Drug-induced systemic lupus erythematosus in a child living with HIV.

IF 0.7 Q4 INFECTIOUS DISEASES
Swagata Tambe, Kirti Jangid, Geeta Shinde, Shubhada Jadhav, Shraddha Mahobia, Mamatha Lala, Yashwant Gabhale
{"title":"Drug-induced systemic lupus erythematosus in a child living with HIV.","authors":"Swagata Tambe, Kirti Jangid, Geeta Shinde, Shubhada Jadhav, Shraddha Mahobia, Mamatha Lala, Yashwant Gabhale","doi":"10.4103/ijstd.ijstd_69_23","DOIUrl":null,"url":null,"abstract":"<p><p>Pediatric systemic lupus erythematosus (SLE) constitutes approximately 10% of SLE cases. The diagnosis and management of this condition remains to be a challenge in the pediatric population. The distinguishing clinical features are less pronounced male-to-female ratio, more organ damage, and higher disease activity compared to adult-onset disease. Drug-induced lupus erythematosus is rare in children. We report a case of drug-induced SLE in a child on antiretroviral therapy.</p>","PeriodicalId":44880,"journal":{"name":"Indian Journal of Sexually Transmitted Diseases and AIDS","volume":"45 1","pages":"59-61"},"PeriodicalIF":0.7000,"publicationDate":"2024-01-01","publicationTypes":"Journal Article","fieldsOfStudy":null,"isOpenAccess":false,"openAccessPdf":"https://www.ncbi.nlm.nih.gov/pmc/articles/PMC11233042/pdf/","citationCount":"0","resultStr":null,"platform":"Semanticscholar","paperid":null,"PeriodicalName":"Indian Journal of Sexually Transmitted Diseases and AIDS","FirstCategoryId":"1085","ListUrlMain":"https://doi.org/10.4103/ijstd.ijstd_69_23","RegionNum":0,"RegionCategory":null,"ArticlePicture":[],"TitleCN":null,"AbstractTextCN":null,"PMCID":null,"EPubDate":"2024/6/6 0:00:00","PubModel":"Epub","JCR":"Q4","JCRName":"INFECTIOUS DISEASES","Score":null,"Total":0}
引用次数: 0

Abstract

Pediatric systemic lupus erythematosus (SLE) constitutes approximately 10% of SLE cases. The diagnosis and management of this condition remains to be a challenge in the pediatric population. The distinguishing clinical features are less pronounced male-to-female ratio, more organ damage, and higher disease activity compared to adult-onset disease. Drug-induced lupus erythematosus is rare in children. We report a case of drug-induced SLE in a child on antiretroviral therapy.

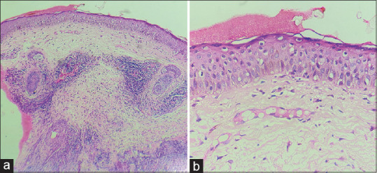
Abstract Image

Abstract Image

Abstract Image

一名艾滋病病毒感染儿童因药物诱发系统性红斑狼疮。
小儿系统性红斑狼疮(SLE)约占系统性红斑狼疮病例的 10%。在儿科人群中,这种疾病的诊断和治疗仍然是一项挑战。与成人发病的疾病相比,小儿红斑狼疮的临床特点是男女比例不明显、器官损伤较多、疾病活动度较高。药物诱发的红斑狼疮在儿童中很少见。我们报告了一例正在接受抗逆转录病毒治疗的儿童因药物诱发系统性红斑狼疮的病例。
本文章由计算机程序翻译,如有差异,请以英文原文为准。
求助全文
约1分钟内获得全文 求助全文
来源期刊
CiteScore
0.60
自引率
25.00%
发文量
34
×
引用
GB/T 7714-2015
复制
MLA
复制
APA
复制
导出至
BibTeX EndNote RefMan NoteFirst NoteExpress
×
提示
您的信息不完整,为了账户安全,请先补充。
现在去补充
×
提示
您因"违规操作"
具体请查看互助需知
我知道了
×
提示
确定
请完成安全验证×
copy
已复制链接
快去分享给好友吧!
我知道了
右上角分享
点击右上角分享
0
联系我们:info@booksci.cn Book学术提供免费学术资源搜索服务,方便国内外学者检索中英文文献。致力于提供最便捷和优质的服务体验。 Copyright © 2023 布克学术 All rights reserved.
京ICP备2023020795号-1
ghs 京公网安备 11010802042870号
Book学术文献互助
Book学术文献互助群
群 号:604180095
Book学术官方微信