Comparison Between Twenty-Four-Hour Collection and Single Spot Urines for the Detection of Biogenic Amines by High-Performance Liquid Chromatography Tandem Mass Spectrometry.

IF 2 Q2 MEDICINE, GENERAL & INTERNAL
Journal of clinical medicine research Pub Date : 2024-06-01 Epub Date: 2024-06-30 DOI:10.14740/jocmr5070
Chiara Rosato, Marilena Greco, Giovanni Marciante, Roberta Assunta Lazzari, Floriano Indino, Giambattista Lobreglio
{"title":"Comparison Between Twenty-Four-Hour Collection and Single Spot Urines for the Detection of Biogenic Amines by High-Performance Liquid Chromatography Tandem Mass Spectrometry.","authors":"Chiara Rosato, Marilena Greco, Giovanni Marciante, Roberta Assunta Lazzari, Floriano Indino, Giambattista Lobreglio","doi":"10.14740/jocmr5070","DOIUrl":null,"url":null,"abstract":"<p><strong>Background: </strong>Pheochromocytomas and paragangliomas (PPGL) are neuroendocrine tumors that originate from adrenal medulla or extra-adrenal chromaffin cells, respectively. They produce an excess of catecholamines and their metabolites. Abnormal levels of these biomolecules have been also found in pediatric patients with neuroblastoma (NB). Due to the diurnal fluctuation, the laboratory practice recommends the determination of biogenic amines in acidified 24-h urine samples. However, the collection and acidification of specimens cannot be performed easily, especially for children. Spot urines represent an attractive alternative for the detection of catecholamines and corresponding metabolites.</p><p><strong>Methods: </strong>In our study, we enrolled 50 patients with symptoms related to PPGL and we determined the concentration values for both spot and 24-h urine samples using high-performance liquid chromatography tandem mass spectrometry (HPLC/MS-MS). Since day variations of the urinary concentration are due to fluctuations in renal excretion rather than in production, we normalized the concentration of biogenic amines in spot urine and in 24-h urine collection to urinary creatinine concentration. A correlation study between the normalized levels of biogenic amines was performed using a linear regression analysis model and Pearson's correlation coefficients.</p><p><strong>Results: </strong>We obtained a good correlation of values which suggests an interchangeability of the 24-h and random urine samples. Only for epinephrine a weak correlation was determined.</p><p><strong>Conclusions: </strong>Our findings suggest that the sample collection as single spot urine may replace 24-h collection for the detection of urinary biogenic amines by HPLC/MS-MS.</p>","PeriodicalId":94329,"journal":{"name":"Journal of clinical medicine research","volume":"16 6","pages":"293-301"},"PeriodicalIF":2.0000,"publicationDate":"2024-06-01","publicationTypes":"Journal Article","fieldsOfStudy":null,"isOpenAccess":false,"openAccessPdf":"https://www.ncbi.nlm.nih.gov/pmc/articles/PMC11254308/pdf/","citationCount":"0","resultStr":null,"platform":"Semanticscholar","paperid":null,"PeriodicalName":"Journal of clinical medicine research","FirstCategoryId":"1085","ListUrlMain":"https://doi.org/10.14740/jocmr5070","RegionNum":0,"RegionCategory":null,"ArticlePicture":[],"TitleCN":null,"AbstractTextCN":null,"PMCID":null,"EPubDate":"2024/6/30 0:00:00","PubModel":"Epub","JCR":"Q2","JCRName":"MEDICINE, GENERAL & INTERNAL","Score":null,"Total":0}
引用次数: 0

Abstract

Background: Pheochromocytomas and paragangliomas (PPGL) are neuroendocrine tumors that originate from adrenal medulla or extra-adrenal chromaffin cells, respectively. They produce an excess of catecholamines and their metabolites. Abnormal levels of these biomolecules have been also found in pediatric patients with neuroblastoma (NB). Due to the diurnal fluctuation, the laboratory practice recommends the determination of biogenic amines in acidified 24-h urine samples. However, the collection and acidification of specimens cannot be performed easily, especially for children. Spot urines represent an attractive alternative for the detection of catecholamines and corresponding metabolites.

