Diagnostic and prognostic significance of keloid-like collagen remodeling patterns in the extracellular matrix of colorectal cancer.

IF 2.3 4区 医学 Q3 ONCOLOGY
Pathology & Oncology Research Pub Date : 2024-06-06 eCollection Date: 2024-01-01 DOI:10.3389/pore.2024.1611789
Nauryzbay M Imanbayev, Yerbolat M Iztleuov, Yevgeniy K Kamyshanskiy, Aigul V Zhumasheva
{"title":"Diagnostic and prognostic significance of keloid-like collagen remodeling patterns in the extracellular matrix of colorectal cancer.","authors":"Nauryzbay M Imanbayev, Yerbolat M Iztleuov, Yevgeniy K Kamyshanskiy, Aigul V Zhumasheva","doi":"10.3389/pore.2024.1611789","DOIUrl":null,"url":null,"abstract":"<p><strong>Background: </strong>The desmoplastic reaction is considered a promising prognostic parameter for colorectal cancer. However, intermediate desmoplastic reaction is characterized by sizeable stromal heterogeneity, including both small amounts of keloid-like collagen (KC) in the fibrotic stroma and thick tufts of KC circumferentially surrounding cancer nests and occupying most of the fields of view. The present study aimed to evaluate the diagnostic and prognostic significance of KC histophenotyping with a quantitative visual assessment of its presence in the stroma of the invasive margin of TNM (The \"tumor-node-metastasis\" classification) stage II/III colorectal cancer (CRC).</p><p><strong>Methods and results: </strong>175 resected tumors from patients with TNM stage II/III CRC were examined. Keloid-like collagen was assessed according to Ueno H. criteria. KC was assessed at the primary tumor invasive margin using Hematoxylin & Eosin and Masson's trichrome staining. The cut-off point for KC was examined using \"the best cutoff approach by log-rank test.\" Using a cutoff point of 30%, we histologically divided fibrous stroma in the invasive area into two groups: \"type A\"-KC ≤ 0.3 and \"type B\"-KC>0.3. Type A stroma was observed in 48% of patients, type B-in 52%. The association between collagen amount and 5-year recurrence-free survival (5-RFS) was assessed using Cox regression analysis. Kaplan-Meier analysis and log-rank tests were used to assess the significance of survival analysis. Analysis of categorical variables showed that increased KC in CRC stroma predicted adverse outcomes for 5-RFS (hazard ratio [HR] = 3.143, 95%, confidence interval [CI] = 1.643-6.012, <i>p</i> = 0.001). Moreover, in Kaplan-Meier analysis, the log-rank test showed that type B exhibited worse 5-RFS than type A (<i>p</i> = 0.000).</p><p><strong>Conclusion: </strong>KC is an independent predictor of 5-year overall and RFS in patients with TNM stage II/III CRC treated with surgery, with worse survival rates when the amount of KC increases by >30%.</p>","PeriodicalId":19981,"journal":{"name":"Pathology & Oncology Research","volume":"30 ","pages":"1611789"},"PeriodicalIF":2.3000,"publicationDate":"2024-06-06","publicationTypes":"Journal Article","fieldsOfStudy":null,"isOpenAccess":false,"openAccessPdf":"https://www.ncbi.nlm.nih.gov/pmc/articles/PMC11186984/pdf/","citationCount":"0","resultStr":null,"platform":"Semanticscholar","paperid":null,"PeriodicalName":"Pathology & Oncology Research","FirstCategoryId":"3","ListUrlMain":"https://doi.org/10.3389/pore.2024.1611789","RegionNum":4,"RegionCategory":"医学","ArticlePicture":[],"TitleCN":null,"AbstractTextCN":null,"PMCID":null,"EPubDate":"2024/1/1 0:00:00","PubModel":"eCollection","JCR":"Q3","JCRName":"ONCOLOGY","Score":null,"Total":0}
引用次数: 0

Abstract

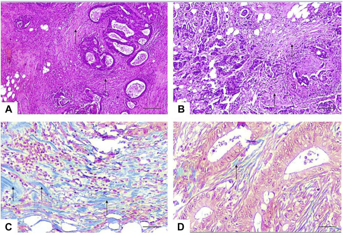
Background: The desmoplastic reaction is considered a promising prognostic parameter for colorectal cancer. However, intermediate desmoplastic reaction is characterized by sizeable stromal heterogeneity, including both small amounts of keloid-like collagen (KC) in the fibrotic stroma and thick tufts of KC circumferentially surrounding cancer nests and occupying most of the fields of view. The present study aimed to evaluate the diagnostic and prognostic significance of KC histophenotyping with a quantitative visual assessment of its presence in the stroma of the invasive margin of TNM (The "tumor-node-metastasis" classification) stage II/III colorectal cancer (CRC).

