Multimodal Imaging Characteristics and Diagnostic Value of Choroidal Nodules in Patients with Neurofibromatosis Type 1.

Q3 Medicine
Nargiz Ahmadova, Mustafa Kayabaşı, Seher Köksaldı, Eda Hümaz, Ali Osman Saatci
{"title":"Multimodal Imaging Characteristics and Diagnostic Value of Choroidal Nodules in Patients with Neurofibromatosis Type 1.","authors":"Nargiz Ahmadova, Mustafa Kayabaşı, Seher Köksaldı, Eda Hümaz, Ali Osman Saatci","doi":"10.4274/tjo.galenos.2024.48017","DOIUrl":null,"url":null,"abstract":"<p><strong>Objectives: </strong>Yasunari nodules are choroidal lesions observed in patients diagnosed with neurofibromatosis type 1 (NF-1) and characterized by relatively irregular dome-shaped, plaque-like, or patchy boundaries. The present study examines the multimodal imaging characteristics of Yasunari nodules and their value in the diagnosis of NF-1.</p><p><strong>Materials and methods: </strong>Medical records including optical coherence tomography (OCT), enhanced depth imaging OCT, infrared reflectance (IR) imaging, OCT angiography, and color fundus images of NF-1 patients who were examined at the Department of Ophthalmology in Dokuz Eylül University Faculty of Medicine between January 2022 and December 2023 were retrospectively reviewed for the presence of Yasunari nodules.</p><p><strong>Results: </strong>A total of 54 eyes of 27 patients were included in the study. At least one choroidal nodule was detected on IR imaging in 52 eyes (96.3%). In 31 (72.1%) of the 43 eyes (79.6%) with available high-quality OCT angiography images, choroidal nodules were observed as areas showing a flow deficit in the choriocapillaris layer. Of the total 54 eyes included, Lisch nodules without choroidal nodules were observed in 2 eyes (3.7%). In 16 eyes (29.6%), Lisch nodules were not detected despite the presence of choroidal nodules. Both Lisch nodules and choroidal nodules were detected in the other 36 eyes (66.7%).</p><p><strong>Conclusion: </strong>Yasunari nodules are frequently observed in NF-1 cases and can be easily detected with multimodal imaging techniques, especially IR imaging. The ability to visualize choroidal nodules before the appearance of Lisch nodules demonstrates the importance of Yasunari nodules in the diagnosis of NF-1.</p>","PeriodicalId":23373,"journal":{"name":"Turkish Journal of Ophthalmology","volume":"54 3","pages":"140-148"},"PeriodicalIF":0.0000,"publicationDate":"2024-06-28","publicationTypes":"Journal Article","fieldsOfStudy":null,"isOpenAccess":false,"openAccessPdf":"https://www.ncbi.nlm.nih.gov/pmc/articles/PMC11589307/pdf/","citationCount":"0","resultStr":null,"platform":"Semanticscholar","paperid":null,"PeriodicalName":"Turkish Journal of Ophthalmology","FirstCategoryId":"1085","ListUrlMain":"https://doi.org/10.4274/tjo.galenos.2024.48017","RegionNum":0,"RegionCategory":null,"ArticlePicture":[],"TitleCN":null,"AbstractTextCN":null,"PMCID":null,"EPubDate":"","PubModel":"","JCR":"Q3","JCRName":"Medicine","Score":null,"Total":0}
引用次数: 0

Abstract

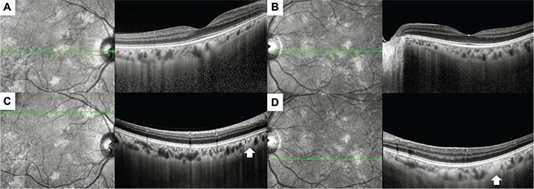
Objectives: Yasunari nodules are choroidal lesions observed in patients diagnosed with neurofibromatosis type 1 (NF-1) and characterized by relatively irregular dome-shaped, plaque-like, or patchy boundaries. The present study examines the multimodal imaging characteristics of Yasunari nodules and their value in the diagnosis of NF-1.

Materials and methods: Medical records including optical coherence tomography (OCT), enhanced depth imaging OCT, infrared reflectance (IR) imaging, OCT angiography, and color fundus images of NF-1 patients who were examined at the Department of Ophthalmology in Dokuz Eylül University Faculty of Medicine between January 2022 and December 2023 were retrospectively reviewed for the presence of Yasunari nodules.

