Unveiling Neglected Concerns: Possible Severe Hepatic Complications after Nephrectomy in Autosomal Dominant Polycystic Kidney Disease - A Case Report.

IF 0.9 Q4 UROLOGY & NEPHROLOGY
Case Reports in Nephrology and Dialysis Pub Date : 2024-07-15 eCollection Date: 2024-01-01 DOI:10.1159/000538951
Liliana Italia De Rosa, Martina Catania, Francesca Tunesi, Marta Vespa, Romina Bucci, Kristiana Kola, Giuseppe Vezzoli, Maria Teresa Sciarrone Alibrandi
{"title":"Unveiling Neglected Concerns: Possible Severe Hepatic Complications after Nephrectomy in Autosomal Dominant Polycystic Kidney Disease - A Case Report.","authors":"Liliana Italia De Rosa, Martina Catania, Francesca Tunesi, Marta Vespa, Romina Bucci, Kristiana Kola, Giuseppe Vezzoli, Maria Teresa Sciarrone Alibrandi","doi":"10.1159/000538951","DOIUrl":null,"url":null,"abstract":"<p><strong>Introduction: </strong>Autosomal dominant polycystic kidney disease (ADPKD) is the most common genetic kidney disease and the 4th leading cause of renal replacement therapy in the world. ADPKD is a systemic disorder as cysts may develop in several organs. Liver cysts are the most common extrarenal manifestations and are often incidentally detected. Even though cysts do not influence liver function, they can grow to a very great size and can significantly enlarge liver volume, causing structural distortion of the biliary tree and patient discomfort due to the mass effect. Nephrectomy is frequently considered in preparation for renal transplantation in patients with remarkable kidneys' enlargement. There are currently no globally recognized clinical guidelines for nephrectomy. Although cysts do not normally affect liver function in ADPKD, after nephrectomy cases of liver fibrosis and Budd-Chiari have been reported. These are uncommon disorders due to the obstruction of the blood flow in the hepatic venous causing spleen and liver volume enlargement, portal hypertension, and hepatic cirrhosis.</p><p><strong>Case presentation: </strong>We present a case of hepatic fibrosis with splenomegaly and severe pancytopenia as a tardive complication after bilateral nephrectomy in 47-year-old ADPKD patient.</p><p><strong>Conclusion: </strong>This finding underscores the critical significance of meticulously examining the anatomical relationship between polycystic kidneys and the liver before performing nephrectomy. Additionally, it highlights the importance of assessing liver involvement and associated complications. By integrating liver assessment into the criteria, we can significantly enhance patient care and improve the overall management of ADPKD before kidney transplantation.</p>","PeriodicalId":9599,"journal":{"name":"Case Reports in Nephrology and Dialysis","volume":"14 1","pages":"116-121"},"PeriodicalIF":0.9000,"publicationDate":"2024-07-15","publicationTypes":"Journal Article","fieldsOfStudy":null,"isOpenAccess":false,"openAccessPdf":"https://www.ncbi.nlm.nih.gov/pmc/articles/PMC11250061/pdf/","citationCount":"0","resultStr":null,"platform":"Semanticscholar","paperid":null,"PeriodicalName":"Case Reports in Nephrology and Dialysis","FirstCategoryId":"1085","ListUrlMain":"https://doi.org/10.1159/000538951","RegionNum":0,"RegionCategory":null,"ArticlePicture":[],"TitleCN":null,"AbstractTextCN":null,"PMCID":null,"EPubDate":"2024/1/1 0:00:00","PubModel":"eCollection","JCR":"Q4","JCRName":"UROLOGY & NEPHROLOGY","Score":null,"Total":0}
引用次数: 0

