Metaplastic breast cancer masquerading as a recurrent haematoma: A case report.

Breast disease Pub Date : 2024-01-01 DOI:10.3233/BD-240006
Nicholas Chen Yi Png, Winfred Xi Tai Goh, Clement Wenhao Chan
{"title":"Metaplastic breast cancer masquerading as a recurrent haematoma: A case report.","authors":"Nicholas Chen Yi Png, Winfred Xi Tai Goh, Clement Wenhao Chan","doi":"10.3233/BD-240006","DOIUrl":null,"url":null,"abstract":"<p><p>An 85-year-old Chinese lady presented with a 5-day history of a painless left breast lump. There was no fever, nipple discharge, or history of trauma. She had a past medical history of atrial fibrillation that was managed with an oral anticoagulant. Mammography demonstrated a dense mass in the upper outer quadrant of the left breast. Ultrasound showed an irregular, heterogeneous 4.7 cm lesion containing debris and cystic spaces with raised peripheral vascularity at the 2 o'clock position, 3 cm from nipple. No internal vascularity was detected. This was managed as a haematoma and rivaroxaban was withheld. Follow-up imaging 3-weeks later showed persistence of the lesion. Bedside needle aspiration yielded haemoserous fluid with immediate reduction in size of the lesion. However, 2 weeks after aspiration, there was recurrence of the 'haematoma'. Multidisciplinary review of the clinical history, examination and imaging was sought, and biopsy of the irregularly thickened areas with vascularity along the periphery of the lesion was recommended. Vacuum-assisted biopsy was performed, and histology returned as metaplastic carcinoma. A recurring 'haematoma' should always prompt a search for a secondary cause, with features such as irregular thickened walls and papillary/nodular components requiring further evaluation with biopsy for histopathological correlation.</p>","PeriodicalId":9224,"journal":{"name":"Breast disease","volume":"43 1","pages":"187-191"},"PeriodicalIF":0.0000,"publicationDate":"2024-01-01","publicationTypes":"Journal Article","fieldsOfStudy":null,"isOpenAccess":false,"openAccessPdf":"https://www.ncbi.nlm.nih.gov/pmc/articles/PMC11191430/pdf/","citationCount":"0","resultStr":null,"platform":"Semanticscholar","paperid":null,"PeriodicalName":"Breast disease","FirstCategoryId":"1085","ListUrlMain":"https://doi.org/10.3233/BD-240006","RegionNum":0,"RegionCategory":null,"ArticlePicture":[],"TitleCN":null,"AbstractTextCN":null,"PMCID":null,"EPubDate":"","PubModel":"","JCR":"","JCRName":"","Score":null,"Total":0}
引用次数: 0

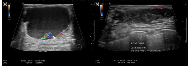
Abstract

An 85-year-old Chinese lady presented with a 5-day history of a painless left breast lump. There was no fever, nipple discharge, or history of trauma. She had a past medical history of atrial fibrillation that was managed with an oral anticoagulant. Mammography demonstrated a dense mass in the upper outer quadrant of the left breast. Ultrasound showed an irregular, heterogeneous 4.7 cm lesion containing debris and cystic spaces with raised peripheral vascularity at the 2 o'clock position, 3 cm from nipple. No internal vascularity was detected. This was managed as a haematoma and rivaroxaban was withheld. Follow-up imaging 3-weeks later showed persistence of the lesion. Bedside needle aspiration yielded haemoserous fluid with immediate reduction in size of the lesion. However, 2 weeks after aspiration, there was recurrence of the 'haematoma'. Multidisciplinary review of the clinical history, examination and imaging was sought, and biopsy of the irregularly thickened areas with vascularity along the periphery of the lesion was recommended. Vacuum-assisted biopsy was performed, and histology returned as metaplastic carcinoma. A recurring 'haematoma' should always prompt a search for a secondary cause, with features such as irregular thickened walls and papillary/nodular components requiring further evaluation with biopsy for histopathological correlation.

Abstract Image

Abstract Image

Abstract Image

伪装成复发性血肿的移行细胞乳腺癌:病例报告。
一位 85 岁的中国女士因左侧乳房无痛性肿块就诊 5 天。她没有发烧、乳头溢液或外伤史。她既往有心房颤动病史,曾口服抗凝剂治疗。乳房 X 光检查显示,左侧乳房外上象限有一个致密肿块。超声波检查显示,在距离乳头3厘米处的2点钟位置,有一个4.7厘米的不规则异型病灶,内含碎屑和囊性空隙,周边血管隆起。未发现内部血管。该病灶被当作血肿处理,利伐沙班被暂停使用。三周后的随访造影显示病变仍然存在。床边针吸术抽出了血性液体,病变面积立即缩小。然而,抽吸两周后,"血肿 "再次出现。医生对患者的临床病史、检查和影像学资料进行了多学科复查,并建议对病变周边有血管的不规则增厚区域进行活检。进行了真空辅助活检,组织学检查结果为移行细胞癌。反复出现的 "血肿 "应及时寻找继发性病因,其特征包括不规则的增厚壁和乳头状/结节状成分,需要通过活检进行组织病理学相关性的进一步评估。
本文章由计算机程序翻译,如有差异,请以英文原文为准。
求助全文
约1分钟内获得全文 求助全文
来源期刊
Breast disease
Breast disease Medicine-Oncology
CiteScore
1.80
自引率
0.00%
发文量
59
期刊介绍: The recent expansion of work in the field of breast cancer inevitably will hasten discoveries that will have impact on patient outcome. The breadth of this research that spans basic science, clinical medicine, epidemiology, and public policy poses difficulties for investigators. Not only is it necessary to be facile in comprehending ideas from many disciplines, but also important to understand the public implications of these discoveries. Breast Disease publishes review issues devoted to an in-depth analysis of the scientific and public implications of recent research on a specific problem in breast cancer. Thus, the reviews will not only discuss recent discoveries but will also reflect on their impact in breast cancer research or clinical management.
×
引用
GB/T 7714-2015
复制
MLA
复制
APA
复制
导出至
BibTeX EndNote RefMan NoteFirst NoteExpress
×
提示
您的信息不完整,为了账户安全,请先补充。
现在去补充
×
提示
您因"违规操作"
具体请查看互助需知
我知道了
×
提示
确定
请完成安全验证×
copy
已复制链接
快去分享给好友吧!
我知道了
右上角分享
点击右上角分享
0
联系我们:info@booksci.cn Book学术提供免费学术资源搜索服务,方便国内外学者检索中英文文献。致力于提供最便捷和优质的服务体验。 Copyright © 2023 布克学术 All rights reserved.
京ICP备2023020795号-1
ghs 京公网安备 11010802042870号
Book学术文献互助
Book学术文献互助群
群 号:604180095
Book学术官方微信