Comparison of effects of P-coumaric acid and coumarin on colorectal cancer cell line by inducing apoptosis and autophagy.

IF 2.2 Q3 CHEMISTRY, MEDICINAL
Elham Hoveizi, Kiavash Hushmandi
{"title":"Comparison of effects of P-coumaric acid and coumarin on colorectal cancer cell line by inducing apoptosis and autophagy.","authors":"Elham Hoveizi, Kiavash Hushmandi","doi":"10.22038/AJP.2024.24194","DOIUrl":null,"url":null,"abstract":"<p><strong>Objective: </strong>Autophagy, as a cellular pathway involved in removing damaged proteins and organelles, performs a vital function in the homeostasis and fate of cells. Natural compounds of coumarin (CO) are found in a variety of herbs. Due to their many medicinal properties, including antitumor and anti-proliferative activity, they are involved in apoptosis and autophagy processes. This investigation desired to analyze the apoptotic and autophagic effects of p-coumaric acid (PCA) and CO on HT-29 cells cultured in fibrin hydrogel.</p><p><strong>Materials and methods: </strong>Cell viability and apoptotic and autophagic changes were evaluated by MTT assay, Acridine Orange, 4',6-diamidino-2-phenylindole (DAPI), and monodansylcadaverine (MDC) staining. The expression <i>Bax</i>, <i>Bad</i>, <i>Bcl2</i>, <i>Lc3</i>, <i>Beclin-1</i>, <i>P53</i> and <i>Atg5</i> was respectively measured by qRT-PCR and Western blotting.</p><p><strong>Results: </strong>CO (IC50=25 μM) and PCA (IC50=150 μM) had a dose- and time-dependent cytotoxic effect in HT-29 cells. So, the cytotoxic effects of CO were significantly higher than PCA and these differences were also evident in cell morphology investigations. The data illustrated a high expression of pro-apoptotic and pro-autophagic genes and a declined expression of anti-apoptotic and anti-autophagic genes.</p><p><strong>Conclusion: </strong>CO (that was more potent) and p-coumaric acid-induced autophagy via PI3K/Akt/mTOR and AMPK/mTOR signaling on HT-29 cells.</p>","PeriodicalId":8677,"journal":{"name":"Avicenna Journal of Phytomedicine","volume":"14 4","pages":"470-484"},"PeriodicalIF":2.2000,"publicationDate":"2024-07-01","publicationTypes":"Journal Article","fieldsOfStudy":null,"isOpenAccess":false,"openAccessPdf":"https://www.ncbi.nlm.nih.gov/pmc/articles/PMC11179187/pdf/","citationCount":"0","resultStr":null,"platform":"Semanticscholar","paperid":null,"PeriodicalName":"Avicenna Journal of Phytomedicine","FirstCategoryId":"1085","ListUrlMain":"https://doi.org/10.22038/AJP.2024.24194","RegionNum":0,"RegionCategory":null,"ArticlePicture":[],"TitleCN":null,"AbstractTextCN":null,"PMCID":null,"EPubDate":"","PubModel":"","JCR":"Q3","JCRName":"CHEMISTRY, MEDICINAL","Score":null,"Total":0}
引用次数: 0

Abstract

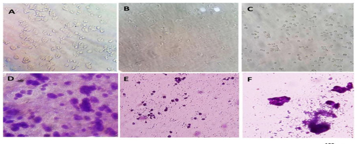
Objective: Autophagy, as a cellular pathway involved in removing damaged proteins and organelles, performs a vital function in the homeostasis and fate of cells. Natural compounds of coumarin (CO) are found in a variety of herbs. Due to their many medicinal properties, including antitumor and anti-proliferative activity, they are involved in apoptosis and autophagy processes. This investigation desired to analyze the apoptotic and autophagic effects of p-coumaric acid (PCA) and CO on HT-29 cells cultured in fibrin hydrogel.

Materials and methods: Cell viability and apoptotic and autophagic changes were evaluated by MTT assay, Acridine Orange, 4',6-diamidino-2-phenylindole (DAPI), and monodansylcadaverine (MDC) staining. The expression Bax, Bad, Bcl2, Lc3, Beclin-1, P53 and Atg5 was respectively measured by qRT-PCR and Western blotting.

Results: CO (IC50=25 μM) and PCA (IC50=150 μM) had a dose- and time-dependent cytotoxic effect in HT-29 cells. So, the cytotoxic effects of CO were significantly higher than PCA and these differences were also evident in cell morphology investigations. The data illustrated a high expression of pro-apoptotic and pro-autophagic genes and a declined expression of anti-apoptotic and anti-autophagic genes.

Conclusion: CO (that was more potent) and p-coumaric acid-induced autophagy via PI3K/Akt/mTOR and AMPK/mTOR signaling on HT-29 cells.

Abstract Image

Abstract Image

Abstract Image

比较对香豆酸和香豆素通过诱导细胞凋亡和自噬对结直肠癌细胞株的影响
目的自噬是一种清除受损蛋白质和细胞器的细胞途径,在细胞的稳态和命运中发挥着重要功能。天然香豆素(CO)化合物存在于多种草药中。由于它们具有多种药用特性,包括抗肿瘤和抗增殖活性,因此参与了细胞凋亡和自噬过程。本研究旨在分析对香豆酸(PCA)和 CO 对在纤维蛋白水凝胶中培养的 HT-29 细胞的凋亡和自噬作用:通过 MTT 试验、吖啶橙、4',6-二脒基-2-苯基吲哚(DAPI)和单丹酰金刚烷胺(MDC)染色评估细胞活力、凋亡和自噬变化。分别用 qRT-PCR 和 Western 印迹法测定 Bax、Bad、Bcl2、Lc3、Beclin-1、P53 和 Atg5 的表达:结果:CO(IC50=25 μM)和PCA(IC50=150 μM)对HT-29细胞具有剂量和时间依赖性的细胞毒性作用。因此,CO 的细胞毒性作用明显高于 PCA,这些差异在细胞形态学研究中也很明显。数据表明,促凋亡基因和促自噬基因的表达较高,而抗凋亡基因和抗自噬基因的表达较低:结论:CO(作用更强)和对香豆酸通过 PI3K/Akt/mTOR 和 AMPK/mTOR 信号转导诱导 HT-29 细胞自噬。
本文章由计算机程序翻译,如有差异,请以英文原文为准。
求助全文
约1分钟内获得全文 求助全文
来源期刊
Avicenna Journal of Phytomedicine
Avicenna Journal of Phytomedicine CHEMISTRY, MEDICINAL-
CiteScore
3.40
自引率
4.50%
发文量
17
审稿时长
6 weeks
×
引用
GB/T 7714-2015
复制
MLA
复制
APA
复制
导出至
BibTeX EndNote RefMan NoteFirst NoteExpress
×
提示
您的信息不完整,为了账户安全,请先补充。
现在去补充
×
提示
您因"违规操作"
具体请查看互助需知
我知道了
×
提示
确定
请完成安全验证×
copy
已复制链接
快去分享给好友吧!
我知道了
右上角分享
点击右上角分享
0
联系我们:info@booksci.cn Book学术提供免费学术资源搜索服务,方便国内外学者检索中英文文献。致力于提供最便捷和优质的服务体验。 Copyright © 2023 布克学术 All rights reserved.
京ICP备2023020795号-1
ghs 京公网安备 11010802042870号
Book学术文献互助
Book学术文献互助群
群 号:604180095
Book学术官方微信