Surgical management of chronic sixth cranial nerve palsy: case report and literature review.

Q2 Medicine
Christine Hakimeh, Kourosh Shahraki, Luc Courtois, Donny W Suh
{"title":"Surgical management of chronic sixth cranial nerve palsy: case report and literature review.","authors":"Christine Hakimeh, Kourosh Shahraki, Luc Courtois, Donny W Suh","doi":"10.51329/mehdiophthal1494","DOIUrl":null,"url":null,"abstract":"<p><strong>Background: </strong>Esotropia resulting from sixth cranial nerve palsy can substantially impact an individual's visual acuity and overall quality of life. If the condition does not resolve in 6-10 months, surgical intervention may be necessary. Various muscle surgeries may be considered, with vertical rectus muscle transposition emerging as the primary option for treatment of complete palsy. However, this technique carries the risk of anterior segment ischemia and post-surgery deviations. Herein, we present a successful treatment of chronic complete sixth nerve palsy using a modified Nishida procedure, without splitting or tenotomy, and an adjunct botulinum toxin A (BTA) injection in the ipsilateral medial rectus muscle.</p><p><strong>Case presentation: </strong>A 59-year-old woman with a history of traumatic sixth nerve palsy had previously undergone horizontal muscle strabismus surgeries. Following multiple left medial rectus recessions, lateral rectus resection, and BTA injections, esotropia persisted. The worsening of her condition led to emotional distress and impaired social interaction. Initial examination revealed marked esotropia and limited left eye abduction. Magnetic resonance imaging (SIGNA MR750w, GE Healthcare, Waukesha, WI, USA) of the left eye revealed a contracted medial rectus muscle and substantial atrophy of the left lateral rectus muscle. A modified Nishida procedure was performed with an injection of 3 units of BTA into the ipsilateral medial rectus muscle, resulting in improved ocular alignment and stable findings after nine postoperative months. Furthermore, we supported our successful outcome with a summary of similar reported cases of sixth nerve palsy managed using the modified Nishida procedure with or without adjunctive procedures.</p><p><strong>Conclusions: </strong>Following the modified Nishida procedure, the patient experienced a reduction in diplopia, improved ocular alignment and stability, and an increased binocular diplopia-free field. This case underscores the importance of an individualized approach to complex strabismus cases and highlights the modified Nishida procedure as a valuable tool in such circumstances. In the future, strabismus management will focus on refining personalized treatment and exploring innovative techniques for complex cases. Our success in using a combination of Nishida procedure and BTA injection should be further investigated in large-scale studies.</p>","PeriodicalId":36524,"journal":{"name":"Medical Hypothesis, Discovery, and Innovation in Ophthalmology","volume":"13 1","pages":"55-62"},"PeriodicalIF":0.0000,"publicationDate":"2024-07-01","publicationTypes":"Journal Article","fieldsOfStudy":null,"isOpenAccess":false,"openAccessPdf":"https://www.ncbi.nlm.nih.gov/pmc/articles/PMC11227665/pdf/","citationCount":"0","resultStr":null,"platform":"Semanticscholar","paperid":null,"PeriodicalName":"Medical Hypothesis, Discovery, and Innovation in Ophthalmology","FirstCategoryId":"1085","ListUrlMain":"https://doi.org/10.51329/mehdiophthal1494","RegionNum":0,"RegionCategory":null,"ArticlePicture":[],"TitleCN":null,"AbstractTextCN":null,"PMCID":null,"EPubDate":"2024/1/1 0:00:00","PubModel":"eCollection","JCR":"Q2","JCRName":"Medicine","Score":null,"Total":0}
引用次数: 0

Abstract

Background: Esotropia resulting from sixth cranial nerve palsy can substantially impact an individual's visual acuity and overall quality of life. If the condition does not resolve in 6-10 months, surgical intervention may be necessary. Various muscle surgeries may be considered, with vertical rectus muscle transposition emerging as the primary option for treatment of complete palsy. However, this technique carries the risk of anterior segment ischemia and post-surgery deviations. Herein, we present a successful treatment of chronic complete sixth nerve palsy using a modified Nishida procedure, without splitting or tenotomy, and an adjunct botulinum toxin A (BTA) injection in the ipsilateral medial rectus muscle.

