Production of recombinant DNA fragmentation factor 40 in fusion to an antimicrobial peptide from spider venom and evaluation of its cytotoxic effects.

IF 2.1 Q3 CHEMISTRY, MEDICINAL
Research in Pharmaceutical Sciences Pub Date : 2024-02-06 eCollection Date: 2024-02-01 DOI:10.4103/1735-5362.394824
Zahra Shafiee-Ardestani, Fatemeh Shafiee
{"title":"Production of recombinant DNA fragmentation factor 40 in fusion to an antimicrobial peptide from spider venom and evaluation of its cytotoxic effects.","authors":"Zahra Shafiee-Ardestani, Fatemeh Shafiee","doi":"10.4103/1735-5362.394824","DOIUrl":null,"url":null,"abstract":"<p><strong>Background and purpose: </strong>DNA fragmentation factor 40 (DFF40) as an apoptotic molecule can represent a novel approach to cancer treatment. Lycosin-I (LYC-I), a peptide derived from spider venom, was considered for the targeted delivery of DFF40 to cancer cells. This study attempted to produce soluble DFF40-LYC-I and evaluate its selective lethal effects on HeLa cells.</p><p><strong>Experimental approach: </strong>pTWINl vector was used to produce LYC-I and DFF40-LYC-I in <i>E. coli</i> BL21 (DE3) fused to inteins 1 and 2. IPTG concentration and incubation temperature were optimized to achieve the highest level of soluble product. To remove inteins 1 and 2 from the recombinant peptide or protein, pH shift and dithiothreitol were used for a 24-h incubation period at room temperature, respectively. MTT assay was performed to assess the biological effects of these bio-molecules on HeLa and HUVEC cell lines.</p><p><strong>Findings/results: </strong>LYC-I and DFF40-LYC-I were detected in SDS-PAGE with bands of approximately 57 and 97 kDa, respectively. Furthermore, the 3 and 43 kDa bands showed the purified molecules. The IC<sub>50</sub> value of DFF40-LYC-I and DFF40 was determined as 6.6 and 17.03 μg/mL for HeLa, respectively. LYC-I had no cytotoxic effects on both cell lines, even at high concentrations.</p><p><strong>Conclusion and implications: </strong>A new fusion protein with targeted cancer treatment potential was produced for the first time by LYC-I with a safe profile on normal cells. This fusion protein exhibited higher cytotoxic effects in cancer cells compared to normal cells. However, additional investigations are required to determine the apoptosis induction and evaluate selective toxicity against other cancer and normal cell lines.</p>","PeriodicalId":21075,"journal":{"name":"Research in Pharmaceutical Sciences","volume":"19 1","pages":"93-104"},"PeriodicalIF":2.1000,"publicationDate":"2024-02-06","publicationTypes":"Journal Article","fieldsOfStudy":null,"isOpenAccess":false,"openAccessPdf":"https://www.ncbi.nlm.nih.gov/pmc/articles/PMC11244711/pdf/","citationCount":"0","resultStr":null,"platform":"Semanticscholar","paperid":null,"PeriodicalName":"Research in Pharmaceutical Sciences","FirstCategoryId":"1085","ListUrlMain":"https://doi.org/10.4103/1735-5362.394824","RegionNum":0,"RegionCategory":null,"ArticlePicture":[],"TitleCN":null,"AbstractTextCN":null,"PMCID":null,"EPubDate":"2024/2/1 0:00:00","PubModel":"eCollection","JCR":"Q3","JCRName":"CHEMISTRY, MEDICINAL","Score":null,"Total":0}
引用次数: 0

Abstract

Background and purpose: DNA fragmentation factor 40 (DFF40) as an apoptotic molecule can represent a novel approach to cancer treatment. Lycosin-I (LYC-I), a peptide derived from spider venom, was considered for the targeted delivery of DFF40 to cancer cells. This study attempted to produce soluble DFF40-LYC-I and evaluate its selective lethal effects on HeLa cells.

Experimental approach: pTWINl vector was used to produce LYC-I and DFF40-LYC-I in E. coli BL21 (DE3) fused to inteins 1 and 2. IPTG concentration and incubation temperature were optimized to achieve the highest level of soluble product. To remove inteins 1 and 2 from the recombinant peptide or protein, pH shift and dithiothreitol were used for a 24-h incubation period at room temperature, respectively. MTT assay was performed to assess the biological effects of these bio-molecules on HeLa and HUVEC cell lines.

