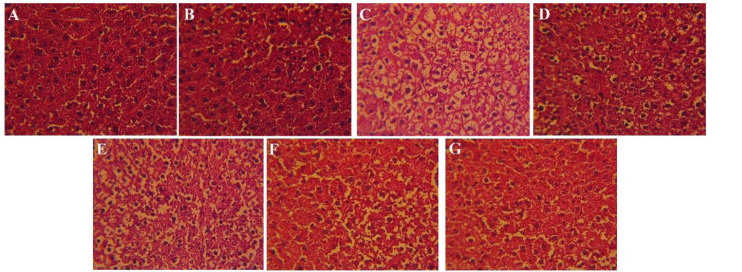
Experimental approach: The extract was prepared by maceration method and its total phenolic content was determined. Seven groups of 6 Wistar rats were used as follows: group 1 (normal control) received vehicle; group 2 (extract control) treated only with 200 mg/kg D. subcapitatum; group 3 (hyperlipidemia control) received dexamethasone (10 mg/kg/day, subcutaneously); group 4 (reference) received dexamethasone and atorvastatin (40 mg/kg, orally), and groups 5-7 (test groups) received dexamethasone and simultaneously treated orally with 50, 100, or 200 mg/kg D. subcapitatum. All treatments were done for 1 week. Serum lipid profile, fasting blood glucose, malondialdehyde concentration, and liver histopathology were examined.

Findings/results: Total phenolic content was 77.34 ± 4.9 mg/g as gallic acid equivalent. Treatment with D. subcapitatum (200 mg/kg) meaningfully declined triglycerides, total cholesterol, low-density lipoprotein, very low-density lipoprotein, blood glucose, alanine aminotransferase, aspartate aminotransferase, and malondialdehyde levels, and alleviated hepatic steatosis in dexamethasone-induced dyslipidemic rats.

Conclusion and implications: Findings of the current study suggest that D. subcapitatum may be effective in the management of hyperlipidemia. Further studies are necessary to determine the clinical efficacy of this treatment and to understand the underlying mechanisms responsible for its ability to lower lipid levels.

Abstract Image

Abstract Image

亚头状花序水醇提取物对地塞米松诱导的高脂血症大鼠的影响
背景和目的:最新数据显示,龙脑属的一些植物具有抗高脂血症活性。本研究评估了 D. subcapitatum (O. Kuntze) Lipsky 气生部分水醇提取物在地塞米松诱导的高脂血症模型中的作用:实验方法:浸渍法制备提取物并测定其总酚含量。实验方法:采用浸泡法制备提取物,并测定其总酚含量。7 组 6 只 Wistar 大鼠的实验结果如下:第 1 组(正常对照组)接受药物治疗;第 2 组(提取物对照组)仅接受 200 mg/kg D.亚卡比妥;第 3 组(高脂血症对照组)服用地塞米松(10 毫克/千克/天,皮下注射);第 4 组(参照组)服用地塞米松和阿托伐他汀(40 毫克/千克,口服);第 5-7 组(试验组)服用地塞米松,同时口服 50、100 或 200 毫克/千克的亚卡比妥。所有治疗均持续 1 周。对血脂概况、空腹血糖、丙二醛浓度和肝组织病理学进行了检查:总酚含量为 77.34 ± 4.9 mg/g(没食子酸当量)。亚头孢烷基二氢萘 (D. subcapitatum) 治疗(200 毫克/千克)可有效降低甘油三酯、总胆固醇、低密度脂蛋白、极低密度脂蛋白、血糖、丙氨酸氨基转移酶、天门冬氨酸氨基转移酶和丙二醛水平,并缓解地塞米松诱导的血脂异常大鼠的肝脂肪变性:目前的研究结果表明,D. subcapitatum 可有效治疗高脂血症。有必要开展进一步研究,以确定这种疗法的临床疗效,并了解其降低血脂水平的潜在机制。
本文章由计算机程序翻译,如有差异,请以英文原文为准。
求助全文
约1分钟内获得全文 求助全文
来源期刊
Research in Pharmaceutical Sciences
Research in Pharmaceutical Sciences CHEMISTRY, MEDICINAL-
CiteScore
3.60
自引率
19.00%
发文量
50
审稿时长
34 weeks
期刊介绍: Research in Pharmaceutical Sciences (RPS) is included in Thomson Reuters ESCI Web of Science (searchable at WoS master journal list), indexed with PubMed and PubMed Central and abstracted in the Elsevier Bibliographic Databases. Databases include Scopus, EMBASE, EMCare, EMBiology and Elsevier BIOBASE. It is also indexed in several specialized databases including Scientific Information Database (SID), Google Scholar, Iran Medex, Magiran, Index Copernicus (IC) and Islamic World Science Citation Center (ISC).
×
引用
GB/T 7714-2015
复制
MLA
复制
APA
复制
导出至
BibTeX EndNote RefMan NoteFirst NoteExpress
×
提示
您的信息不完整,为了账户安全,请先补充。
现在去补充
×
提示
您因"违规操作"
具体请查看互助需知
我知道了
×
提示
确定
请完成安全验证×
copy
已复制链接
快去分享给好友吧!
我知道了
右上角分享
点击右上角分享
0
联系我们:info@booksci.cn Book学术提供免费学术资源搜索服务,方便国内外学者检索中英文文献。致力于提供最便捷和优质的服务体验。 Copyright © 2023 布克学术 All rights reserved.
京ICP备2023020795号-1
ghs 京公网安备 11010802042870号
Book学术文献互助
Book学术文献互助群
群 号:604180095
Book学术官方微信