Rapid and Remarkable Response to Rituximab in a Case of Lupus Enteritis: Challenging the Norm.

Q4 Medicine
Mediterranean Journal of Rheumatology Pub Date : 2024-06-08 eCollection Date: 2024-03-01 DOI:10.31138/mjr.080624.rar
Albader Hamza Hussein, Bayan Lafi Altamimi
{"title":"Rapid and Remarkable Response to Rituximab in a Case of Lupus Enteritis: Challenging the Norm.","authors":"Albader Hamza Hussein, Bayan Lafi Altamimi","doi":"10.31138/mjr.080624.rar","DOIUrl":null,"url":null,"abstract":"<p><p>Lupus enteritis is a rare gastrointestinal complication of systemic lupus erythematosus (SLE) associated with significant morbidity and mortality. Rituximab, a monoclonal antibody targeting CD20-positive B cells, has shown promise in refractory SLE cases. We present a case of a 45-year-old female with SLE who developed lupus enteritis and experienced an unusually rapid and remarkable response to Rituximab. The patient presented with severe abdominal pain and distension. Within two days of Rituximab treatment, the patient's abdominal pain, distension, and associated complications resolved completely. This exceptional response challenges the typical timeline of Rituximab efficacy in SLE and highlights the need for further investigation into the factors influencing treatment response. Understanding the mechanisms underlying such rapid improvement may provide insights into SLE pathogenesis and guide therapeutic strategies for optimal outcomes.</p>","PeriodicalId":32816,"journal":{"name":"Mediterranean Journal of Rheumatology","volume":"35 1","pages":"187-191"},"PeriodicalIF":0.0000,"publicationDate":"2024-06-08","publicationTypes":"Journal Article","fieldsOfStudy":null,"isOpenAccess":false,"openAccessPdf":"https://www.ncbi.nlm.nih.gov/pmc/articles/PMC11082769/pdf/","citationCount":"0","resultStr":null,"platform":"Semanticscholar","paperid":null,"PeriodicalName":"Mediterranean Journal of Rheumatology","FirstCategoryId":"1085","ListUrlMain":"https://doi.org/10.31138/mjr.080624.rar","RegionNum":0,"RegionCategory":null,"ArticlePicture":[],"TitleCN":null,"AbstractTextCN":null,"PMCID":null,"EPubDate":"2024/3/1 0:00:00","PubModel":"eCollection","JCR":"Q4","JCRName":"Medicine","Score":null,"Total":0}
引用次数: 0

