Acute pancreatitis complicated with diabetic ketoacidosis following COVID-19 mRNA vaccination: a case report.

Yusuke Watanabe, Eisei Akaike, Yuki Tokunaga, Kozue Murayama, Mari Segawa
{"title":"Acute pancreatitis complicated with diabetic ketoacidosis following COVID-19 mRNA vaccination: a case report.","authors":"Yusuke Watanabe, Eisei Akaike, Yuki Tokunaga, Kozue Murayama, Mari Segawa","doi":"10.2185/jrm.2024-003","DOIUrl":null,"url":null,"abstract":"<p><p><b>Objective:</b> Since the onset of the coronavirus disease 2019 (COVID-19) pandemic, COVID-19 vaccination has substantially reduced mortality and hospitalization rates worldwide, with rare adverse events reported in clinical settings. Herein, we present a case of acute pancreatitis complicated by diabetic ketoacidosis (DKA) following the third COVID-19 vaccination dose. <b>Patient:</b> A 72-year-old male with a history of diabetes mellitus developed generalized fatigue, mild epigastric pain, nausea, and frequent vomiting after receiving the COVID-19 vaccine. <b>Results:</b> Blood analysis revealed elevated levels of pancreatic enzymes, hyperglycemia, and acidemia. Computed tomography revealed evidence of acute pancreatitis, leading to a diagnosis of both DKA and acute pancreatitis. Treatment with a large volume of saline and intravenous insulin improved both DKA and acute pancreatitis. After a thorough examination, no other factors capable of causing acute pancreatitis were identified. Hence, we concluded that acute pancreatitis was induced by COVID-19 vaccination. <b>Conclusion:</b> Acute pancreatitis is a rare but potentially life-threatening adverse event associated with COVID-19 vaccination. Delaying the treatment or diagnosis of acute pancreatitis can increase mortality risk in patients with both acute pancreatitis and DKA. Hence, it is crucial for healthcare professionals to consider the potential occurrence of acute pancreatitis and DKA following COVID-19 vaccination.</p>","PeriodicalId":73939,"journal":{"name":"Journal of rural medicine : JRM","volume":"19 3","pages":"199-203"},"PeriodicalIF":0.0000,"publicationDate":"2024-07-01","publicationTypes":"Journal Article","fieldsOfStudy":null,"isOpenAccess":false,"openAccessPdf":"https://www.ncbi.nlm.nih.gov/pmc/articles/PMC11222627/pdf/","citationCount":"0","resultStr":null,"platform":"Semanticscholar","paperid":null,"PeriodicalName":"Journal of rural medicine : JRM","FirstCategoryId":"1085","ListUrlMain":"https://doi.org/10.2185/jrm.2024-003","RegionNum":0,"RegionCategory":null,"ArticlePicture":[],"TitleCN":null,"AbstractTextCN":null,"PMCID":null,"EPubDate":"","PubModel":"","JCR":"","JCRName":"","Score":null,"Total":0}
引用次数: 0

Abstract

Objective: Since the onset of the coronavirus disease 2019 (COVID-19) pandemic, COVID-19 vaccination has substantially reduced mortality and hospitalization rates worldwide, with rare adverse events reported in clinical settings. Herein, we present a case of acute pancreatitis complicated by diabetic ketoacidosis (DKA) following the third COVID-19 vaccination dose. Patient: A 72-year-old male with a history of diabetes mellitus developed generalized fatigue, mild epigastric pain, nausea, and frequent vomiting after receiving the COVID-19 vaccine. Results: Blood analysis revealed elevated levels of pancreatic enzymes, hyperglycemia, and acidemia. Computed tomography revealed evidence of acute pancreatitis, leading to a diagnosis of both DKA and acute pancreatitis. Treatment with a large volume of saline and intravenous insulin improved both DKA and acute pancreatitis. After a thorough examination, no other factors capable of causing acute pancreatitis were identified. Hence, we concluded that acute pancreatitis was induced by COVID-19 vaccination. Conclusion: Acute pancreatitis is a rare but potentially life-threatening adverse event associated with COVID-19 vaccination. Delaying the treatment or diagnosis of acute pancreatitis can increase mortality risk in patients with both acute pancreatitis and DKA. Hence, it is crucial for healthcare professionals to consider the potential occurrence of acute pancreatitis and DKA following COVID-19 vaccination.

