Severity of hyperechoic pancreas on preoperative ultrasonography: high potential as a clinically useful predictor of a postoperative pancreatic fistula.

IF 2.5 3区 医学 Q2 RADIOLOGY, NUCLEAR MEDICINE & MEDICAL IMAGING
Ultrasonography Pub Date : 2024-07-01 Epub Date: 2024-05-29 DOI:10.14366/usg.24046
Jung Joo Hong, Hyun Jeong Park, Eun Sun Lee, Min Ju Kim
{"title":"Severity of hyperechoic pancreas on preoperative ultrasonography: high potential as a clinically useful predictor of a postoperative pancreatic fistula.","authors":"Jung Joo Hong, Hyun Jeong Park, Eun Sun Lee, Min Ju Kim","doi":"10.14366/usg.24046","DOIUrl":null,"url":null,"abstract":"<p><strong>Purpose: </strong>This study aimed to evaluate the effectiveness of using the severity of hyperechoic pancreas (HP) observed on preoperative ultrasonography (US) as a predictor of clinically relevant postoperative pancreatic fistula (CR-POPF).</p><p><strong>Methods: </strong>A retrospective study was conducted with 94 patients who underwent pancreatectomy between April 2006 and March 2021. The severity of HP on US was classified into two categories (normal to mild vs. moderate to severe [obvious HP]). Multiple preoperative and intraoperative parameters were analyzed to predict CR-POPF.</p><p><strong>Results: </strong>Out of the 94 patients, CR-POPF occurred in 21 (22%) patients, and obvious HP was observed in 30 (32%). Univariate analysis revealed that moderate to severe HP (obvious HP) was significantly associated with an increased incidence of CR-POPF (P&lt;0.001). Factors such as the absence of pancreatitis, a small main pancreatic duct (&lt;3 mm), intraoperative soft pancreas, increased body mass index, and lower pancreatic attenuation and attenuation index were also associated with CR-POPF (all P&lt;0.05). Multivariate analysis showed that obvious HP and soft pancreatic texture were independent predictors of CR-POPF, with odds ratios of 11.53 (P=0.001) and 14.12 (P=0.003), respectively. The combination of obvious HP and soft pancreatic texture provided the most accurate prediction for CR-POPF.</p><p><strong>Conclusion: </strong>The severity of HP, as observed on preoperative US, was significantly associated with CR-POPF. Severe HP may serve as a clinically useful predictor of POPF, especially when evaluated alongside the intraoperative pancreatic texture.</p>","PeriodicalId":54227,"journal":{"name":"Ultrasonography","volume":" ","pages":"272-283"},"PeriodicalIF":2.5000,"publicationDate":"2024-07-01","publicationTypes":"Journal Article","fieldsOfStudy":null,"isOpenAccess":false,"openAccessPdf":"https://www.ncbi.nlm.nih.gov/pmc/articles/PMC11222128/pdf/","citationCount":"0","resultStr":null,"platform":"Semanticscholar","paperid":null,"PeriodicalName":"Ultrasonography","FirstCategoryId":"3","ListUrlMain":"https://doi.org/10.14366/usg.24046","RegionNum":3,"RegionCategory":"医学","ArticlePicture":[],"TitleCN":null,"AbstractTextCN":null,"PMCID":null,"EPubDate":"2024/5/29 0:00:00","PubModel":"Epub","JCR":"Q2","JCRName":"RADIOLOGY, NUCLEAR MEDICINE & MEDICAL IMAGING","Score":null,"Total":0}
引用次数: 0

Abstract

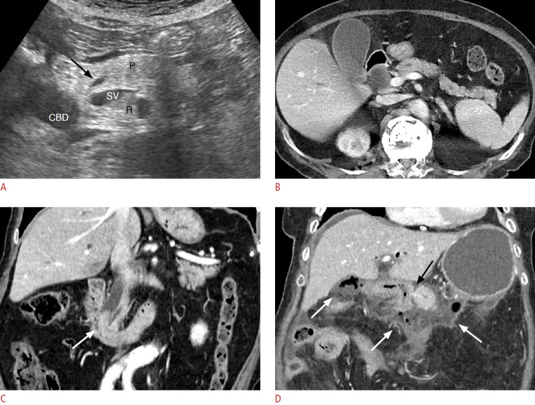
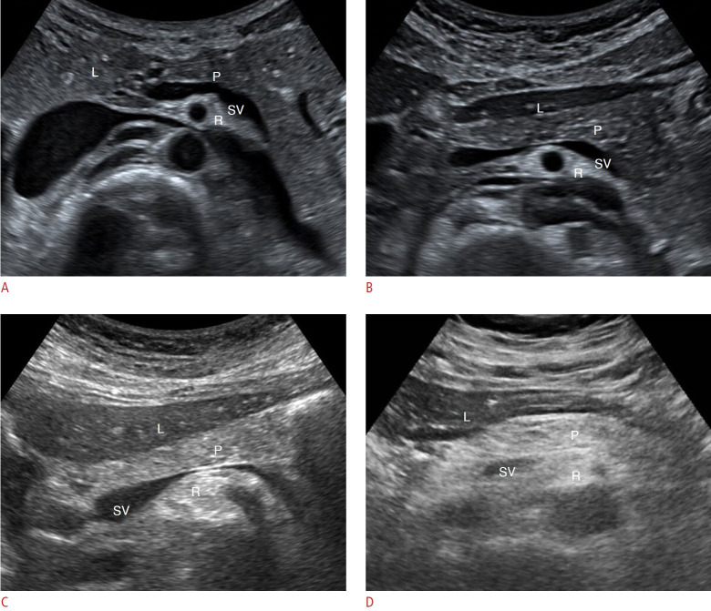
Purpose: This study aimed to evaluate the effectiveness of using the severity of hyperechoic pancreas (HP) observed on preoperative ultrasonography (US) as a predictor of clinically relevant postoperative pancreatic fistula (CR-POPF).