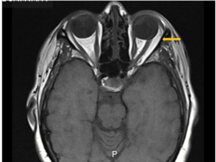
Case presentation: A 59-year-old woman with a history of traumatic sixth nerve palsy had previously undergone horizontal muscle strabismus surgeries. Following multiple left medial rectus recessions, lateral rectus resection, and BTA injections, esotropia persisted. The worsening of her condition led to emotional distress and impaired social interaction. Initial examination revealed marked esotropia and limited left eye abduction. Magnetic resonance imaging (SIGNA MR750w, GE Healthcare, Waukesha, WI, USA) of the left eye revealed a contracted medial rectus muscle and substantial atrophy of the left lateral rectus muscle. A modified Nishida procedure was performed with an injection of 3 units of BTA into the ipsilateral medial rectus muscle, resulting in improved ocular alignment and stable findings after nine postoperative months. Furthermore, we supported our successful outcome with a summary of similar reported cases of sixth nerve palsy managed using the modified Nishida procedure with or without adjunctive procedures.

Conclusions: Following the modified Nishida procedure, the patient experienced a reduction in diplopia, improved ocular alignment and stability, and an increased binocular diplopia-free field. This case underscores the importance of an individualized approach to complex strabismus cases and highlights the modified Nishida procedure as a valuable tool in such circumstances. In the future, strabismus management will focus on refining personalized treatment and exploring innovative techniques for complex cases. Our success in using a combination of Nishida procedure and BTA injection should be further investigated in large-scale studies.

Abstract Image

Abstract Image

Abstract Image

慢性第六颅神经麻痹的手术治疗:病例报告和文献综述。
背景:第六颅神经麻痹导致的内斜视会严重影响患者的视力和整体生活质量。如果病情在 6-10 个月内仍未缓解,可能需要进行手术治疗。可以考虑进行各种肌肉手术,其中垂直直肌转位术是治疗完全性麻痹的主要选择。然而,这种技术存在前节缺血和术后偏差的风险。在此,我们介绍了一种成功治疗慢性完全性第六神经麻痹的方法,该方法采用改良的西田手术,不进行劈裂或腱膜切开术,同时在同侧内侧直肌注射肉毒杆菌毒素 A (BTA):一名 59 岁的女性,曾有外伤性第六神经麻痹病史,之前接受过水平肌斜视手术。经过多次左侧内侧直肌凹陷、外侧直肌切除和 BTA 注射后,内斜视仍然存在。病情恶化导致她情绪低落,社交能力受损。初步检查发现她有明显的内斜视,左眼外展受限。左眼磁共振成像(SIGNA MR750w,GE Healthcare,Waukesha,WI,USA)显示内侧直肌收缩,左侧外侧直肌严重萎缩。我们采用了改良的西田手术,向同侧内侧直肌注射了 3 个单位的 BTA,术后 9 个月后,患者的眼球对位得到了改善,视力也趋于稳定。此外,我们还总结了使用改良西田手术治疗或不使用辅助手术治疗第六神经麻痹的类似病例,为我们的成功结果提供了佐证:结论:改良西田手术后,患者复视减轻,眼球排列和稳定性得到改善,双眼无复视视野扩大。本病例强调了个体化治疗复杂斜视病例的重要性,并突出了改良西田法在这种情况下的重要作用。未来,斜视治疗的重点将放在完善个性化治疗和探索复杂病例的创新技术上。我们在结合使用西田手术和 BTA 注射法方面取得的成功应在大规模研究中进一步探讨。
本文章由计算机程序翻译,如有差异,请以英文原文为准。
求助全文
约1分钟内获得全文 求助全文
来源期刊
CiteScore
2.00
自引率
0.00%
发文量
19
×
引用
GB/T 7714-2015
复制
MLA
复制
APA
复制
导出至
BibTeX EndNote RefMan NoteFirst NoteExpress
×
提示
您的信息不完整,为了账户安全,请先补充。
现在去补充
×
提示
您因"违规操作"
具体请查看互助需知
我知道了
×
提示
确定
请完成安全验证×
copy
已复制链接
快去分享给好友吧!
我知道了
右上角分享
点击右上角分享
0
联系我们:info@booksci.cn Book学术提供免费学术资源搜索服务,方便国内外学者检索中英文文献。致力于提供最便捷和优质的服务体验。 Copyright © 2023 布克学术 All rights reserved.
京ICP备2023020795号-1
ghs 京公网安备 11010802042870号
Book学术文献互助
Book学术文献互助群
群 号:604180095
Book学术官方微信