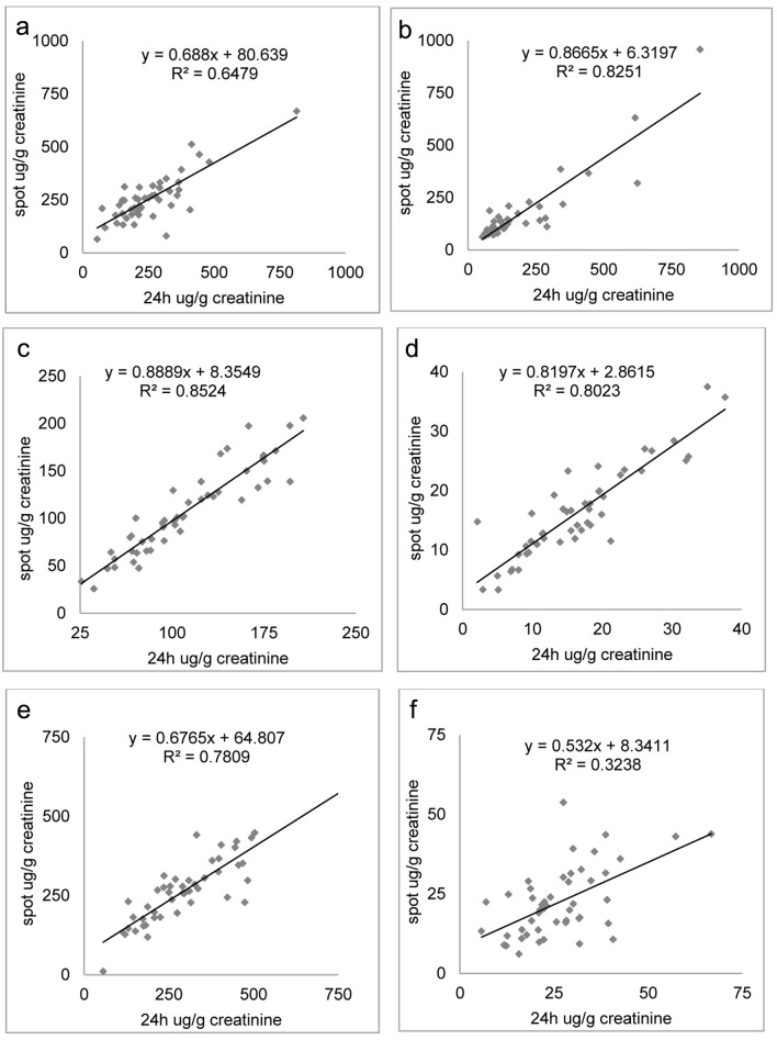
Methods: In our study, we enrolled 50 patients with symptoms related to PPGL and we determined the concentration values for both spot and 24-h urine samples using high-performance liquid chromatography tandem mass spectrometry (HPLC/MS-MS). Since day variations of the urinary concentration are due to fluctuations in renal excretion rather than in production, we normalized the concentration of biogenic amines in spot urine and in 24-h urine collection to urinary creatinine concentration. A correlation study between the normalized levels of biogenic amines was performed using a linear regression analysis model and Pearson's correlation coefficients.

Results: We obtained a good correlation of values which suggests an interchangeability of the 24-h and random urine samples. Only for epinephrine a weak correlation was determined.

Conclusions: Our findings suggest that the sample collection as single spot urine may replace 24-h collection for the detection of urinary biogenic amines by HPLC/MS-MS.

Abstract Image

Abstract Image

Abstract Image

用高效液相色谱串联质谱法检测二十四小时采集尿液和单点尿液中的生物胺比较
背景:嗜铬细胞瘤和副神经节瘤(PPGL)是分别起源于肾上腺髓质或肾上腺外绒毛膜细胞的神经内分泌肿瘤。它们会产生过量的儿茶酚胺及其代谢物。在患有神经母细胞瘤(NB)的儿童患者中也发现了这些生物大分子的异常水平。由于存在昼夜波动,实验室建议在酸化的 24 小时尿样中测定生物胺。然而,标本的收集和酸化并不容易进行,尤其是对儿童而言。点滴尿液是检测儿茶酚胺和相应代谢物的一种有吸引力的替代方法:在我们的研究中,我们招募了 50 名有 PPGL 相关症状的患者,并使用高效液相色谱串联质谱法(HPLC/MS-MS)测定了定点尿样和 24 小时尿样的浓度值。由于尿液浓度的日变化是由于肾脏排泄的波动而非产生的波动,我们将定点尿液和 24 小时尿液样本中的生物胺浓度归一化为尿肌酐浓度。使用线性回归分析模型和皮尔逊相关系数对生物胺的归一化水平进行了相关性研究:结果:我们得到的数值具有良好的相关性,这表明 24 小时尿样和随机尿样具有互换性。只有肾上腺素的相关性较弱:我们的研究结果表明,在使用 HPLC/MS-MS 检测尿液中的生物胺时,单点尿液样本采集可取代 24 小时尿液样本采集。
本文章由计算机程序翻译,如有差异,请以英文原文为准。
求助全文
约1分钟内获得全文 求助全文
来源期刊
CiteScore
5.10
自引率
0.00%
发文量
0
×
引用
GB/T 7714-2015
复制
MLA
复制
APA
复制
导出至
BibTeX EndNote RefMan NoteFirst NoteExpress
×
提示
您的信息不完整,为了账户安全,请先补充。
现在去补充
×
提示
您因"违规操作"
具体请查看互助需知
我知道了
×
提示
确定
请完成安全验证×
copy
已复制链接
快去分享给好友吧!
我知道了
右上角分享
点击右上角分享
0
联系我们:info@booksci.cn Book学术提供免费学术资源搜索服务,方便国内外学者检索中英文文献。致力于提供最便捷和优质的服务体验。 Copyright © 2023 布克学术 All rights reserved.
京ICP备2023020795号-1
ghs 京公网安备 11010802042870号
Book学术文献互助
Book学术文献互助群
群 号:604180095
Book学术官方微信