Endogenous Endophthalmitis Caused by Aspergillus lentulus in an Immunocompromised Patient with Lung Cancer

Q3 Medicine
Turkish Journal of Ophthalmology Pub Date : 2024-06-28 Epub Date: 2024-06-11 DOI:10.4274/tjo.galenos.2024.44045
Mustafa Kayabaşı, Ziya Ayhan, Banu Lebe, Ayşe Aydan Özkütük, Meltem Söylev Bajin, Arzu Nazlı, Eyüp Sabri Uçan, Aziz Karaoğlu, Ali Osman Saatci
{"title":"Endogenous Endophthalmitis Caused by <i>Aspergillus lentulus</i> in an Immunocompromised Patient with Lung Cancer","authors":"Mustafa Kayabaşı, Ziya Ayhan, Banu Lebe, Ayşe Aydan Özkütük, Meltem Söylev Bajin, Arzu Nazlı, Eyüp Sabri Uçan, Aziz Karaoğlu, Ali Osman Saatci","doi":"10.4274/tjo.galenos.2024.44045","DOIUrl":null,"url":null,"abstract":"<p><p>A 78-year-old man with a history of lung cancer, chemotherapy, radiotherapy, and coronavirus disease 2019 infection experienced visual deterioration of two-weeks’ duration in his right eye. There was multifocal, yellowish-white retinitis foci, vascular engorgement, and scattered intraretinal hemorrhages extending from posterior pole to retinal periphery in the right eye, whereas the left eye was normal. Intravitreal vancomycin, ceftazidime, clindamycin, and dexamethasone were given for endogenous endophthalmitis initially. Vitreous culture confirmed the presence of Aspergillus lentulus, and he was treated with intravitreal amphotericin-B and voriconazole injections together with systemic amphotericin-B, voriconazole, posaconazole, and micafungin therapy. During follow-up, vitreoretinal surgery was performed because of rhegmatogenous retinal detachment, and he received one additional cycle of chemotherapy due to recurrence of the cancer. Although the retina was attached, enucleation was eventually required due to painful red eye. Atypical squamous cells beneath the neurosensory retina suggesting metastasis were noted on histopathological examination. Timely ocular examination is crucial for any immunocompromised patient having ocular symptoms. High level of suspicion for a fungal etiology is a must in these patients.</p>","PeriodicalId":23373,"journal":{"name":"Turkish Journal of Ophthalmology","volume":" ","pages":"175-179"},"PeriodicalIF":0.0000,"publicationDate":"2024-06-28","publicationTypes":"Journal Article","fieldsOfStudy":null,"isOpenAccess":false,"openAccessPdf":"https://www.ncbi.nlm.nih.gov/pmc/articles/PMC11589312/pdf/","citationCount":"0","resultStr":null,"platform":"Semanticscholar","paperid":null,"PeriodicalName":"Turkish Journal of Ophthalmology","FirstCategoryId":"1085","ListUrlMain":"https://doi.org/10.4274/tjo.galenos.2024.44045","RegionNum":0,"RegionCategory":null,"ArticlePicture":[],"TitleCN":null,"AbstractTextCN":null,"PMCID":null,"EPubDate":"2024/6/11 0:00:00","PubModel":"Epub","JCR":"Q3","JCRName":"Medicine","Score":null,"Total":0}
引用次数: 0

