Gastric epithelial neoplasm of fundic-gland mucosa lineage: representative of the low atypia differentiated gastric tumor and Ki67 may help in their identification.

IF 2.3 4区 医学 Q3 ONCOLOGY
Pathology & Oncology Research Pub Date : 2024-05-30 eCollection Date: 2024-01-01 DOI:10.3389/pore.2024.1611734
Houqiang Li, Lanqing Zheng, Guodong Zhong, Xunbin Yu, Xia Zhang, Linying Chen, Xin Chen
{"title":"Gastric epithelial neoplasm of fundic-gland mucosa lineage: representative of the low atypia differentiated gastric tumor and Ki67 may help in their identification.","authors":"Houqiang Li, Lanqing Zheng, Guodong Zhong, Xunbin Yu, Xia Zhang, Linying Chen, Xin Chen","doi":"10.3389/pore.2024.1611734","DOIUrl":null,"url":null,"abstract":"<p><strong>Background: </strong>Gastric epithelial neoplasm of the fundic-gland mucosa lineages (GEN-FGMLs) are rare forms of gastric tumors that encompass oxyntic gland adenoma (OGA), gastric adenocarcinoma of the fundic-gland type (GA-FG), and gastric adenocarcinoma of the fundic-gland mucosa type (GA-FGM). There is no consensus on the cause, classification, and clinicopathological features of GEN-FGMLs, and misdiagnosis is common because of similarities in symptoms.</p><p><strong>Methods: </strong>37 cases diagnosed with GEN-FGMLs were included in this study. H&E-stained slides were reviewed and clinicopathological parameters were recorded. Immunohistochemical staining was conducted for MUC2, MUC5AC, MUC6, CD10, CD56, synaptophysin, chromograninA, p53, Ki67, pepsinogen-I, H<sup>+</sup>/K<sup>+</sup>-ATPase and Desmin.</p><p><strong>Results: </strong>The patients' ages ranged from 42 to 79 years, with a median age of 60. 17 were male and 20 were female. Morphologically, 19 OGAs, 16 GA-FGs, and two GA-FGMs were identified. Histopathological similarities exist between OGA, GA-FG, and GA-FGM. The tumors demonstrated well-formed glands, expanding with dense growth patterns comprising pale, blue-grey columnar cells with mild nuclear atypia. These cells resembled fundic gland cells. None of the OGA invaded the submucosal layer. The normal gastric pit epithelium covered the entire surface of the OGA and GA-FG, but the dysplasia pit epithelium covered the GA-FGM. Non-atrophic gastritis was observed in more than half of the background mucosa. All cases were diffusely positive for MUC6 and pepsinogen-I on immunohistochemistry. H<sup>+</sup>/K<sup>+</sup>-ATPase staining was negative or showed a scattered pattern in most cases. MUC5AC was expressed on the surface of GA-FGMs. p53 was focally expressed and the Ki67 index was low (1%-20%). Compared with OGA, GA-FG and GA-FGM were more prominent in the macroscopic view (<i>p</i> < 0.05) and had larger sizes (<i>p</i> < 0.0001). Additionally, GA-FG and GA-FGM exhibited higher Ki67 indices than OGA (<i>p</i> < 0.0001). Specimens with Ki-67 proliferation indices >2.5% and size >4.5 mm are more likely to be diagnosed with GA-FG and GA-FGM than OGA.</p><p><strong>Conclusion: </strong>GEN-FGMLs are group of well-differentiated gastric tumors with favourable biological behaviours, low cellular atypia, and low proliferation. Immunohistochemistry is critical for confirming diagnosis. Compared with OGA, GA-FG and GA-FGM have larger sizes and higher Ki67 proliferation indices, indicating that they play a critical role in the identification of GEN-FGML. Pathologists and endoscopists should be cautious to prevent misdiagnosis and overtreatment, especially in biopsy specimens.</p>","PeriodicalId":19981,"journal":{"name":"Pathology & Oncology Research","volume":"30 ","pages":"1611734"},"PeriodicalIF":2.3000,"publicationDate":"2024-05-30","publicationTypes":"Journal Article","fieldsOfStudy":null,"isOpenAccess":false,"openAccessPdf":"https://www.ncbi.nlm.nih.gov/pmc/articles/PMC11169639/pdf/","citationCount":"0","resultStr":null,"platform":"Semanticscholar","paperid":null,"PeriodicalName":"Pathology & Oncology Research","FirstCategoryId":"3","ListUrlMain":"https://doi.org/10.3389/pore.2024.1611734","RegionNum":4,"RegionCategory":"医学","ArticlePicture":[],"TitleCN":null,"AbstractTextCN":null,"PMCID":null,"EPubDate":"2024/1/1 0:00:00","PubModel":"eCollection","JCR":"Q3","JCRName":"ONCOLOGY","Score":null,"Total":0}
引用次数: 0