Results: A total of 54 eyes of 27 patients were included in the study. At least one choroidal nodule was detected on IR imaging in 52 eyes (96.3%). In 31 (72.1%) of the 43 eyes (79.6%) with available high-quality OCT angiography images, choroidal nodules were observed as areas showing a flow deficit in the choriocapillaris layer. Of the total 54 eyes included, Lisch nodules without choroidal nodules were observed in 2 eyes (3.7%). In 16 eyes (29.6%), Lisch nodules were not detected despite the presence of choroidal nodules. Both Lisch nodules and choroidal nodules were detected in the other 36 eyes (66.7%).

Conclusion: Yasunari nodules are frequently observed in NF-1 cases and can be easily detected with multimodal imaging techniques, especially IR imaging. The ability to visualize choroidal nodules before the appearance of Lisch nodules demonstrates the importance of Yasunari nodules in the diagnosis of NF-1.

Abstract Image

Abstract Image

Abstract Image

神经纤维瘤病 1 型患者脉络膜结节的多模态成像特征和诊断价值。
目的:Yasunari结节是在确诊为神经纤维瘤病1型(NF-1)患者中观察到的脉络膜病变,其特征是边界相对不规则的圆顶状、斑块状或斑片状。本研究探讨了 Yasunari 结节的多模态成像特征及其在 NF-1 诊断中的价值:回顾性审查 2022 年 1 月至 2023 年 12 月期间在 Dokuz Eylül 大学医学院眼科系接受检查的 NF-1 患者的病历,包括光学相干断层扫描 (OCT)、增强深度成像 OCT、红外反射 (IR) 成像、OCT 血管造影和彩色眼底图像,以确定是否存在 Yasunari 结节:研究共纳入27名患者的54只眼睛。52眼(96.3%)中至少有一个脉络膜结节被红外成像检测到。在有高质量 OCT 血管造影图像的 43 只眼睛(79.6%)中,有 31 只(72.1%)的脉络膜结节被观察到为绒毛膜层的血流缺失区域。在总共 54 只眼睛中,有 2 只眼睛(3.7%)观察到没有脉络膜结节的 Lisch 结节。在 16 只眼睛(29.6%)中,尽管存在脉络膜结节,但未检测到 Lisch 结节。其他 36 只眼睛(66.7%)同时检测到 Lisch 结节和脉络膜结节:结论:在NF-1病例中经常可以观察到Yasunari结节,通过多模态成像技术,尤其是红外成像技术,可以很容易地发现这种结节。在Lisch结节出现之前就能观察到脉络膜结节,这表明Yasunari结节在NF-1诊断中的重要性。
本文章由计算机程序翻译,如有差异,请以英文原文为准。
求助全文
约1分钟内获得全文 求助全文
来源期刊
Turkish Journal of Ophthalmology
Turkish Journal of Ophthalmology Medicine-Ophthalmology
CiteScore
2.20
自引率
0.00%
发文量
0
期刊介绍: The Turkish Journal of Ophthalmology (TJO) is the only scientific periodical publication of the Turkish Ophthalmological Association and has been published since January 1929. In its early years, the journal was published in Turkish and French. Although there were temporary interruptions in the publication of the journal due to various challenges, the Turkish Journal of Ophthalmology has been published continually from 1971 to the present. The target audience includes specialists and physicians in training in ophthalmology in all relevant disciplines.
×
引用
GB/T 7714-2015
复制
MLA
复制
APA
复制
导出至
BibTeX EndNote RefMan NoteFirst NoteExpress
×
提示
您的信息不完整,为了账户安全,请先补充。
现在去补充
×
提示
您因"违规操作"
具体请查看互助需知
我知道了
×
提示
确定
请完成安全验证×
copy
已复制链接
快去分享给好友吧!
我知道了
右上角分享
点击右上角分享
0
联系我们:info@booksci.cn Book学术提供免费学术资源搜索服务,方便国内外学者检索中英文文献。致力于提供最便捷和优质的服务体验。 Copyright © 2023 布克学术 All rights reserved.
京ICP备2023020795号-1
ghs 京公网安备 11010802042870号
Book学术文献互助
Book学术文献互助群
群 号:604180095
Book学术官方微信