Abstract

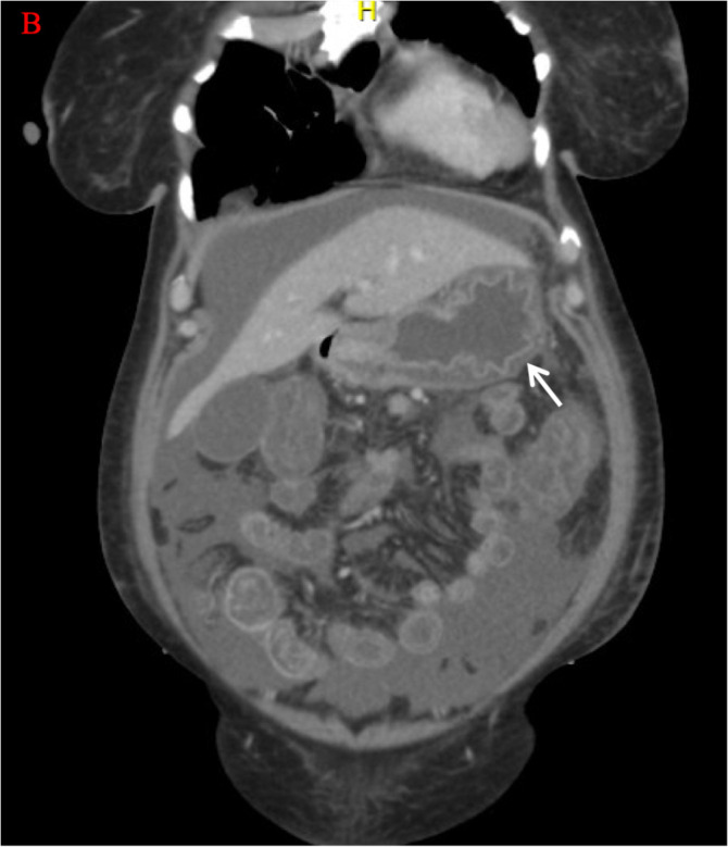
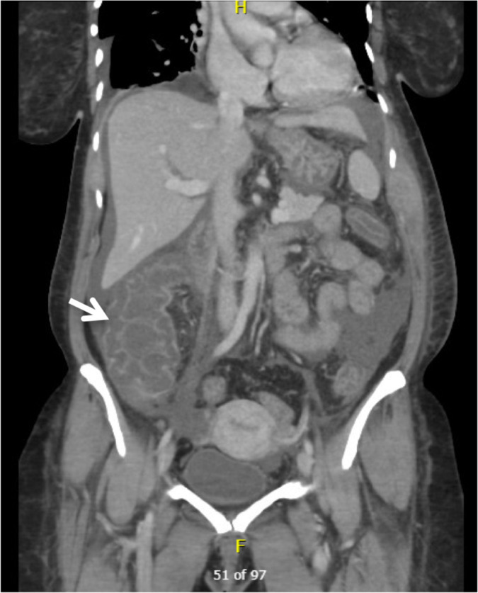
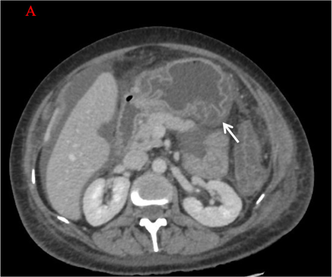
Lupus enteritis is a rare gastrointestinal complication of systemic lupus erythematosus (SLE) associated with significant morbidity and mortality. Rituximab, a monoclonal antibody targeting CD20-positive B cells, has shown promise in refractory SLE cases. We present a case of a 45-year-old female with SLE who developed lupus enteritis and experienced an unusually rapid and remarkable response to Rituximab. The patient presented with severe abdominal pain and distension. Within two days of Rituximab treatment, the patient's abdominal pain, distension, and associated complications resolved completely. This exceptional response challenges the typical timeline of Rituximab efficacy in SLE and highlights the need for further investigation into the factors influencing treatment response. Understanding the mechanisms underlying such rapid improvement may provide insights into SLE pathogenesis and guide therapeutic strategies for optimal outcomes.

Abstract Image

Abstract Image

Abstract Image

狼疮肠炎病例对利妥昔单抗的快速和显著反应:挑战常规。
狼疮性肠炎是系统性红斑狼疮(SLE)的一种罕见胃肠道并发症,发病率和死亡率都很高。利妥昔单抗是一种靶向 CD20 阳性 B 细胞的单克隆抗体,在难治性系统性红斑狼疮病例中显示出良好的疗效。我们介绍了一例45岁的女性系统性红斑狼疮患者,她患上了狼疮性肠炎,并对利妥昔单抗产生了异常迅速和显著的反应。患者出现剧烈腹痛和腹胀。在利妥昔单抗治疗的两天内,患者的腹痛、腹胀和相关并发症完全消失。这种特殊的反应挑战了利妥昔单抗在系统性红斑狼疮中的典型疗效时间表,并强调了进一步研究影响治疗反应的因素的必要性。了解这种快速改善的内在机制,有助于深入了解系统性红斑狼疮的发病机制,并指导治疗策略,以获得最佳疗效。
本文章由计算机程序翻译,如有差异,请以英文原文为准。
求助全文
约1分钟内获得全文 求助全文
来源期刊
CiteScore
2.00
自引率
0.00%
发文量
42
审稿时长
8 weeks
×
引用
GB/T 7714-2015
复制
MLA
复制
APA
复制
导出至
BibTeX EndNote RefMan NoteFirst NoteExpress
×
提示
您的信息不完整,为了账户安全,请先补充。
现在去补充
×
提示
您因"违规操作"
具体请查看互助需知
我知道了
×
提示
确定
请完成安全验证×
copy
已复制链接
快去分享给好友吧!
我知道了
右上角分享
点击右上角分享
0
联系我们:info@booksci.cn Book学术提供免费学术资源搜索服务,方便国内外学者检索中英文文献。致力于提供最便捷和优质的服务体验。 Copyright © 2023 布克学术 All rights reserved.
京ICP备2023020795号-1
ghs 京公网安备 11010802042870号
Book学术文献互助
Book学术文献互助群
群 号:604180095
Book学术官方微信