Abstract

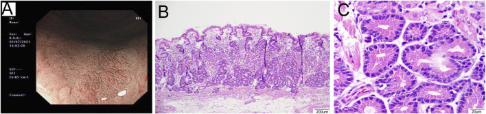
Background: Gastric epithelial neoplasm of the fundic-gland mucosa lineages (GEN-FGMLs) are rare forms of gastric tumors that encompass oxyntic gland adenoma (OGA), gastric adenocarcinoma of the fundic-gland type (GA-FG), and gastric adenocarcinoma of the fundic-gland mucosa type (GA-FGM). There is no consensus on the cause, classification, and clinicopathological features of GEN-FGMLs, and misdiagnosis is common because of similarities in symptoms.

Methods: 37 cases diagnosed with GEN-FGMLs were included in this study. H&E-stained slides were reviewed and clinicopathological parameters were recorded. Immunohistochemical staining was conducted for MUC2, MUC5AC, MUC6, CD10, CD56, synaptophysin, chromograninA, p53, Ki67, pepsinogen-I, H+/K+-ATPase and Desmin.

Results: The patients' ages ranged from 42 to 79 years, with a median age of 60. 17 were male and 20 were female. Morphologically, 19 OGAs, 16 GA-FGs, and two GA-FGMs were identified. Histopathological similarities exist between OGA, GA-FG, and GA-FGM. The tumors demonstrated well-formed glands, expanding with dense growth patterns comprising pale, blue-grey columnar cells with mild nuclear atypia. These cells resembled fundic gland cells. None of the OGA invaded the submucosal layer. The normal gastric pit epithelium covered the entire surface of the OGA and GA-FG, but the dysplasia pit epithelium covered the GA-FGM. Non-atrophic gastritis was observed in more than half of the background mucosa. All cases were diffusely positive for MUC6 and pepsinogen-I on immunohistochemistry. H+/K+-ATPase staining was negative or showed a scattered pattern in most cases. MUC5AC was expressed on the surface of GA-FGMs. p53 was focally expressed and the Ki67 index was low (1%-20%). Compared with OGA, GA-FG and GA-FGM were more prominent in the macroscopic view (p < 0.05) and had larger sizes (p < 0.0001). Additionally, GA-FG and GA-FGM exhibited higher Ki67 indices than OGA (p < 0.0001). Specimens with Ki-67 proliferation indices >2.5% and size >4.5 mm are more likely to be diagnosed with GA-FG and GA-FGM than OGA.

Conclusion: GEN-FGMLs are group of well-differentiated gastric tumors with favourable biological behaviours, low cellular atypia, and low proliferation. Immunohistochemistry is critical for confirming diagnosis. Compared with OGA, GA-FG and GA-FGM have larger sizes and higher Ki67 proliferation indices, indicating that they play a critical role in the identification of GEN-FGML. Pathologists and endoscopists should be cautious to prevent misdiagnosis and overtreatment, especially in biopsy specimens.

