Effect of Tamarindus indica L. fruit pulp and seed extracts on experimental ulcerative colitis in rats.

IF 2.1 Q3 CHEMISTRY, MEDICINAL
Research in Pharmaceutical Sciences Pub Date : 2024-07-01 eCollection Date: 2024-06-01 DOI:10.4103/RPS.RPS_131_23
Mohsen Minaiyan, Sepehr Abolhasani, Setareh Sima, Afsaneh Yegdaneh
{"title":"Effect of <i>Tamarindus indica</i> L. fruit pulp and seed extracts on experimental ulcerative colitis in rats.","authors":"Mohsen Minaiyan, Sepehr Abolhasani, Setareh Sima, Afsaneh Yegdaneh","doi":"10.4103/RPS.RPS_131_23","DOIUrl":null,"url":null,"abstract":"<p><strong>Background and purpose: </strong><i>Tamarindus indica</i> L. which has anti-inflammatory, radical scavenging, and ulcer healing effects can be useful for the alleviation of inflammatory bowel disease (IBD). Therefore, the effects of <i>T. indica</i> fruit pulp (TIPE) and seed extracts (TISE) were investigated on experimental colitis.</p><p><strong>Experimental approach: </strong>TIPE and TISE (125, 250, and 500 mg/kg) were made by maceration (ethanol/water: 80/30) and administered to male Wistar rats with acetic acid-induced colitis. Prednisolone (4 mg/kg) and mesalazine (100 mg/kg) were used as reference drugs. The colon tissues were examined for macroscopic and pathologic parameters and myeloperoxidase (MPO) and malondialdehyde (MDA) values.</p><p><strong>Findings/results: </strong>The total phenols were 45.7 ± 1.1 and 453.0 ± 3.3 mg/g in terms of gallic acid for TIPE and TISE, respectively. Both of the extracts significantly improved most of the investigated parameters including body weight loss, the weight of colons, indices of ulcers, and total colitis. MPO activity and MDA in the treatment groups (except for TIPE at 125 mg/Kg) significantly decreased compared to the control.</p><p><strong>Conclusion and implications: </strong>Both TIPE and TISE were effective in the treatment of colitis however it seems that the effective ingredients were more concentrated in seeds rather than pulp extract so the highest dose of seed extract had a competitive effect with reference drugs. More studies are needed to introduce <i>T. indica</i> as a suitable complementary medicine or food for patients with IBD.</p>","PeriodicalId":21075,"journal":{"name":"Research in Pharmaceutical Sciences","volume":"19 3","pages":"276-286"},"PeriodicalIF":2.1000,"publicationDate":"2024-07-01","publicationTypes":"Journal Article","fieldsOfStudy":null,"isOpenAccess":false,"openAccessPdf":"https://www.ncbi.nlm.nih.gov/pmc/articles/PMC11257200/pdf/","citationCount":"0","resultStr":null,"platform":"Semanticscholar","paperid":null,"PeriodicalName":"Research in Pharmaceutical Sciences","FirstCategoryId":"1085","ListUrlMain":"https://doi.org/10.4103/RPS.RPS_131_23","RegionNum":0,"RegionCategory":null,"ArticlePicture":[],"TitleCN":null,"AbstractTextCN":null,"PMCID":null,"EPubDate":"2024/6/1 0:00:00","PubModel":"eCollection","JCR":"Q3","JCRName":"CHEMISTRY, MEDICINAL","Score":null,"Total":0}
引用次数: 0

Abstract

Background and purpose: Tamarindus indica L. which has anti-inflammatory, radical scavenging, and ulcer healing effects can be useful for the alleviation of inflammatory bowel disease (IBD). Therefore, the effects of T. indica fruit pulp (TIPE) and seed extracts (TISE) were investigated on experimental colitis.

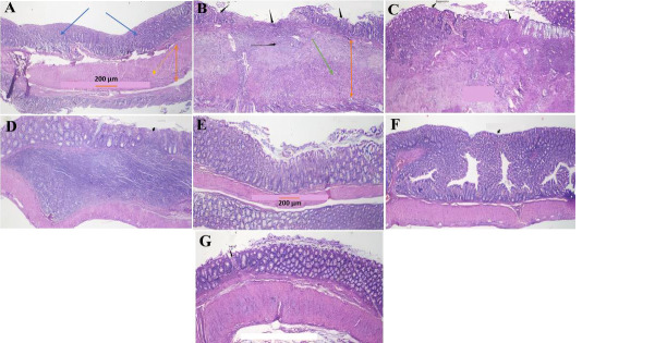
Experimental approach: TIPE and TISE (125, 250, and 500 mg/kg) were made by maceration (ethanol/water: 80/30) and administered to male Wistar rats with acetic acid-induced colitis. Prednisolone (4 mg/kg) and mesalazine (100 mg/kg) were used as reference drugs. The colon tissues were examined for macroscopic and pathologic parameters and myeloperoxidase (MPO) and malondialdehyde (MDA) values.

