Tuberculosis - The master of disguise: A case of disseminated tuberculosis masquerading as metastatic cancer.

Ezgi Aysu Şahin Mavi, Muhammed Çağrı Akdemir, Ali Eren Akin, Oğuz Abdullah Uyaroğlu, Deniz Köksal
{"title":"Tuberculosis - The master of disguise: A case of disseminated tuberculosis masquerading as metastatic cancer.","authors":"Ezgi Aysu Şahin Mavi, Muhammed Çağrı Akdemir, Ali Eren Akin, Oğuz Abdullah Uyaroğlu, Deniz Köksal","doi":"10.5578/tt.202402915","DOIUrl":null,"url":null,"abstract":"<p><p>Tuberculosis (TB) is an airborne infectious disease caused by Mycobacterium tuberculosis (MTB). Although it typically affects the lungs (pulmonary TB), one-fifth of TB cases present as extrapulmonary TB. The diagnosis of extrapulmonary TB is often overlooked due to its atypical clinical and radiological manifestations. Differentiating TB from neoplastic conditions poses significant challenges. A 33-year-old female patient was admitted to the emergency clinic with shortness of breath, cough, and abdominal pain. Postero-anterior chest X-ray revealed massive pleural effusion leading to mediastinal shift. With a preliminary diagnosis of malignant pleural effusion, a pleural catheter was inserted, and the patient was referred for a positron emission tomography (PET/CT) to assess the primary site and the optimal location for a biopsy. The PET/CT revealed asymmetric soft tissue thickening on the left side of the nasopharynx, and increased fluorodeoxyglucose (FDG) uptake in the left cervical lymph nodes raised suspicion regarding primary nasopharyngeal cancer. Additionally, there was an increased FDG uptake observed in the mass lesion located in the right upper lobe, mediastinal lymph nodes, pleural surfaces in the left hemithorax, perihepatic areas, and peritoneum, indicating diffuse metastatic disease. Tuberculosis diagnosis was confirmed through biopsies demonstrating granulomatous inflammation in the lung and nasopharynx, along with culturing MTB from pleural effusion. Positron emission tomography played a crucial role in identifying sites of TB involvement. Despite its rarity, healthcare professionals should consider nasopharyngeal TB as a potential diagnosis when evaluating nasopharyngeal masses.</p>","PeriodicalId":519894,"journal":{"name":"Tuberkuloz ve toraks","volume":"72 2","pages":"167-172"},"PeriodicalIF":0.0000,"publicationDate":"2024-06-01","publicationTypes":"Journal Article","fieldsOfStudy":null,"isOpenAccess":false,"openAccessPdf":"https://www.ncbi.nlm.nih.gov/pmc/articles/PMC11390073/pdf/","citationCount":"0","resultStr":null,"platform":"Semanticscholar","paperid":null,"PeriodicalName":"Tuberkuloz ve toraks","FirstCategoryId":"1085","ListUrlMain":"https://doi.org/10.5578/tt.202402915","RegionNum":0,"RegionCategory":null,"ArticlePicture":[],"TitleCN":null,"AbstractTextCN":null,"PMCID":null,"EPubDate":"","PubModel":"","JCR":"","JCRName":"","Score":null,"Total":0}
引用次数: 0

