Wireless Device Therapy in Hypertrophic Cardiomyopathy Using the Combination of a Leadless Pacemaker and a Subcutaneous Defibrillator: A Report with 2-year Follow-up of Two Patients.

Q3 Medicine
Journal of Innovations in Cardiac Rhythm Management Pub Date : 2024-06-15 eCollection Date: 2024-06-01 DOI:10.19102/icrm.2024.15064
Nikias Milaras, Ioannis Ntalakouras, Stefanos Archontakis, Panagiotis Dourvas, Nikolaos Ktenopoulos, Tzontatan Klogkeri, Vasileios Nevras, Skevos Sideris
{"title":"Wireless Device Therapy in Hypertrophic Cardiomyopathy Using the Combination of a Leadless Pacemaker and a Subcutaneous Defibrillator: A Report with 2-year Follow-up of Two Patients.","authors":"Nikias Milaras, Ioannis Ntalakouras, Stefanos Archontakis, Panagiotis Dourvas, Nikolaos Ktenopoulos, Tzontatan Klogkeri, Vasileios Nevras, Skevos Sideris","doi":"10.19102/icrm.2024.15064","DOIUrl":null,"url":null,"abstract":"<p><p>Cardiac implantable electronic devices (CIEDs) are essential tools in cardiology for tackling rhythm disturbances and have come a long way over the last decades. Technology is shifting toward leadless devices that spare the complications and limitations of traditional intravascular CIEDs. Herein, we report the simultaneous implantation of a leadless pacemaker (LP) and a subcutaneous implantable cardioverter-defibrillator (S-ICD) in two patients with hypertrophic cardiomyopathy, as well as their 2-year follow-up results, while explaining the preventive measures taken to steer around unwanted device interaction. Implantation of an S-ICD with an LP is reserved for unique cases but is a feasible approach when there is a contraindication for intravascular CIED implantation. Furthermore, this technique may be used in younger patients with cardiomyopathies in whom multiple generator replacements are expected, along with their known adverse effects.</p>","PeriodicalId":36299,"journal":{"name":"Journal of Innovations in Cardiac Rhythm Management","volume":"15 6","pages":"5908-5910"},"PeriodicalIF":0.0000,"publicationDate":"2024-06-15","publicationTypes":"Journal Article","fieldsOfStudy":null,"isOpenAccess":false,"openAccessPdf":"https://www.ncbi.nlm.nih.gov/pmc/articles/PMC11210673/pdf/","citationCount":"0","resultStr":null,"platform":"Semanticscholar","paperid":null,"PeriodicalName":"Journal of Innovations in Cardiac Rhythm Management","FirstCategoryId":"1085","ListUrlMain":"https://doi.org/10.19102/icrm.2024.15064","RegionNum":0,"RegionCategory":null,"ArticlePicture":[],"TitleCN":null,"AbstractTextCN":null,"PMCID":null,"EPubDate":"2024/6/1 0:00:00","PubModel":"eCollection","JCR":"Q3","JCRName":"Medicine","Score":null,"Total":0}
引用次数: 0

Abstract

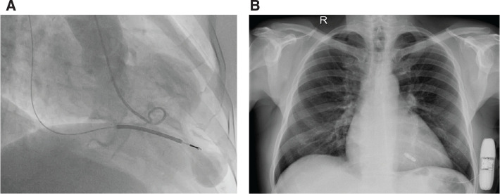
Cardiac implantable electronic devices (CIEDs) are essential tools in cardiology for tackling rhythm disturbances and have come a long way over the last decades. Technology is shifting toward leadless devices that spare the complications and limitations of traditional intravascular CIEDs. Herein, we report the simultaneous implantation of a leadless pacemaker (LP) and a subcutaneous implantable cardioverter-defibrillator (S-ICD) in two patients with hypertrophic cardiomyopathy, as well as their 2-year follow-up results, while explaining the preventive measures taken to steer around unwanted device interaction. Implantation of an S-ICD with an LP is reserved for unique cases but is a feasible approach when there is a contraindication for intravascular CIED implantation. Furthermore, this technique may be used in younger patients with cardiomyopathies in whom multiple generator replacements are expected, along with their known adverse effects.

Abstract Image

Abstract Image

使用无引线起搏器和皮下除颤器组合对肥厚型心肌病进行无线设备治疗:两名患者的两年随访报告。
心脏植入式电子设备(CIEDs)是心脏病学治疗心律失常的重要工具,在过去几十年中取得了长足的进步。技术正在向无导联设备转变,从而避免了传统血管内 CIED 的并发症和局限性。在此,我们报告了两名肥厚型心肌病患者同时植入无引线起搏器(LP)和皮下植入式心律转复除颤器(S-ICD)的情况,以及他们两年的随访结果,同时解释了为避免不必要的设备相互作用而采取的预防措施。使用 LP 植入 S-ICD 只适用于特殊病例,但在有血管内 CIED 植入禁忌症的情况下,这是一种可行的方法。此外,这种技术还可用于患有心肌病的年轻患者,因为这些患者需要多次更换发生器,同时还要承受已知的不良影响。
本文章由计算机程序翻译,如有差异,请以英文原文为准。
求助全文
约1分钟内获得全文 求助全文
来源期刊
Journal of Innovations in Cardiac Rhythm Management
Journal of Innovations in Cardiac Rhythm Management Medicine-Cardiology and Cardiovascular Medicine
CiteScore
1.50
自引率
0.00%
发文量
70
×
引用
GB/T 7714-2015
复制
MLA
复制
APA
复制
导出至
BibTeX EndNote RefMan NoteFirst NoteExpress
×
提示
您的信息不完整,为了账户安全,请先补充。
现在去补充
×
提示
您因"违规操作"
具体请查看互助需知
我知道了
×
提示
确定
请完成安全验证×
copy
已复制链接
快去分享给好友吧!
我知道了
右上角分享
点击右上角分享
0
联系我们:info@booksci.cn Book学术提供免费学术资源搜索服务,方便国内外学者检索中英文文献。致力于提供最便捷和优质的服务体验。 Copyright © 2023 布克学术 All rights reserved.
京ICP备2023020795号-1
ghs 京公网安备 11010802042870号
Book学术文献互助
Book学术文献互助群
群 号:604180095
Book学术官方微信