Cardiac Myxoid Spindle Cell Tumor in a Neonate.

IF 0.5 Q4 PEDIATRICS
Case Reports in Pediatrics Pub Date : 2024-06-26 eCollection Date: 2024-01-01 DOI:10.1155/2024/8630268
Reza Abbaszadeh, Fatemeh Naderi, Amir Hossein Jalali, Yaser Toloueitabar
{"title":"Cardiac Myxoid Spindle Cell Tumor in a Neonate.","authors":"Reza Abbaszadeh, Fatemeh Naderi, Amir Hossein Jalali, Yaser Toloueitabar","doi":"10.1155/2024/8630268","DOIUrl":null,"url":null,"abstract":"<p><p><i>Introduction</i>: Different subtypes of cardiac tumors containing spindle cells have been described as cardiac sarcoma. However, benign types have not been reported so far. We described a neonate with progressive respiratory distress who had a PDA and was finally diagnosed with a right atrial spindle cell tumor. <i>Case Presentation:</i> The patient was a neonate referred with respiratory distress and sepsis. The initial echocardiography demonstrated a small atrial septal defect, patent ductus arteriosus, and a heterogeneous rounded right atrial mass lesion. Pathologic examination confirmed the right atrial myxoid spindle cell tumor without local invasion. Successful mass resection was performed, and follow-up echocardiography revealed normal cardiac structure and function. <i>Conclusion</i>: In infants with manifestations of possible cardiac anomalies, it is necessary to consider other pathologies, such as neoplastic processes. Spindle cell detection in pathology is not ominous all the time, and there are benign subtypes with favorable outcomes after successful surgical resection.</p>","PeriodicalId":9623,"journal":{"name":"Case Reports in Pediatrics","volume":"2024 ","pages":"8630268"},"PeriodicalIF":0.5000,"publicationDate":"2024-06-26","publicationTypes":"Journal Article","fieldsOfStudy":null,"isOpenAccess":false,"openAccessPdf":"https://www.ncbi.nlm.nih.gov/pmc/articles/PMC11221945/pdf/","citationCount":"0","resultStr":null,"platform":"Semanticscholar","paperid":null,"PeriodicalName":"Case Reports in Pediatrics","FirstCategoryId":"1085","ListUrlMain":"https://doi.org/10.1155/2024/8630268","RegionNum":0,"RegionCategory":null,"ArticlePicture":[],"TitleCN":null,"AbstractTextCN":null,"PMCID":null,"EPubDate":"2024/1/1 0:00:00","PubModel":"eCollection","JCR":"Q4","JCRName":"PEDIATRICS","Score":null,"Total":0}
引用次数: 0

Abstract

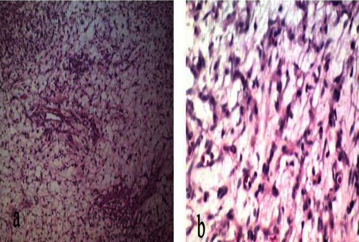
Introduction: Different subtypes of cardiac tumors containing spindle cells have been described as cardiac sarcoma. However, benign types have not been reported so far. We described a neonate with progressive respiratory distress who had a PDA and was finally diagnosed with a right atrial spindle cell tumor. Case Presentation: The patient was a neonate referred with respiratory distress and sepsis. The initial echocardiography demonstrated a small atrial septal defect, patent ductus arteriosus, and a heterogeneous rounded right atrial mass lesion. Pathologic examination confirmed the right atrial myxoid spindle cell tumor without local invasion. Successful mass resection was performed, and follow-up echocardiography revealed normal cardiac structure and function. Conclusion: In infants with manifestations of possible cardiac anomalies, it is necessary to consider other pathologies, such as neoplastic processes. Spindle cell detection in pathology is not ominous all the time, and there are benign subtypes with favorable outcomes after successful surgical resection.

Abstract Image

Abstract Image

Abstract Image

新生儿心脏肌样纺锤细胞瘤
导言:含有纺锤形细胞的不同亚型心脏肿瘤被描述为心脏肉瘤。然而,良性类型至今尚未见报道。我们描述了一名呼吸窘迫的新生儿,他患有 PDA,最后被诊断为右心房纺锤形细胞瘤。病例介绍:患者是一名因呼吸困难和败血症转诊的新生儿。最初的超声心动图检查显示有一个小的房间隔缺损、动脉导管未闭和一个异质性圆形右心房肿块病变。病理检查证实为右心房肌样纺锤细胞瘤,无局部侵犯。手术成功切除了肿块,随访超声心动图显示心脏结构和功能正常。结论对于可能有心脏畸形表现的婴儿,有必要考虑其他病变,如肿瘤过程。在病理中发现纺锤形细胞并非都是不祥之兆,也有良性亚型,手术切除后效果良好。
本文章由计算机程序翻译,如有差异,请以英文原文为准。
求助全文
约1分钟内获得全文 求助全文
来源期刊
自引率
11.10%
发文量
48
审稿时长
13 weeks
×
引用
GB/T 7714-2015
复制
MLA
复制
APA
复制
导出至
BibTeX EndNote RefMan NoteFirst NoteExpress
×
提示
您的信息不完整,为了账户安全,请先补充。
现在去补充
×
提示
您因"违规操作"
具体请查看互助需知
我知道了
×
提示
确定
请完成安全验证×
copy
已复制链接
快去分享给好友吧!
我知道了
右上角分享
点击右上角分享
0
联系我们:info@booksci.cn Book学术提供免费学术资源搜索服务,方便国内外学者检索中英文文献。致力于提供最便捷和优质的服务体验。 Copyright © 2023 布克学术 All rights reserved.
京ICP备2023020795号-1
ghs 京公网安备 11010802042870号
Book学术文献互助
Book学术文献互助群
群 号:604180095
Book学术官方微信