Findings/results: The total phenols were 45.7 ± 1.1 and 453.0 ± 3.3 mg/g in terms of gallic acid for TIPE and TISE, respectively. Both of the extracts significantly improved most of the investigated parameters including body weight loss, the weight of colons, indices of ulcers, and total colitis. MPO activity and MDA in the treatment groups (except for TIPE at 125 mg/Kg) significantly decreased compared to the control.

Conclusion and implications: Both TIPE and TISE were effective in the treatment of colitis however it seems that the effective ingredients were more concentrated in seeds rather than pulp extract so the highest dose of seed extract had a competitive effect with reference drugs. More studies are needed to introduce T. indica as a suitable complementary medicine or food for patients with IBD.

Abstract Image

Abstract Image

Abstract Image

罗望子果肉和种子提取物对大鼠实验性溃疡性结肠炎的影响
背景和目的:罗望子(Tamarindus indica L.)具有抗炎、清除自由基和愈合溃疡的作用,可用于缓解炎症性肠病(IBD)。因此,研究了 T. indica 果肉(TIPE)和种子提取物(TISE)对实验性结肠炎的影响:实验方法:用浸渍法(乙醇/水:80/30)制成 TIPE 和 TISE(125、250 和 500 毫克/千克),并给醋酸诱发结肠炎的雄性 Wistar 大鼠服用。泼尼松龙(4 毫克/千克)和美沙拉秦(100 毫克/千克)为参照药物。对结肠组织的宏观和病理参数以及髓过氧化物酶(MPO)和丙二醛(MDA)值进行了检查:以没食子酸计,TIPE 和 TISE 的总酚含量分别为 45.7 ± 1.1 和 453.0 ± 3.3 mg/g。两种提取物都能明显改善大多数调查参数,包括体重减轻、结肠重量、溃疡指数和总结肠炎。与对照组相比,治疗组(125 毫克/千克的 TIPE 除外)的 MPO 活性和 MDA 均明显降低:TIPE和TISE都能有效治疗结肠炎,但种子中的有效成分似乎比果肉提取物更集中,因此最高剂量的种子提取物与参考药物相比具有竞争效果。需要进行更多的研究,以便将 T. indica 作为 IBD 患者的合适辅助药物或食物。
本文章由计算机程序翻译,如有差异,请以英文原文为准。
求助全文
约1分钟内获得全文 求助全文
来源期刊
Research in Pharmaceutical Sciences
Research in Pharmaceutical Sciences CHEMISTRY, MEDICINAL-
CiteScore
3.60
自引率
19.00%
发文量
50
审稿时长
34 weeks
期刊介绍: Research in Pharmaceutical Sciences (RPS) is included in Thomson Reuters ESCI Web of Science (searchable at WoS master journal list), indexed with PubMed and PubMed Central and abstracted in the Elsevier Bibliographic Databases. Databases include Scopus, EMBASE, EMCare, EMBiology and Elsevier BIOBASE. It is also indexed in several specialized databases including Scientific Information Database (SID), Google Scholar, Iran Medex, Magiran, Index Copernicus (IC) and Islamic World Science Citation Center (ISC).
×
引用
GB/T 7714-2015
复制
MLA
复制
APA
复制
导出至
BibTeX EndNote RefMan NoteFirst NoteExpress
×
提示
您的信息不完整,为了账户安全,请先补充。
现在去补充
×
提示
您因"违规操作"
具体请查看互助需知
我知道了
×
提示
确定
请完成安全验证×
copy
已复制链接
快去分享给好友吧!
我知道了
右上角分享
点击右上角分享
0
联系我们:info@booksci.cn Book学术提供免费学术资源搜索服务,方便国内外学者检索中英文文献。致力于提供最便捷和优质的服务体验。 Copyright © 2023 布克学术 All rights reserved.
京ICP备2023020795号-1
ghs 京公网安备 11010802042870号
Book学术文献互助
Book学术文献互助群
群 号:604180095
Book学术官方微信