Cafe-au-lait spots with resistant hypertension are an indicator of pheochromocytoma: a rare case report.

Meriam Amri, El Mehdi Tamir, Abdenasser Drighil, Rachida Habbal
{"title":"Cafe-au-lait spots with resistant hypertension are an indicator of pheochromocytoma: a rare case report.","authors":"Meriam Amri, El Mehdi Tamir, Abdenasser Drighil, Rachida Habbal","doi":"10.47487/apcyccv.v5i2.351","DOIUrl":null,"url":null,"abstract":"<p><p>This case report is one of the rare cases of bilateral pheochromocytoma associated with neurofibromatosis type 1. The interest lies in the clinical form in which the diagnosis was revealed. We report the case of a 38-year-old woman admitted for severe hypertension resistant to triple therapy. Clinical examination revealed Cafe-au-lait spots, which are pigmented birthmarks that appear as patches on the skin with a light to dark brown colour. More than six spots are present in an estimated 95% of people diagnosed with neurofibromatosis type 1 (NF1). Abdominal computed tomography (CT) showed bilateral adrenal tumor involvement. The diagnosis of pheochromocytoma was made by measuring urinary Vanillylmandelic acid (VMA). The evolution was favorable after the excision of the tumor, with normalization of blood pressure. In conclusion: resistant hypertension with café au lait spots may indicate pheochromocytoma, especially bilateral, suggesting an underlying genetic condition like NF1, warranting systematic screening.</p>","PeriodicalId":72295,"journal":{"name":"Archivos Peruanos de cardiologia y cirugia cardiovascular","volume":"5 2","pages":"e351"},"PeriodicalIF":0.0000,"publicationDate":"2024-06-24","publicationTypes":"Journal Article","fieldsOfStudy":null,"isOpenAccess":false,"openAccessPdf":"https://www.ncbi.nlm.nih.gov/pmc/articles/PMC11247971/pdf/","citationCount":"0","resultStr":null,"platform":"Semanticscholar","paperid":null,"PeriodicalName":"Archivos Peruanos de cardiologia y cirugia cardiovascular","FirstCategoryId":"1085","ListUrlMain":"https://doi.org/10.47487/apcyccv.v5i2.351","RegionNum":0,"RegionCategory":null,"ArticlePicture":[],"TitleCN":null,"AbstractTextCN":null,"PMCID":null,"EPubDate":"2024/4/1 0:00:00","PubModel":"eCollection","JCR":"","JCRName":"","Score":null,"Total":0}
引用次数: 0

Abstract

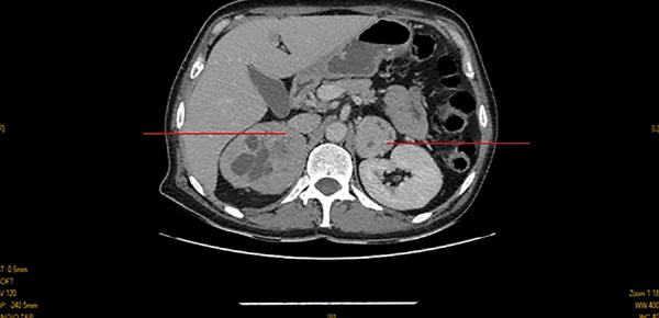
This case report is one of the rare cases of bilateral pheochromocytoma associated with neurofibromatosis type 1. The interest lies in the clinical form in which the diagnosis was revealed. We report the case of a 38-year-old woman admitted for severe hypertension resistant to triple therapy. Clinical examination revealed Cafe-au-lait spots, which are pigmented birthmarks that appear as patches on the skin with a light to dark brown colour. More than six spots are present in an estimated 95% of people diagnosed with neurofibromatosis type 1 (NF1). Abdominal computed tomography (CT) showed bilateral adrenal tumor involvement. The diagnosis of pheochromocytoma was made by measuring urinary Vanillylmandelic acid (VMA). The evolution was favorable after the excision of the tumor, with normalization of blood pressure. In conclusion: resistant hypertension with café au lait spots may indicate pheochromocytoma, especially bilateral, suggesting an underlying genetic condition like NF1, warranting systematic screening.

Abstract Image

Abstract Image

咖啡色斑伴有抵抗性高血压是嗜铬细胞瘤的指标:一例罕见病例报告。
本病例报告是与神经纤维瘤病 1 型相关的双侧嗜铬细胞瘤的罕见病例之一。该病例的有趣之处在于其确诊时的临床表现。我们报告了一例因严重高血压对三联疗法耐药而入院的 38 岁女性病例。临床检查发现了咖啡斑,这是一种色素性胎记,表现为皮肤上浅棕色至深棕色的斑块。据估计,95% 的 1 型神经纤维瘤病(NF1)患者身上会出现六个以上的斑点。腹部计算机断层扫描(CT)显示双侧肾上腺肿瘤受累。通过测量尿液中的香草酸(VMA),确诊为嗜铬细胞瘤。肿瘤切除后,病情发展良好,血压恢复正常。总之:伴有咖啡斑的抵抗性高血压可能预示着嗜铬细胞瘤,尤其是双侧嗜铬细胞瘤,提示潜在的遗传疾病,如 NF1,需要进行系统筛查。
本文章由计算机程序翻译,如有差异,请以英文原文为准。
求助全文
约1分钟内获得全文 求助全文
来源期刊
CiteScore
0.40
自引率
0.00%
发文量
0
审稿时长
4 weeks
×
引用
GB/T 7714-2015
复制
MLA
复制
APA
复制
导出至
BibTeX EndNote RefMan NoteFirst NoteExpress
×
提示
您的信息不完整,为了账户安全,请先补充。
现在去补充
×
提示
您因"违规操作"
具体请查看互助需知
我知道了
×
提示
确定
请完成安全验证×
copy
已复制链接
快去分享给好友吧!
我知道了
右上角分享
点击右上角分享
0
联系我们:info@booksci.cn Book学术提供免费学术资源搜索服务,方便国内外学者检索中英文文献。致力于提供最便捷和优质的服务体验。 Copyright © 2023 布克学术 All rights reserved.
京ICP备2023020795号-1
ghs 京公网安备 11010802042870号
Book学术文献互助
Book学术文献互助群
群 号:604180095
Book学术官方微信