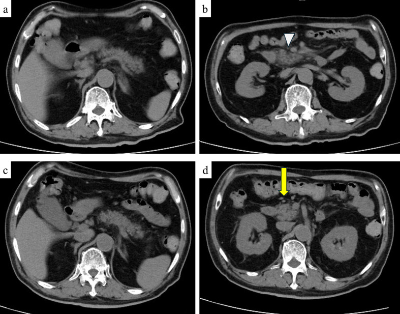
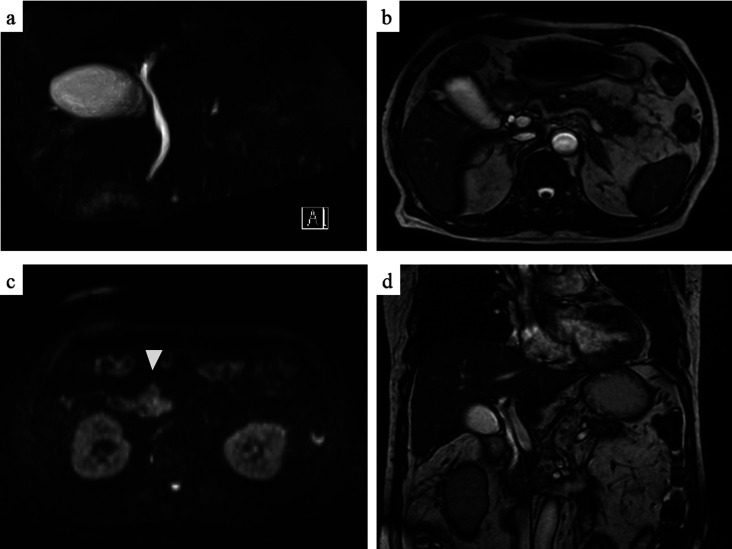
Abstract Image

Abstract Image

Abstract Image

接种 COVID-19 mRNA 疫苗后并发糖尿病酮症酸中毒的急性胰腺炎:病例报告。
目的:自 2019 年冠状病毒病(COVID-19)大流行以来,COVID-19 疫苗接种大大降低了全球的死亡率和住院率,但在临床环境中罕有不良事件的报道。在此,我们介绍一例接种第三剂 COVID-19 疫苗后并发糖尿病酮症酸中毒(DKA)的急性胰腺炎病例。患者:一名有糖尿病史的 72 岁男性在接种 COVID-19 疫苗后出现全身乏力、轻度上腹痛、恶心和频繁呕吐。结果:血液分析显示胰酶水平升高、高血糖和酸血症。计算机断层扫描显示有急性胰腺炎的迹象,因此诊断为 DKA 和急性胰腺炎。使用大量生理盐水和静脉注射胰岛素的治疗方法改善了 DKA 和急性胰腺炎。经过全面检查,没有发现其他可导致急性胰腺炎的因素。因此,我们得出结论:COVID-19 疫苗接种诱发了急性胰腺炎。结论急性胰腺炎是与接种 COVID-19 疫苗相关的一种罕见但可能危及生命的不良事件。延误急性胰腺炎的治疗或诊断会增加急性胰腺炎和 DKA 患者的死亡风险。因此,医疗保健专业人员必须考虑接种 COVID-19 疫苗后急性胰腺炎和 DKA 的潜在发生率。
本文章由计算机程序翻译,如有差异,请以英文原文为准。
求助全文
约1分钟内获得全文 求助全文
来源期刊
自引率
0.00%
发文量
0
×
引用
GB/T 7714-2015
复制
MLA
复制
APA
复制
导出至
BibTeX EndNote RefMan NoteFirst NoteExpress
×
提示
您的信息不完整,为了账户安全,请先补充。
现在去补充
×
提示
您因"违规操作"
具体请查看互助需知
我知道了
×
提示
确定
请完成安全验证×
copy
已复制链接
快去分享给好友吧!
我知道了
右上角分享
点击右上角分享
0
联系我们:info@booksci.cn Book学术提供免费学术资源搜索服务,方便国内外学者检索中英文文献。致力于提供最便捷和优质的服务体验。 Copyright © 2023 布克学术 All rights reserved.
京ICP备2023020795号-1
ghs 京公网安备 11010802042870号
Book学术文献互助
Book学术文献互助群
群 号:604180095
Book学术官方微信