Fat Embolism Syndrome Mimicking Thrombotic Thrombocytopenic Purpura in a Patient With Hemoglobin S/Beta-Thalassemia.

IF 1.3 Q4 HEMATOLOGY
Journal of hematology Pub Date : 2024-06-01 Epub Date: 2024-06-28 DOI:10.14740/jh1274
Bobby Se, Austin Frisch, Min Woo Hwang, Faran Polani, Najeebah Bade
{"title":"Fat Embolism Syndrome Mimicking Thrombotic Thrombocytopenic Purpura in a Patient With Hemoglobin S/Beta-Thalassemia.","authors":"Bobby Se, Austin Frisch, Min Woo Hwang, Faran Polani, Najeebah Bade","doi":"10.14740/jh1274","DOIUrl":null,"url":null,"abstract":"<p><p>Thrombotic microangiopathies cause ischemic organ damage and require urgent management for a favorable prognosis. Fat embolism syndrome from bone marrow necrosis is a rare and unique pathology that carries a high mortality rate. It can mimic thrombotic microangiopathies such as thrombotic thrombocytopenic purpura (TTP). Herein, we present a patient with sickle cell-beta-thalassemia who initially presented with a vaso-occlusive crisis, lab evidence of hemolysis, schistocytes and thrombocytopenia who developed acute encephalopathy with respiratory distress, consistent with TTP. She was found to have multiple infarcts in the brain. She was intubated and underwent plasma and red cell exchange. Bone marrow biopsy confirmed marrow necrosis from her vaso-occlusive crisis and subsequently, fat embolism syndrome. Here, we discuss the complex presentation and the complications of fat embolism from bone marrow necrosis and how it can mimic TTP.</p>","PeriodicalId":15964,"journal":{"name":"Journal of hematology","volume":"13 3","pages":"104-107"},"PeriodicalIF":1.3000,"publicationDate":"2024-06-01","publicationTypes":"Journal Article","fieldsOfStudy":null,"isOpenAccess":false,"openAccessPdf":"https://www.ncbi.nlm.nih.gov/pmc/articles/PMC11236360/pdf/","citationCount":"0","resultStr":null,"platform":"Semanticscholar","paperid":null,"PeriodicalName":"Journal of hematology","FirstCategoryId":"1085","ListUrlMain":"https://doi.org/10.14740/jh1274","RegionNum":0,"RegionCategory":null,"ArticlePicture":[],"TitleCN":null,"AbstractTextCN":null,"PMCID":null,"EPubDate":"2024/6/28 0:00:00","PubModel":"Epub","JCR":"Q4","JCRName":"HEMATOLOGY","Score":null,"Total":0}
引用次数: 0

Abstract

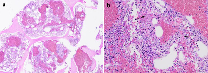
Thrombotic microangiopathies cause ischemic organ damage and require urgent management for a favorable prognosis. Fat embolism syndrome from bone marrow necrosis is a rare and unique pathology that carries a high mortality rate. It can mimic thrombotic microangiopathies such as thrombotic thrombocytopenic purpura (TTP). Herein, we present a patient with sickle cell-beta-thalassemia who initially presented with a vaso-occlusive crisis, lab evidence of hemolysis, schistocytes and thrombocytopenia who developed acute encephalopathy with respiratory distress, consistent with TTP. She was found to have multiple infarcts in the brain. She was intubated and underwent plasma and red cell exchange. Bone marrow biopsy confirmed marrow necrosis from her vaso-occlusive crisis and subsequently, fat embolism syndrome. Here, we discuss the complex presentation and the complications of fat embolism from bone marrow necrosis and how it can mimic TTP.

Abstract Image

一名血红蛋白 S/β-地中海贫血患者模仿血栓性血小板减少性紫癜的脂肪栓塞综合征
血栓性微血管病会导致缺血性器官损伤,需要紧急治疗才能获得良好的预后。骨髓坏死引起的脂肪栓塞综合征是一种罕见而独特的病理现象,死亡率很高。它可模拟血栓性微血管病,如血栓性血小板减少性紫癜(TTP)。在本文中,我们介绍了一名镰状细胞-β-地中海贫血患者,她最初出现血管闭塞危象、实验室证据显示溶血、血细胞分裂和血小板减少,随后出现急性脑病并伴有呼吸窘迫,这与 TTP 相吻合。她被发现有多处脑梗塞。她被插管并接受了血浆和红细胞交换。骨髓活检证实她的血管闭塞性危象导致骨髓坏死,随后出现脂肪栓塞综合征。在此,我们将讨论骨髓坏死引起的脂肪栓塞的复杂表现和并发症,以及它是如何模拟 TTP 的。
本文章由计算机程序翻译,如有差异,请以英文原文为准。
求助全文
约1分钟内获得全文 求助全文
来源期刊
Journal of hematology
Journal of hematology HEMATOLOGY-
自引率
0.00%
发文量
29
×
引用
GB/T 7714-2015
复制
MLA
复制
APA
复制
导出至
BibTeX EndNote RefMan NoteFirst NoteExpress
×
提示
您的信息不完整,为了账户安全,请先补充。
现在去补充
×
提示
您因"违规操作"
具体请查看互助需知
我知道了
×
提示
确定
请完成安全验证×
copy
已复制链接
快去分享给好友吧!
我知道了
右上角分享
点击右上角分享
0
联系我们:info@booksci.cn Book学术提供免费学术资源搜索服务,方便国内外学者检索中英文文献。致力于提供最便捷和优质的服务体验。 Copyright © 2023 布克学术 All rights reserved.
京ICP备2023020795号-1
ghs 京公网安备 11010802042870号
Book学术文献互助
Book学术文献互助群
群 号:604180095
Book学术官方微信