Bone Metastasis from Renal Cancer Coinciding with the Same Anatomical Position as a Vertebral Hemangioma: A Collision Lesion Case Report.

IF 0.9 Q4 RADIOLOGY, NUCLEAR MEDICINE & MEDICAL IMAGING
World Journal of Nuclear Medicine Pub Date : 2024-03-28 eCollection Date: 2024-06-01 DOI:10.1055/s-0044-1779747
André Marcondes Braga Ribeiro, Amanda Silles Borin, Guilherme Dias Rocha de Mello, Rubens Chojniak
{"title":"Bone Metastasis from Renal Cancer Coinciding with the Same Anatomical Position as a Vertebral Hemangioma: A Collision Lesion Case Report.","authors":"André Marcondes Braga Ribeiro, Amanda Silles Borin, Guilherme Dias Rocha de Mello, Rubens Chojniak","doi":"10.1055/s-0044-1779747","DOIUrl":null,"url":null,"abstract":"<p><p>Collisions lesions are rare neoplasms where two histologically distinct tumors coexist in the same organ or anatomical site. Vertebral hemangiomas (VHs) are the most common lesions involving the vertebral bodies and imaging findings of typical and atypical hemangiomas, variant forms of hemangioma such as aggressive hemangiomas are well known, but collision lesions involving VHs are extremely rare. This article presents a case report of a 73-year-old male patient diagnosed with clear cell renal cancer in a rare presentation of a bone metastasis coinciding with the same anatomical position as a VH (collision lesion). This required a multidisciplinary approach involving various diagnostic techniques to determine the best therapeutic management.</p>","PeriodicalId":23742,"journal":{"name":"World Journal of Nuclear Medicine","volume":"23 2","pages":"135-140"},"PeriodicalIF":0.9000,"publicationDate":"2024-03-28","publicationTypes":"Journal Article","fieldsOfStudy":null,"isOpenAccess":false,"openAccessPdf":"https://www.ncbi.nlm.nih.gov/pmc/articles/PMC11199034/pdf/","citationCount":"0","resultStr":null,"platform":"Semanticscholar","paperid":null,"PeriodicalName":"World Journal of Nuclear Medicine","FirstCategoryId":"1085","ListUrlMain":"https://doi.org/10.1055/s-0044-1779747","RegionNum":0,"RegionCategory":null,"ArticlePicture":[],"TitleCN":null,"AbstractTextCN":null,"PMCID":null,"EPubDate":"2024/6/1 0:00:00","PubModel":"eCollection","JCR":"Q4","JCRName":"RADIOLOGY, NUCLEAR MEDICINE & MEDICAL IMAGING","Score":null,"Total":0}
引用次数: 0

Abstract

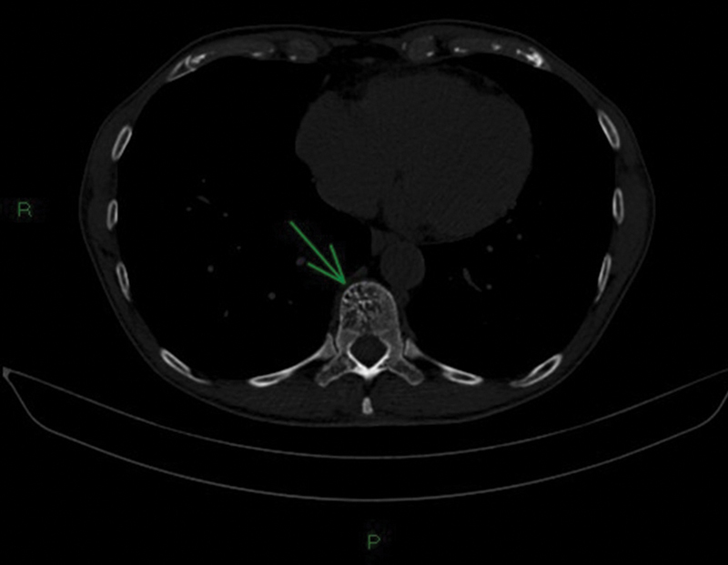
Collisions lesions are rare neoplasms where two histologically distinct tumors coexist in the same organ or anatomical site. Vertebral hemangiomas (VHs) are the most common lesions involving the vertebral bodies and imaging findings of typical and atypical hemangiomas, variant forms of hemangioma such as aggressive hemangiomas are well known, but collision lesions involving VHs are extremely rare. This article presents a case report of a 73-year-old male patient diagnosed with clear cell renal cancer in a rare presentation of a bone metastasis coinciding with the same anatomical position as a VH (collision lesion). This required a multidisciplinary approach involving various diagnostic techniques to determine the best therapeutic management.

Abstract Image

Abstract Image

Abstract Image

肾癌骨转移与椎体血管瘤的解剖位置相同:碰撞病变病例报告。
碰撞病变是一种罕见的肿瘤,即在同一器官或解剖部位同时存在两种组织学上不同的肿瘤。椎体血管瘤(VHs)是最常见的累及椎体的病变,典型和非典型血管瘤、侵袭性血管瘤等变异型血管瘤的影像学发现已广为人知,但累及椎体血管瘤的碰撞病变却极为罕见。本文报告了一例 73 岁男性患者的病例,该患者被诊断为透明细胞肾癌,其骨转移瘤的解剖位置与 VH 相同(碰撞病变),这种情况十分罕见。这就需要采用涉及各种诊断技术的多学科方法来确定最佳治疗方案。
本文章由计算机程序翻译,如有差异,请以英文原文为准。
求助全文
约1分钟内获得全文 求助全文
来源期刊
World Journal of Nuclear Medicine
World Journal of Nuclear Medicine RADIOLOGY, NUCLEAR MEDICINE & MEDICAL IMAGING-
自引率
16.70%
发文量
118
审稿时长
48 weeks
×
引用
GB/T 7714-2015
复制
MLA
复制
APA
复制
导出至
BibTeX EndNote RefMan NoteFirst NoteExpress
×
提示
您的信息不完整,为了账户安全,请先补充。
现在去补充
×
提示
您因"违规操作"
具体请查看互助需知
我知道了
×
提示
确定
请完成安全验证×
copy
已复制链接
快去分享给好友吧!
我知道了
右上角分享
点击右上角分享
0
联系我们:info@booksci.cn Book学术提供免费学术资源搜索服务,方便国内外学者检索中英文文献。致力于提供最便捷和优质的服务体验。 Copyright © 2023 布克学术 All rights reserved.
京ICP备2023020795号-1
ghs 京公网安备 11010802042870号
Book学术文献互助
Book学术文献互助群
群 号:604180095
Book学术官方微信