Idiopathic parietal bone thinning mimicking a bone lesion.

Thomas Saliba, Alessandro De Leucio, Paolo Simoni
{"title":"Idiopathic parietal bone thinning mimicking a bone lesion.","authors":"Thomas Saliba, Alessandro De Leucio, Paolo Simoni","doi":"10.4314/gmj.v57i4.10","DOIUrl":null,"url":null,"abstract":"<p><p>Idiopathic focal unilateral skull thinning is a rare finding. An explanation, such as trauma or disease, can often be found. However, in some cases, no explanation is forthcoming, and thus, we must look further into their history for a possible cause. The case of a nine-year-old boy with a crescent-shaped unilateral parietal bone thinning and a history of ventouse-assisted birth is presented. The lesion matches a ventouse's typical location, shape, and size. Thus, with the support of one other reported similar case, we hypothesise this may be the origin. We present the case of a crescent-shaped lesion matching the imprint of a ventouse in a child with a concordant history. This finding is put in the context of similar reports in the literature, and we believe that this report provides further evidence of this obscure phenomenon.</p><p><strong>Funding: </strong>None declared.</p>","PeriodicalId":94319,"journal":{"name":"Ghana medical journal","volume":"57 4","pages":"321-323"},"PeriodicalIF":0.0000,"publicationDate":"2023-12-01","publicationTypes":"Journal Article","fieldsOfStudy":null,"isOpenAccess":false,"openAccessPdf":"https://www.ncbi.nlm.nih.gov/pmc/articles/PMC11215221/pdf/","citationCount":"0","resultStr":null,"platform":"Semanticscholar","paperid":null,"PeriodicalName":"Ghana medical journal","FirstCategoryId":"1085","ListUrlMain":"https://doi.org/10.4314/gmj.v57i4.10","RegionNum":0,"RegionCategory":null,"ArticlePicture":[],"TitleCN":null,"AbstractTextCN":null,"PMCID":null,"EPubDate":"","PubModel":"","JCR":"","JCRName":"","Score":null,"Total":0}
引用次数: 0

Abstract

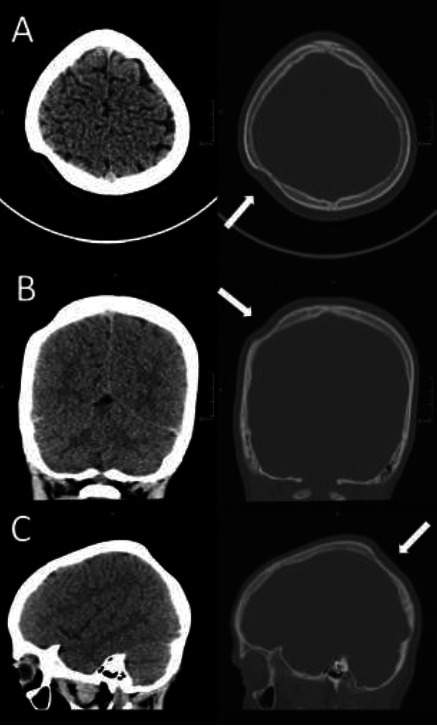
Idiopathic focal unilateral skull thinning is a rare finding. An explanation, such as trauma or disease, can often be found. However, in some cases, no explanation is forthcoming, and thus, we must look further into their history for a possible cause. The case of a nine-year-old boy with a crescent-shaped unilateral parietal bone thinning and a history of ventouse-assisted birth is presented. The lesion matches a ventouse's typical location, shape, and size. Thus, with the support of one other reported similar case, we hypothesise this may be the origin. We present the case of a crescent-shaped lesion matching the imprint of a ventouse in a child with a concordant history. This finding is put in the context of similar reports in the literature, and we believe that this report provides further evidence of this obscure phenomenon.

Funding: None declared.

Abstract Image

Abstract Image

模仿骨病变的特发性顶骨变薄。
特发性局灶性单侧颅骨变薄是一种罕见的病症。通常可以找到一种解释,如外伤或疾病。然而,在某些病例中,我们无法找到任何解释,因此必须进一步了解病史,寻找可能的病因。本病例是一个 9 岁男孩的病例,他的单侧顶骨呈新月形变薄,并有文氏助产史。病变的位置、形状和大小均符合通风孔的典型特征。因此,在另一例类似病例的支持下,我们推测这可能就是病因。我们介绍了一个病例,该病例患儿的新月形病变与文鸟的印记相吻合,且病史一致。我们将这一发现与文献中的类似报告结合起来,认为本报告为这一不明显的现象提供了进一步的证据:未声明。
本文章由计算机程序翻译,如有差异,请以英文原文为准。
求助全文
约1分钟内获得全文 求助全文
来源期刊
CiteScore
1.10
自引率
0.00%
发文量
0
×
引用
GB/T 7714-2015
复制
MLA
复制
APA
复制
导出至
BibTeX EndNote RefMan NoteFirst NoteExpress
×
提示
您的信息不完整,为了账户安全,请先补充。
现在去补充
×
提示
您因"违规操作"
具体请查看互助需知
我知道了
×
提示
确定
请完成安全验证×
copy
已复制链接
快去分享给好友吧!
我知道了
右上角分享
点击右上角分享
0
联系我们:info@booksci.cn Book学术提供免费学术资源搜索服务,方便国内外学者检索中英文文献。致力于提供最便捷和优质的服务体验。 Copyright © 2023 布克学术 All rights reserved.
京ICP备2023020795号-1
ghs 京公网安备 11010802042870号
Book学术文献互助
Book学术文献互助群
群 号:604180095
Book学术官方微信