Abstract

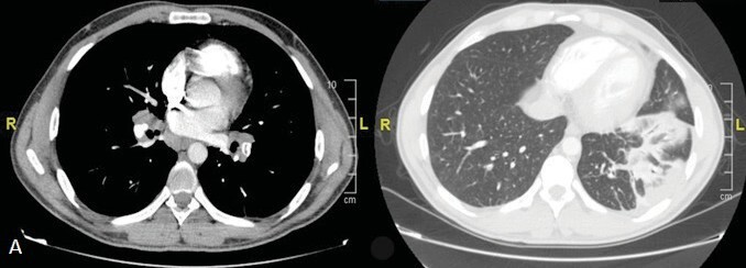
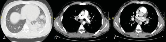
Tuberculosis (TB) is an airborne infectious disease caused by Mycobacterium tuberculosis (MTB). Although it typically affects the lungs (pulmonary TB), one-fifth of TB cases present as extrapulmonary TB. The diagnosis of extrapulmonary TB is often overlooked due to its atypical clinical and radiological manifestations. Differentiating TB from neoplastic conditions poses significant challenges. A 33-year-old female patient was admitted to the emergency clinic with shortness of breath, cough, and abdominal pain. Postero-anterior chest X-ray revealed massive pleural effusion leading to mediastinal shift. With a preliminary diagnosis of malignant pleural effusion, a pleural catheter was inserted, and the patient was referred for a positron emission tomography (PET/CT) to assess the primary site and the optimal location for a biopsy. The PET/CT revealed asymmetric soft tissue thickening on the left side of the nasopharynx, and increased fluorodeoxyglucose (FDG) uptake in the left cervical lymph nodes raised suspicion regarding primary nasopharyngeal cancer. Additionally, there was an increased FDG uptake observed in the mass lesion located in the right upper lobe, mediastinal lymph nodes, pleural surfaces in the left hemithorax, perihepatic areas, and peritoneum, indicating diffuse metastatic disease. Tuberculosis diagnosis was confirmed through biopsies demonstrating granulomatous inflammation in the lung and nasopharynx, along with culturing MTB from pleural effusion. Positron emission tomography played a crucial role in identifying sites of TB involvement. Despite its rarity, healthcare professionals should consider nasopharyngeal TB as a potential diagnosis when evaluating nasopharyngeal masses.

Abstract Image

Abstract Image

Abstract Image

结核病--伪装大师:一例伪装成转移性癌症的播散性结核病。
结核病(TB)是一种由结核分枝杆菌(MTB)引起的空气传播传染病。虽然肺结核通常会影响肺部(肺结核),但五分之一的肺结核病例表现为肺外结核。由于其临床和影像学表现不典型,肺外结核的诊断常常被忽视。将肺结核与肿瘤疾病相鉴别是一项重大挑战。一名 33 岁的女性患者因呼吸急促、咳嗽和腹痛被送入急诊室。后前胸部 X 光片显示大量胸腔积液导致纵隔移位。初步诊断为恶性胸腔积液,医生为患者插入了胸膜导管,并转诊进行正电子发射计算机断层扫描(PET/CT),以评估原发部位和活检的最佳位置。正电子发射计算机断层扫描(PET/CT)显示鼻咽左侧软组织不对称增厚,左侧颈部淋巴结的氟脱氧葡萄糖(FDG)摄取量增加,这引起了对原发性鼻咽癌的怀疑。此外,位于右上肺叶的肿块病灶、纵隔淋巴结、左半胸的胸膜表面、肝周区域和腹膜的 FDG 摄取也增高,表明存在弥漫性转移疾病。肺部和鼻咽部的活检显示有肉芽肿性炎症,胸腔积液中培养出 MTB,从而确诊为肺结核。正电子发射断层扫描在确定结核病累及部位方面发挥了重要作用。尽管鼻咽结核很少见,但医护人员在评估鼻咽肿块时应将其视为潜在诊断。
本文章由计算机程序翻译,如有差异,请以英文原文为准。
求助全文
约1分钟内获得全文 求助全文
来源期刊
自引率
0.00%
发文量
0
×
引用
GB/T 7714-2015
复制
MLA
复制
APA
复制
导出至
BibTeX EndNote RefMan NoteFirst NoteExpress
×
提示
您的信息不完整,为了账户安全,请先补充。
现在去补充
×
提示
您因"违规操作"
具体请查看互助需知
我知道了
×
提示
确定
请完成安全验证×
copy
已复制链接
快去分享给好友吧!
我知道了
右上角分享
点击右上角分享
0
联系我们:info@booksci.cn Book学术提供免费学术资源搜索服务,方便国内外学者检索中英文文献。致力于提供最便捷和优质的服务体验。 Copyright © 2023 布克学术 All rights reserved.
京ICP备2023020795号-1
ghs 京公网安备 11010802042870号
Book学术文献互助
Book学术文献互助群
群 号:604180095
Book学术官方微信