Abstract

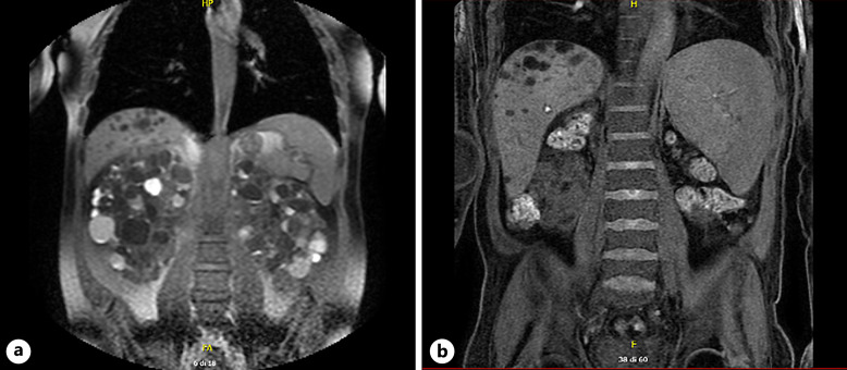
Introduction: Autosomal dominant polycystic kidney disease (ADPKD) is the most common genetic kidney disease and the 4th leading cause of renal replacement therapy in the world. ADPKD is a systemic disorder as cysts may develop in several organs. Liver cysts are the most common extrarenal manifestations and are often incidentally detected. Even though cysts do not influence liver function, they can grow to a very great size and can significantly enlarge liver volume, causing structural distortion of the biliary tree and patient discomfort due to the mass effect. Nephrectomy is frequently considered in preparation for renal transplantation in patients with remarkable kidneys' enlargement. There are currently no globally recognized clinical guidelines for nephrectomy. Although cysts do not normally affect liver function in ADPKD, after nephrectomy cases of liver fibrosis and Budd-Chiari have been reported. These are uncommon disorders due to the obstruction of the blood flow in the hepatic venous causing spleen and liver volume enlargement, portal hypertension, and hepatic cirrhosis.

Case presentation: We present a case of hepatic fibrosis with splenomegaly and severe pancytopenia as a tardive complication after bilateral nephrectomy in 47-year-old ADPKD patient.

Conclusion: This finding underscores the critical significance of meticulously examining the anatomical relationship between polycystic kidneys and the liver before performing nephrectomy. Additionally, it highlights the importance of assessing liver involvement and associated complications. By integrating liver assessment into the criteria, we can significantly enhance patient care and improve the overall management of ADPKD before kidney transplantation.

Abstract Image

Abstract Image

揭开被忽视的问题:常染色体显性遗传多囊肾肾病肾切除术后可能出现的严重肝脏并发症--病例报告。
简介常染色体显性多囊肾(ADPKD)是最常见的遗传性肾脏疾病,也是全球肾脏替代治疗的第四大主要原因。ADPKD 是一种全身性疾病,因为囊肿可能发生在多个器官。肝囊肿是最常见的肾外表现,经常被偶然发现。尽管肝囊肿不会影响肝功能,但它可以长到非常大,会明显增大肝脏体积,导致胆管结构扭曲,并因肿块效应而使患者感到不适。肾脏明显增大的患者在准备肾移植时经常会考虑肾切除术。目前还没有全球公认的肾切除术临床指南。虽然肾囊肿通常不会影响 ADPKD 患者的肝功能,但也有肾切除术后出现肝纤维化和 Budd-Chiari 病例的报道。这些都是由于肝静脉血流受阻导致脾脏和肝脏体积增大、门静脉高压和肝硬化而引起的不常见疾病:我们报告了一例 47 岁的 ADPKD 患者在双侧肾切除术后并发肝纤维化伴脾肿大和严重泛发性肝硬化的病例:这一发现强调了在实施肾切除术前仔细检查多囊肾和肝脏之间的解剖关系的重要性。此外,它还强调了评估肝脏受累和相关并发症的重要性。通过将肝脏评估纳入标准,我们可以大大加强对患者的护理,改善肾移植前对ADPKD的整体管理。
本文章由计算机程序翻译,如有差异,请以英文原文为准。
求助全文
约1分钟内获得全文 求助全文
来源期刊
CiteScore
1.20
自引率
0.00%
发文量
36
审稿时长
10 weeks
期刊介绍: This peer-reviewed online-only journal publishes original case reports covering the entire spectrum of nephrology and dialysis, including genetic susceptibility, clinical presentation, diagnosis, treatment or prevention, toxicities of therapy, critical care, supportive care, quality-of-life and survival issues. The journal will also accept case reports dealing with the use of novel technologies, both in the arena of diagnosis and treatment. Supplementary material is welcomed.
×
引用
GB/T 7714-2015
复制
MLA
复制
APA
复制
导出至
BibTeX EndNote RefMan NoteFirst NoteExpress
×
提示
您的信息不完整,为了账户安全,请先补充。
现在去补充
×
提示
您因"违规操作"
具体请查看互助需知
我知道了
×
提示
确定
请完成安全验证×
copy
已复制链接
快去分享给好友吧!
我知道了
右上角分享
点击右上角分享
0
联系我们:info@booksci.cn Book学术提供免费学术资源搜索服务,方便国内外学者检索中英文文献。致力于提供最便捷和优质的服务体验。 Copyright © 2023 布克学术 All rights reserved.
京ICP备2023020795号-1
ghs 京公网安备 11010802042870号
Book学术文献互助
Book学术文献互助群
群 号:604180095
Book学术官方微信