Arthritis or an Adjacent Fascial Response? A Case Report of Combined Pyomyositis and Aseptic Arthritis.

Case Reports in Rheumatology Pub Date : 2024-06-25 eCollection Date: 2024-01-01 DOI:10.1155/2024/2608144
Noa Martonovich, Sharon Reisfeld, Yaniv Yonai, Eyal Behrbalk
{"title":"Arthritis or an Adjacent Fascial Response? A Case Report of Combined Pyomyositis and Aseptic Arthritis.","authors":"Noa Martonovich, Sharon Reisfeld, Yaniv Yonai, Eyal Behrbalk","doi":"10.1155/2024/2608144","DOIUrl":null,"url":null,"abstract":"<p><p>Pyomyositis, accompanied by aseptic arthritis, has been previously documented in several publications. However, none of the authors in the mentioned case reports offered a pathophysiological explanation for this unusual phenomenon or proposed a treatment protocol. We present a case of a healthy, 70-year-old male who was presented to the emergency department 4 days after tripping over a pile of wooden planks and getting stabbed by a nail to his thigh. The right thigh was swollen. Unproportional pain was produced by a light touch to the thigh. A laboratory test and a CT scan were obtained. The working diagnosis was pyomyositis of the thigh and septic arthritis of the ipsilateral knee. The patient underwent urgent debridement and irrigation of his right thigh. An arthroscopic knee lavage was performed as well. Intraoperative cultures from the thigh revealed the growth of <i>Streptococcus pyogenes</i> and <i>Staphylococcus aureus</i>. Cultures from synovial fluid were sterile; thus, septic arthritis was very unlikely. The source of the knee effusion might have been an aseptic inflammatory response due to the proximity of the thigh infection. Anatomically, the quadriceps muscle inserts on the patella, and its tendon fuses with the knee capsule, creating a direct fascial track from the thigh to the knee. The inflammatory response surrounding the infection may have followed this track, creating a domino effect, affecting adjacent capillaries within the joint capsule, and causing plasma leakage into the synovial space, leading to joint effusion. Our suggested treatment is addressing the primary infection with antibiotics and considering adding anti-inflammatory therapy, given our suspicion that this process has an inflammatory component.</p>","PeriodicalId":9622,"journal":{"name":"Case Reports in Rheumatology","volume":"2024 ","pages":"2608144"},"PeriodicalIF":0.0000,"publicationDate":"2024-06-25","publicationTypes":"Journal Article","fieldsOfStudy":null,"isOpenAccess":false,"openAccessPdf":"https://www.ncbi.nlm.nih.gov/pmc/articles/PMC11219200/pdf/","citationCount":"0","resultStr":null,"platform":"Semanticscholar","paperid":null,"PeriodicalName":"Case Reports in Rheumatology","FirstCategoryId":"1085","ListUrlMain":"https://doi.org/10.1155/2024/2608144","RegionNum":0,"RegionCategory":null,"ArticlePicture":[],"TitleCN":null,"AbstractTextCN":null,"PMCID":null,"EPubDate":"2024/1/1 0:00:00","PubModel":"eCollection","JCR":"","JCRName":"","Score":null,"Total":0}
引用次数: 0

Abstract

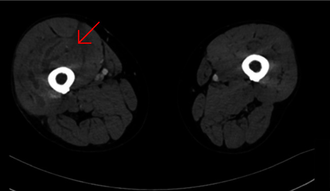
Pyomyositis, accompanied by aseptic arthritis, has been previously documented in several publications. However, none of the authors in the mentioned case reports offered a pathophysiological explanation for this unusual phenomenon or proposed a treatment protocol. We present a case of a healthy, 70-year-old male who was presented to the emergency department 4 days after tripping over a pile of wooden planks and getting stabbed by a nail to his thigh. The right thigh was swollen. Unproportional pain was produced by a light touch to the thigh. A laboratory test and a CT scan were obtained. The working diagnosis was pyomyositis of the thigh and septic arthritis of the ipsilateral knee. The patient underwent urgent debridement and irrigation of his right thigh. An arthroscopic knee lavage was performed as well. Intraoperative cultures from the thigh revealed the growth of Streptococcus pyogenes and Staphylococcus aureus. Cultures from synovial fluid were sterile; thus, septic arthritis was very unlikely. The source of the knee effusion might have been an aseptic inflammatory response due to the proximity of the thigh infection. Anatomically, the quadriceps muscle inserts on the patella, and its tendon fuses with the knee capsule, creating a direct fascial track from the thigh to the knee. The inflammatory response surrounding the infection may have followed this track, creating a domino effect, affecting adjacent capillaries within the joint capsule, and causing plasma leakage into the synovial space, leading to joint effusion. Our suggested treatment is addressing the primary infection with antibiotics and considering adding anti-inflammatory therapy, given our suspicion that this process has an inflammatory component.

Abstract Image

Abstract Image

Abstract Image

关节炎还是邻近的筋膜反应?合并化脓性肌炎和无菌性关节炎的病例报告。
此前已有多篇文献记载了伴有无菌性关节炎的化脓性肌炎。然而,在上述病例报告中,没有一位作者对这种不寻常的现象做出病理生理学解释,也没有提出治疗方案。我们介绍了一例健康的 70 岁男性病例,他在被一堆木板绊倒并被钉子刺伤大腿 4 天后到急诊科就诊。右大腿肿胀。轻触大腿就会产生不相称的疼痛。他接受了实验室检查和 CT 扫描。初步诊断为大腿化脓性肌炎和同侧膝关节化脓性关节炎。患者接受了右大腿紧急清创和冲洗。同时还进行了膝关节镜灌洗。术中对大腿进行的培养发现,化脓性链球菌和金黄色葡萄球菌在大腿上生长。滑膜液中的培养物是无菌的,因此化脓性关节炎的可能性很小。膝关节积液的原因可能是大腿感染附近的无菌性炎症反应。从解剖学角度看,股四头肌插入髌骨,其肌腱与膝关节囊融合,形成了一条从大腿到膝关节的直接筋膜路径。围绕感染的炎症反应可能会沿着这条路径,产生多米诺骨牌效应,影响关节囊内的邻近毛细血管,导致血浆渗漏到滑膜间隙,导致关节积液。我们建议的治疗方法是用抗生素治疗原发性感染,并考虑增加抗炎治疗,因为我们怀疑这一过程有炎症因素。
本文章由计算机程序翻译,如有差异,请以英文原文为准。
求助全文
约1分钟内获得全文 求助全文
来源期刊
自引率
0.00%
发文量
35
审稿时长
12 weeks
×
引用
GB/T 7714-2015
复制
MLA
复制
APA
复制
导出至
BibTeX EndNote RefMan NoteFirst NoteExpress
×
提示
您的信息不完整,为了账户安全,请先补充。
现在去补充
×
提示
您因"违规操作"
具体请查看互助需知
我知道了
×
提示
确定
请完成安全验证×
copy
已复制链接
快去分享给好友吧!
我知道了
右上角分享
点击右上角分享
0
联系我们:info@booksci.cn Book学术提供免费学术资源搜索服务,方便国内外学者检索中英文文献。致力于提供最便捷和优质的服务体验。 Copyright © 2023 布克学术 All rights reserved.
京ICP备2023020795号-1
ghs 京公网安备 11010802042870号
Book学术文献互助
Book学术文献互助群
群 号:604180095
Book学术官方微信