Abstract

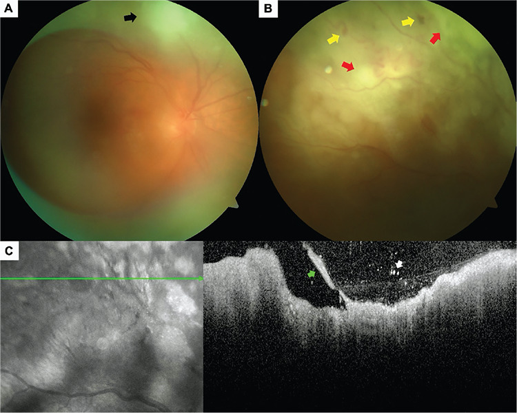
A 78-year-old man with a history of lung cancer, chemotherapy, radiotherapy, and coronavirus disease 2019 infection experienced visual deterioration of two-weeks’ duration in his right eye. There was multifocal, yellowish-white retinitis foci, vascular engorgement, and scattered intraretinal hemorrhages extending from posterior pole to retinal periphery in the right eye, whereas the left eye was normal. Intravitreal vancomycin, ceftazidime, clindamycin, and dexamethasone were given for endogenous endophthalmitis initially. Vitreous culture confirmed the presence of Aspergillus lentulus, and he was treated with intravitreal amphotericin-B and voriconazole injections together with systemic amphotericin-B, voriconazole, posaconazole, and micafungin therapy. During follow-up, vitreoretinal surgery was performed because of rhegmatogenous retinal detachment, and he received one additional cycle of chemotherapy due to recurrence of the cancer. Although the retina was attached, enucleation was eventually required due to painful red eye. Atypical squamous cells beneath the neurosensory retina suggesting metastasis were noted on histopathological examination. Timely ocular examination is crucial for any immunocompromised patient having ocular symptoms. High level of suspicion for a fungal etiology is a must in these patients.

Abstract Image

Abstract Image

Abstract Image

一名免疫力低下的肺癌患者因曲霉菌引起的内源性眼内炎。
一名 78 岁的男性患者曾患肺癌、化疗、放疗和冠状病毒病 2019 年感染,他的右眼视力恶化持续了两周。右眼出现多灶性黄白色视网膜炎灶、血管充血和散在视网膜内出血,从后极延伸至视网膜周边,而左眼正常。最初,医生在玻璃体内注射了万古霉素、头孢他啶、克林霉素和地塞米松,以治疗内源性眼内炎。他接受了玻璃体内注射两性霉素-B 和伏立康唑治疗,同时还接受了两性霉素-B、伏立康唑、泊沙康唑和米卡芬治疗。在随访期间,由于流变性视网膜脱离,他接受了玻璃体视网膜手术,由于癌症复发,他又接受了一个周期的化疗。虽然视网膜还在,但由于红眼疼痛,最终需要进行去核手术。组织病理学检查发现,神经感觉视网膜下有非典型鳞状细胞,提示有转移。对于有眼部症状的免疫力低下患者来说,及时进行眼部检查至关重要。这些患者必须高度怀疑真菌病因。
本文章由计算机程序翻译,如有差异,请以英文原文为准。
求助全文
约1分钟内获得全文 求助全文
来源期刊
Turkish Journal of Ophthalmology
Turkish Journal of Ophthalmology Medicine-Ophthalmology
CiteScore
2.20
自引率
0.00%
发文量
0
期刊介绍: The Turkish Journal of Ophthalmology (TJO) is the only scientific periodical publication of the Turkish Ophthalmological Association and has been published since January 1929. In its early years, the journal was published in Turkish and French. Although there were temporary interruptions in the publication of the journal due to various challenges, the Turkish Journal of Ophthalmology has been published continually from 1971 to the present. The target audience includes specialists and physicians in training in ophthalmology in all relevant disciplines.
×
引用
GB/T 7714-2015
复制
MLA
复制
APA
复制
导出至
BibTeX EndNote RefMan NoteFirst NoteExpress
×
提示
您的信息不完整,为了账户安全,请先补充。
现在去补充
×
提示
您因"违规操作"
具体请查看互助需知
我知道了
×
提示
确定
请完成安全验证×
copy
已复制链接
快去分享给好友吧!
我知道了
右上角分享
点击右上角分享
0
联系我们:info@booksci.cn Book学术提供免费学术资源搜索服务,方便国内外学者检索中英文文献。致力于提供最便捷和优质的服务体验。 Copyright © 2023 布克学术 All rights reserved.
京ICP备2023020795号-1
ghs 京公网安备 11010802042870号
Book学术文献互助
Book学术文献互助群
群 号:604180095
Book学术官方微信