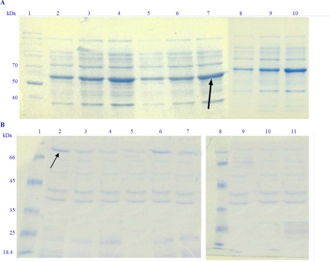
Findings/results: LYC-I and DFF40-LYC-I were detected in SDS-PAGE with bands of approximately 57 and 97 kDa, respectively. Furthermore, the 3 and 43 kDa bands showed the purified molecules. The IC50 value of DFF40-LYC-I and DFF40 was determined as 6.6 and 17.03 μg/mL for HeLa, respectively. LYC-I had no cytotoxic effects on both cell lines, even at high concentrations.

Conclusion and implications: A new fusion protein with targeted cancer treatment potential was produced for the first time by LYC-I with a safe profile on normal cells. This fusion protein exhibited higher cytotoxic effects in cancer cells compared to normal cells. However, additional investigations are required to determine the apoptosis induction and evaluate selective toxicity against other cancer and normal cell lines.

Abstract Image

Abstract Image

Abstract Image

生产与蜘蛛毒液抗菌肽融合的重组 DNA 断裂因子 40 并评估其细胞毒性作用。
背景和目的:DNA 断裂因子 40 (DFF40) 作为一种凋亡分子,是治疗癌症的一种新方法。Lycosin-I (LYC-I) 是一种从蜘蛛毒液中提取的多肽,被认为可用于将 DFF40 靶向递送至癌细胞。实验方法:使用 pTWINl 载体在融合了内切酶 1 和 2 的大肠杆菌 BL21 (DE3) 中生产 LYC-I 和 DFF40-LYC-I。对 IPTG 浓度和培养温度进行了优化,以获得最高水平的可溶性产物。为了从重组多肽或蛋白质中去除胰蛋白酶 1 和 2,分别使用了 pH 值转换和二硫苏糖醇在室温下孵育 24 小时。采用 MTT 法评估这些生物大分子对 HeLa 和 HUVEC 细胞系的生物效应:在 SDS-PAGE 中检测到 LYC-I 和 DFF40-LYC-I,其条带分别约为 57 和 97 kDa。此外,3 kDa 和 43 kDa 的条带显示了纯化的分子。经测定,DFF40-LYC-I 和 DFF40 对 HeLa 的 IC50 值分别为 6.6 和 17.03 μg/mL。即使在高浓度下,LYC-I 对这两种细胞株也没有细胞毒性作用:LYC-I首次产生了一种具有癌症靶向治疗潜力的新型融合蛋白,它对正常细胞具有安全的特性。与正常细胞相比,这种融合蛋白对癌细胞的细胞毒性更强。不过,还需要进行更多的研究,以确定凋亡诱导作用,并评估对其他癌症和正常细胞系的选择性毒性。
本文章由计算机程序翻译,如有差异,请以英文原文为准。
求助全文
约1分钟内获得全文 求助全文
来源期刊
Research in Pharmaceutical Sciences
Research in Pharmaceutical Sciences CHEMISTRY, MEDICINAL-
CiteScore
3.60
自引率
19.00%
发文量
50
审稿时长
34 weeks
期刊介绍: Research in Pharmaceutical Sciences (RPS) is included in Thomson Reuters ESCI Web of Science (searchable at WoS master journal list), indexed with PubMed and PubMed Central and abstracted in the Elsevier Bibliographic Databases. Databases include Scopus, EMBASE, EMCare, EMBiology and Elsevier BIOBASE. It is also indexed in several specialized databases including Scientific Information Database (SID), Google Scholar, Iran Medex, Magiran, Index Copernicus (IC) and Islamic World Science Citation Center (ISC).
×
引用
GB/T 7714-2015
复制
MLA
复制
APA
复制
导出至
BibTeX EndNote RefMan NoteFirst NoteExpress
×
提示
您的信息不完整,为了账户安全,请先补充。
现在去补充
×
提示
您因"违规操作"
具体请查看互助需知
我知道了
×
提示
确定
请完成安全验证×
copy
已复制链接
快去分享给好友吧!
我知道了
右上角分享
点击右上角分享
0
联系我们:info@booksci.cn Book学术提供免费学术资源搜索服务,方便国内外学者检索中英文文献。致力于提供最便捷和优质的服务体验。 Copyright © 2023 布克学术 All rights reserved.
京ICP备2023020795号-1
ghs 京公网安备 11010802042870号
Book学术文献互助
Book学术文献互助群
群 号:604180095
Book学术官方微信