Abstract Image

Abstract Image

Abstract Image

胃底-胃黏膜系的胃上皮肿瘤:低不典型性分化型胃肿瘤的代表,Ki67 可能有助于鉴别。
背景:胃底腺黏膜上皮肿瘤(GEN-FGMLs)是一种罕见的胃肿瘤,包括胃底腺腺瘤(OGA)、胃底腺型胃腺癌(GA-FG)和胃底腺黏膜型胃腺癌(GA-FGM)。关于 GEN-FGMLs 的病因、分类和临床病理特征尚未达成共识,而且由于症状相似,误诊也很常见。方法:本研究共纳入 37 例确诊为 GEN-FGMLs 的病例,对 H&E 染色切片进行复查,并记录临床病理参数。对 MUC2、MUC5AC、MUC6、CD10、CD56、突触素、chromograninA、p53、Ki67、胃蛋白酶原-I、H+/K+-ATPase 和 Desmin 进行免疫组化染色:患者年龄从 42 岁到 79 岁不等,中位年龄为 60 岁。男性 17 人,女性 20 人。从形态上看,共发现 19 例 OGA、16 例 GA-FG 和 2 例 GA-FGM。OGA、GA-FG 和 GA-FGM 在组织病理学上有相似之处。这些肿瘤表现为形态良好的腺体,以密集的生长模式扩张,由浅蓝灰色柱状细胞组成,核轻度不典型。这些细胞类似眼底腺细胞。没有一个 OGA 肿瘤侵入粘膜下层。正常的胃凹陷上皮覆盖了OGA和GA-FG的整个表面,但发育不良的凹陷上皮覆盖了GA-FGM。半数以上的背景粘膜出现非萎缩性胃炎。免疫组化结果显示,所有病例的MUC6和胃蛋白酶原-I均呈弥漫阳性。大多数病例的H+/K+-ATP酶染色为阴性或呈散在模式。GA-FGM 表面表达 MUC5AC,p53 呈局灶性表达,Ki67 指数较低(1%-20%)。与OGA相比,GA-FG和GA-FGM在宏观上更突出(p < 0.05),体积更大(p < 0.0001)。此外,GA-FG 和 GA-FGM 的 Ki67 指数高于 OGA(P < 0.0001)。与OGA相比,Ki-67增殖指数大于2.5%、大小大于4.5毫米的标本更有可能被诊断为GA-FG和GA-FGM:结论:GEN-FGMLs是一组分化良好的胃肿瘤,具有良好的生物学行为、低细胞不典型性和低增殖性。免疫组化是确诊的关键。与OGA相比,GA-FG和GA-FGM的体积更大,Ki67增殖指数更高,这表明它们在GEN-FGML的鉴别中起着关键作用。病理学家和内镜医师应谨慎从事,防止误诊和过度治疗,尤其是活检标本。
本文章由计算机程序翻译,如有差异,请以英文原文为准。
求助全文
约1分钟内获得全文 求助全文
来源期刊
CiteScore
6.30
自引率
0.00%
发文量
134
审稿时长
4-8 weeks
期刊介绍: Pathology & Oncology Research (POR) is an interdisciplinary Journal at the interface of pathology and oncology including the preclinical and translational research, diagnostics and therapy. Furthermore, POR is an international forum for the rapid communication of reviews, original research, critical and topical reports with excellence and novelty. Published quarterly, POR is dedicated to keeping scientists informed of developments on the selected biomedical fields bridging the gap between basic research and clinical medicine. It is a special aim for POR to promote pathological and oncological publishing activity of colleagues in the Central and East European region. The journal will be of interest to pathologists, and a broad range of experimental and clinical oncologists, and related experts. POR is supported by an acknowledged international advisory board and the Arányi Fundation for modern pathology.
×
引用
GB/T 7714-2015
复制
MLA
复制
APA
复制
导出至
BibTeX EndNote RefMan NoteFirst NoteExpress
×
提示
您的信息不完整,为了账户安全,请先补充。
现在去补充
×
提示
您因"违规操作"
具体请查看互助需知
我知道了
×
提示
确定
请完成安全验证×
copy
已复制链接
快去分享给好友吧!
我知道了
右上角分享
点击右上角分享
0
联系我们:info@booksci.cn Book学术提供免费学术资源搜索服务,方便国内外学者检索中英文文献。致力于提供最便捷和优质的服务体验。 Copyright © 2023 布克学术 All rights reserved.
京ICP备2023020795号-1
ghs 京公网安备 11010802042870号
Book学术文献互助
Book学术文献互助群
群 号:604180095
Book学术官方微信