A Unique Case of a Compound Heterozygosity of Hemoglobin Korle-Bu and Sickle Cell Trait in a Military Trainee.

IF 1.3 Q4 HEMATOLOGY
Journal of hematology Pub Date : 2024-06-01 Epub Date: 2024-06-28 DOI:10.14740/jh1257
Gartrell C Bowling, Niels A Ryden, Allen R Holmes, Lauren E Lee, Kristin Stoll
{"title":"A Unique Case of a Compound Heterozygosity of Hemoglobin Korle-Bu and Sickle Cell Trait in a Military Trainee.","authors":"Gartrell C Bowling, Niels A Ryden, Allen R Holmes, Lauren E Lee, Kristin Stoll","doi":"10.14740/jh1257","DOIUrl":null,"url":null,"abstract":"<p><p>Hemoglobin Korle-Bu (Hb KB) is a rare and likely under-reported hemoglobin (Hb) variant resulting from an unusual point mutation on the beta-globin chain. Hb KB is typically clinically silent, and there are limited reports of Hb KB heterozygosity compounded with other hemoglobinopathies that can present with varying clinical phenotypes. Here, we report a case of compound Hb KB heterozygosity with Hb S in an asymptomatic military trainee with a positive sickle cell screening test. Hb capillary and gel electrophoresis predicted a compound Hb S/D-Punjab overlap, which foretells a severe clinical phenotype. Sequencing of the Hb beta gene <i>HBB</i> demonstrated Hb KB, allowing for a diagnosis that fit his asymptomatic clinical phenotype and allowed for retention in the military.</p>","PeriodicalId":15964,"journal":{"name":"Journal of hematology","volume":"13 3","pages":"116-120"},"PeriodicalIF":1.3000,"publicationDate":"2024-06-01","publicationTypes":"Journal Article","fieldsOfStudy":null,"isOpenAccess":false,"openAccessPdf":"https://www.ncbi.nlm.nih.gov/pmc/articles/PMC11236362/pdf/","citationCount":"0","resultStr":null,"platform":"Semanticscholar","paperid":null,"PeriodicalName":"Journal of hematology","FirstCategoryId":"1085","ListUrlMain":"https://doi.org/10.14740/jh1257","RegionNum":0,"RegionCategory":null,"ArticlePicture":[],"TitleCN":null,"AbstractTextCN":null,"PMCID":null,"EPubDate":"2024/6/28 0:00:00","PubModel":"Epub","JCR":"Q4","JCRName":"HEMATOLOGY","Score":null,"Total":0}
引用次数: 0

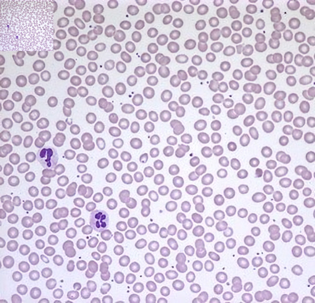
Abstract

Hemoglobin Korle-Bu (Hb KB) is a rare and likely under-reported hemoglobin (Hb) variant resulting from an unusual point mutation on the beta-globin chain. Hb KB is typically clinically silent, and there are limited reports of Hb KB heterozygosity compounded with other hemoglobinopathies that can present with varying clinical phenotypes. Here, we report a case of compound Hb KB heterozygosity with Hb S in an asymptomatic military trainee with a positive sickle cell screening test. Hb capillary and gel electrophoresis predicted a compound Hb S/D-Punjab overlap, which foretells a severe clinical phenotype. Sequencing of the Hb beta gene HBB demonstrated Hb KB, allowing for a diagnosis that fit his asymptomatic clinical phenotype and allowed for retention in the military.

Abstract Image

Abstract Image

Abstract Image

一个军校学员血红蛋白 Korle-Bu 和镰状细胞特质复合杂合子的独特病例。
血红蛋白 Korle-Bu(Hb KB)是一种罕见的血红蛋白(Hb)变异体,由β-球蛋白链上的异常点突变引起,很可能未得到充分报道。Hb KB 通常无临床症状,而 Hb KB 杂合子与其他血红蛋白病复合的报道有限,这些血红蛋白病可能表现出不同的临床表型。在此,我们报告了一例 Hb KB 与 Hb S 复合杂合的病例,患者是一名无症状的军训学员,镰状细胞筛查试验呈阳性。血红蛋白毛细管电泳和凝胶电泳预测出复合 Hb S/D-Punjab 重叠,这预示着严重的临床表型。Hb beta 基因 HBB 的测序结果显示为 Hb KB,因此诊断结果符合他无症状的临床表型,并允许他留在部队。
本文章由计算机程序翻译,如有差异,请以英文原文为准。
求助全文
约1分钟内获得全文 求助全文
来源期刊
Journal of hematology
Journal of hematology HEMATOLOGY-
自引率
0.00%
发文量
29
×
引用
GB/T 7714-2015
复制
MLA
复制
APA
复制
导出至
BibTeX EndNote RefMan NoteFirst NoteExpress
×
提示
您的信息不完整,为了账户安全,请先补充。
现在去补充
×
提示
您因"违规操作"
具体请查看互助需知
我知道了
×
提示
确定
请完成安全验证×
copy
已复制链接
快去分享给好友吧!
我知道了
右上角分享
点击右上角分享
0
联系我们:info@booksci.cn Book学术提供免费学术资源搜索服务,方便国内外学者检索中英文文献。致力于提供最便捷和优质的服务体验。 Copyright © 2023 布克学术 All rights reserved.
京ICP备2023020795号-1
ghs 京公网安备 11010802042870号
Book学术文献互助
Book学术文献互助群
群 号:604180095
Book学术官方微信