Modified clock mapping biopsy sec. Della Corte-Bifulco in the preoperative assessment of excisional surgery for vulvar Paget's disease.

IF 2.3 4区 医学 Q3 ONCOLOGY
Pathology & Oncology Research Pub Date : 2024-06-24 eCollection Date: 2024-01-01 DOI:10.3389/pore.2024.1611803
Luigi Della Corte, Mario Ascione, Giuseppe Bifulco
{"title":"Modified clock mapping biopsy sec. Della Corte-Bifulco in the preoperative assessment of excisional surgery for vulvar Paget's disease.","authors":"Luigi Della Corte, Mario Ascione, Giuseppe Bifulco","doi":"10.3389/pore.2024.1611803","DOIUrl":null,"url":null,"abstract":"<p><p>We have developed a biopsy technique aimed at preoperative evaluating the extent of Paget's vulvar disease in order to plan subsequent radical vulvar surgery. The aim is to find all possible lesion sites that are not visible macroscopically, to obtain a clear evaluation of the disease spread and to tailor the radical surgical procedure to remove even microscopic lesions, avoiding recurrences and excessively destructive surgery, adopting as conservative an approach as possible. We used this procedure for the first time to establish the radicality of the surgical intervention in a 68-year-old patient initially suffering from a single invasive vulvar Paget's lesion.</p>","PeriodicalId":19981,"journal":{"name":"Pathology & Oncology Research","volume":"30 ","pages":"1611803"},"PeriodicalIF":2.3000,"publicationDate":"2024-06-24","publicationTypes":"Journal Article","fieldsOfStudy":null,"isOpenAccess":false,"openAccessPdf":"https://www.ncbi.nlm.nih.gov/pmc/articles/PMC11228168/pdf/","citationCount":"0","resultStr":null,"platform":"Semanticscholar","paperid":null,"PeriodicalName":"Pathology & Oncology Research","FirstCategoryId":"3","ListUrlMain":"https://doi.org/10.3389/pore.2024.1611803","RegionNum":4,"RegionCategory":"医学","ArticlePicture":[],"TitleCN":null,"AbstractTextCN":null,"PMCID":null,"EPubDate":"2024/1/1 0:00:00","PubModel":"eCollection","JCR":"Q3","JCRName":"ONCOLOGY","Score":null,"Total":0}
引用次数: 0

Abstract

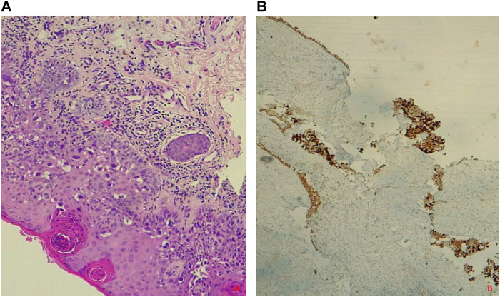
We have developed a biopsy technique aimed at preoperative evaluating the extent of Paget's vulvar disease in order to plan subsequent radical vulvar surgery. The aim is to find all possible lesion sites that are not visible macroscopically, to obtain a clear evaluation of the disease spread and to tailor the radical surgical procedure to remove even microscopic lesions, avoiding recurrences and excessively destructive surgery, adopting as conservative an approach as possible. We used this procedure for the first time to establish the radicality of the surgical intervention in a 68-year-old patient initially suffering from a single invasive vulvar Paget's lesion.

Abstract Image

Abstract Image

Abstract Image

改良的时钟图谱活检秒。Della Corte-Bifulco 在外阴佩吉特氏病切除手术的术前评估中的应用。
我们开发了一种活检技术,旨在术前评估帕吉特外阴疾病的范围,以便制定后续的外阴根治手术计划。其目的是找到所有宏观上看不到的可能病变部位,明确评估疾病的扩散情况,并根据具体情况制定根治性手术方案,切除微小病变,避免复发和过度破坏性手术,尽可能采取保守治疗方法。我们首次使用了这种手术方法,为一名最初患有单个侵袭性外阴帕吉特病变的 68 岁患者确定了手术干预的根治性。
本文章由计算机程序翻译,如有差异,请以英文原文为准。
求助全文
约1分钟内获得全文 求助全文
来源期刊
CiteScore
6.30
自引率
0.00%
发文量
134
审稿时长
4-8 weeks
期刊介绍: Pathology & Oncology Research (POR) is an interdisciplinary Journal at the interface of pathology and oncology including the preclinical and translational research, diagnostics and therapy. Furthermore, POR is an international forum for the rapid communication of reviews, original research, critical and topical reports with excellence and novelty. Published quarterly, POR is dedicated to keeping scientists informed of developments on the selected biomedical fields bridging the gap between basic research and clinical medicine. It is a special aim for POR to promote pathological and oncological publishing activity of colleagues in the Central and East European region. The journal will be of interest to pathologists, and a broad range of experimental and clinical oncologists, and related experts. POR is supported by an acknowledged international advisory board and the Arányi Fundation for modern pathology.
×
引用
GB/T 7714-2015
复制
MLA
复制
APA
复制
导出至
BibTeX EndNote RefMan NoteFirst NoteExpress
×
提示
您的信息不完整,为了账户安全,请先补充。
现在去补充
×
提示
您因"违规操作"
具体请查看互助需知
我知道了
×
提示
确定
请完成安全验证×
copy
已复制链接
快去分享给好友吧!
我知道了
右上角分享
点击右上角分享
0
联系我们:info@booksci.cn Book学术提供免费学术资源搜索服务,方便国内外学者检索中英文文献。致力于提供最便捷和优质的服务体验。 Copyright © 2023 布克学术 All rights reserved.
京ICP备2023020795号-1
ghs 京公网安备 11010802042870号
Book学术文献互助
Book学术文献互助群
群 号:604180095
Book学术官方微信