Methods and results: 175 resected tumors from patients with TNM stage II/III CRC were examined. Keloid-like collagen was assessed according to Ueno H. criteria. KC was assessed at the primary tumor invasive margin using Hematoxylin & Eosin and Masson's trichrome staining. The cut-off point for KC was examined using "the best cutoff approach by log-rank test." Using a cutoff point of 30%, we histologically divided fibrous stroma in the invasive area into two groups: "type A"-KC ≤ 0.3 and "type B"-KC>0.3. Type A stroma was observed in 48% of patients, type B-in 52%. The association between collagen amount and 5-year recurrence-free survival (5-RFS) was assessed using Cox regression analysis. Kaplan-Meier analysis and log-rank tests were used to assess the significance of survival analysis. Analysis of categorical variables showed that increased KC in CRC stroma predicted adverse outcomes for 5-RFS (hazard ratio [HR] = 3.143, 95%, confidence interval [CI] = 1.643-6.012, p = 0.001). Moreover, in Kaplan-Meier analysis, the log-rank test showed that type B exhibited worse 5-RFS than type A (p = 0.000).

Conclusion: KC is an independent predictor of 5-year overall and RFS in patients with TNM stage II/III CRC treated with surgery, with worse survival rates when the amount of KC increases by >30%.

Abstract Image

Abstract Image

大肠癌细胞外基质中瘢痕样胶原重塑模式的诊断和预后意义。
背景:脱鳞反应被认为是结直肠癌的一个有希望的预后参数。然而,中间脱鳞反应的特点是基质异质性较大,包括纤维化基质中的少量瘢痕样胶原(KC)和环绕癌巢并占据大部分视野的厚簇KC。本研究旨在评估 KC 组织分型在 TNM("肿瘤-结节-转移 "分类)II/III 期结直肠癌(CRC)浸润边缘基质中的定量视觉评估的诊断和预后意义:对175例TNM II/III期结直肠癌患者切除的肿瘤进行了检查。根据 Ueno H. 标准对瘢痕样胶原进行评估。使用苏木精和伊红以及马森三色染色法评估原发肿瘤浸润边缘的 KC。采用 "对数秩检验最佳截断点法 "对 KC 的截断点进行了研究。以 30% 为临界点,我们从组织学角度将浸润区的纤维基质分为两组:"A 型"--KC ≤ 0.3 和 "B 型"--KC>0.3。48%的患者出现了A型基质,52%的患者出现了B型基质。采用 Cox 回归分析评估了胶原蛋白量与 5 年无复发生存率(5-RFS)之间的关系。卡普兰-梅耶尔分析和对数秩检验用于评估生存分析的显著性。分类变量分析表明,CRC基质中KC的增加预示着5-RFS的不良结果(危险比[HR] = 3.143,95%,置信区间[CI] = 1.643-6.012,P = 0.001)。此外,在 Kaplan-Meier 分析中,对数秩检验显示 B 型患者的 5-RFS 比 A 型患者差(P = 0.000):结论:对于接受手术治疗的 TNM II/III 期 CRC 患者,KC 是 5 年总生存期和 RFS 的独立预测因子,当 KC 量增加 >30% 时,患者的生存率会更差。
本文章由计算机程序翻译,如有差异,请以英文原文为准。
求助全文
约1分钟内获得全文 求助全文
来源期刊
CiteScore
6.30
自引率
0.00%
发文量
134
审稿时长
4-8 weeks
期刊介绍: Pathology & Oncology Research (POR) is an interdisciplinary Journal at the interface of pathology and oncology including the preclinical and translational research, diagnostics and therapy. Furthermore, POR is an international forum for the rapid communication of reviews, original research, critical and topical reports with excellence and novelty. Published quarterly, POR is dedicated to keeping scientists informed of developments on the selected biomedical fields bridging the gap between basic research and clinical medicine. It is a special aim for POR to promote pathological and oncological publishing activity of colleagues in the Central and East European region. The journal will be of interest to pathologists, and a broad range of experimental and clinical oncologists, and related experts. POR is supported by an acknowledged international advisory board and the Arányi Fundation for modern pathology.
×
引用
GB/T 7714-2015
复制
MLA
复制
APA
复制
导出至
BibTeX EndNote RefMan NoteFirst NoteExpress
×
提示
您的信息不完整,为了账户安全,请先补充。
现在去补充
×
提示
您因"违规操作"
具体请查看互助需知
我知道了
×
提示
确定
请完成安全验证×
copy
已复制链接
快去分享给好友吧!
我知道了
右上角分享
点击右上角分享
0
联系我们:info@booksci.cn Book学术提供免费学术资源搜索服务,方便国内外学者检索中英文文献。致力于提供最便捷和优质的服务体验。 Copyright © 2023 布克学术 All rights reserved.
京ICP备2023020795号-1
ghs 京公网安备 11010802042870号
Book学术文献互助
Book学术文献互助群
群 号:604180095
Book学术官方微信