Methods: A retrospective study was conducted with 94 patients who underwent pancreatectomy between April 2006 and March 2021. The severity of HP on US was classified into two categories (normal to mild vs. moderate to severe [obvious HP]). Multiple preoperative and intraoperative parameters were analyzed to predict CR-POPF.

Results: Out of the 94 patients, CR-POPF occurred in 21 (22%) patients, and obvious HP was observed in 30 (32%). Univariate analysis revealed that moderate to severe HP (obvious HP) was significantly associated with an increased incidence of CR-POPF (P<0.001). Factors such as the absence of pancreatitis, a small main pancreatic duct (<3 mm), intraoperative soft pancreas, increased body mass index, and lower pancreatic attenuation and attenuation index were also associated with CR-POPF (all P<0.05). Multivariate analysis showed that obvious HP and soft pancreatic texture were independent predictors of CR-POPF, with odds ratios of 11.53 (P=0.001) and 14.12 (P=0.003), respectively. The combination of obvious HP and soft pancreatic texture provided the most accurate prediction for CR-POPF.

Conclusion: The severity of HP, as observed on preoperative US, was significantly associated with CR-POPF. Severe HP may serve as a clinically useful predictor of POPF, especially when evaluated alongside the intraoperative pancreatic texture.

Abstract Image

Abstract Image

Abstract Image

术前超声波检查中胰腺高回声的严重程度:作为术后胰瘘临床有用预测指标的巨大潜力。
目的:本研究旨在评估使用术前超声检查(US)观察到的胰腺高回声(HP)严重程度作为术后胰瘘(CR-POPF)临床相关性预测指标的有效性:方法:对2006年4月至2021年3月期间接受胰腺切除术的94名患者进行了回顾性研究。根据胰腺造影(US)显示的胰腺瘘严重程度分为两类(正常至轻度与中度至重度[明显胰腺瘘])。对多种术前和术中参数进行分析,以预测 CR-POPF:结果:在 94 例患者中,21 例(22%)出现 CR-POPF,30 例(32%)观察到明显的 HP。单变量分析显示,中重度HP(明显HP)与CR-POPF发生率增加显著相关(P<0.001)。无胰腺炎、主胰管较小(<3 mm)、术中软胰腺、体重指数增加、胰腺衰减和衰减指数较低等因素也与 CR-POPF 相关(均为 P<0.05)。多变量分析显示,明显的HP和软胰腺纹理是CR-POPF的独立预测因素,其几率分别为11.53(P=0.001)和14.12(P=0.003)。明显的HP和软胰腺质地的组合对CR-POPF的预测最为准确:结论:术前 US 观察到的 HP 严重程度与 CR-POPF 显著相关。结论:术前 US 观察到的 HP 严重程度与 CR-POPF 明显相关。严重 HP 可作为 POPF 的临床有用预测指标,尤其是与术中胰腺质地一起评估时。
本文章由计算机程序翻译,如有差异,请以英文原文为准。
求助全文
约1分钟内获得全文 求助全文
来源期刊
Ultrasonography
Ultrasonography Medicine-Radiology, Nuclear Medicine and Imaging
CiteScore
5.10
自引率
6.50%
发文量
78
审稿时长
15 weeks
期刊介绍: Ultrasonography, the official English-language journal of the Korean Society of Ultrasound in Medicine (KSUM), is an international peer-reviewed academic journal dedicated to practice, research, technology, and education dealing with medical ultrasound. It is renamed from the Journal of Korean Society of Ultrasound in Medicine in January 2014, and published four times per year: January 1, April 1, July 1, and October 1. Original articles, technical notes, topical reviews, perspectives, pictorial essays, and timely editorial materials are published in Ultrasonography covering state-of-the-art content. Ultrasonography aims to provide updated information on new diagnostic concepts and technical developments, including experimental animal studies using new equipment in addition to well-designed reviews of contemporary issues in patient care. Along with running KSUM Open, the annual international congress of KSUM, Ultrasonography also serves as a medium for cooperation among physicians and specialists from around the world who are focusing on various ultrasound technology and disease problems and relevant basic science.
×
引用
GB/T 7714-2015
复制
MLA
复制
APA
复制
导出至
BibTeX EndNote RefMan NoteFirst NoteExpress
×
提示
您的信息不完整,为了账户安全,请先补充。
现在去补充
×
提示
您因"违规操作"
具体请查看互助需知
我知道了
×
提示
确定
请完成安全验证×
copy
已复制链接
快去分享给好友吧!
我知道了
右上角分享
点击右上角分享
0
联系我们:info@booksci.cn Book学术提供免费学术资源搜索服务,方便国内外学者检索中英文文献。致力于提供最便捷和优质的服务体验。 Copyright © 2023 布克学术 All rights reserved.
京ICP备2023020795号-1
ghs 京公网安备 11010802042870号
Book学术文献互助
Book学术文献互助群
群 号:604180095
Book学术官方微信