Bilateral mandible fractures in the paediatric patient in a case of peer-to-peer violence: a case report and literature review.

IF 2.4 4区 医学 Q2 DENTISTRY, ORAL SURGERY & MEDICINE
Australian dental journal Pub Date : 2024-12-01 Epub Date: 2024-06-07 DOI:10.1111/adj.13025
K L Dal Santo
{"title":"Bilateral mandible fractures in the paediatric patient in a case of peer-to-peer violence: a case report and literature review.","authors":"K L Dal Santo","doi":"10.1111/adj.13025","DOIUrl":null,"url":null,"abstract":"<p><p>Mandible fractures are relatively uncommon despite the mandible being the most commonly fractured facial bone in the paediatric population. The aetiology of mandible fractures can be categorized as intentional (e.g. as a result of assault, peer-to-peer violence, family violence) or non-intentional (e.g. as a result of falls, motor vehicle crashes, sporting incidents). Peer-to-peer violence affects up to a third of male school aged children in Australia. This case report details the case of a paediatric patient with bilateral mandibular fractures who presented to a general dental practice after an episode of peer-to-peer violence. Clinical examination, radiographic findings and treatment are reported. This paper explores the experience and impact of peer-to-peer physical violence on the individual and his family. A review of the relevant literature is presented. © 2024 Australian Dental Association.</p>","PeriodicalId":8593,"journal":{"name":"Australian dental journal","volume":" ","pages":"320-325"},"PeriodicalIF":2.4000,"publicationDate":"2024-12-01","publicationTypes":"Journal Article","fieldsOfStudy":null,"isOpenAccess":false,"openAccessPdf":"https://www.ncbi.nlm.nih.gov/pmc/articles/PMC11845840/pdf/","citationCount":"0","resultStr":null,"platform":"Semanticscholar","paperid":null,"PeriodicalName":"Australian dental journal","FirstCategoryId":"3","ListUrlMain":"https://doi.org/10.1111/adj.13025","RegionNum":4,"RegionCategory":"医学","ArticlePicture":[],"TitleCN":null,"AbstractTextCN":null,"PMCID":null,"EPubDate":"2024/6/7 0:00:00","PubModel":"Epub","JCR":"Q2","JCRName":"DENTISTRY, ORAL SURGERY & MEDICINE","Score":null,"Total":0}
引用次数: 0

Abstract

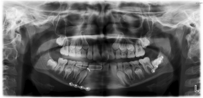
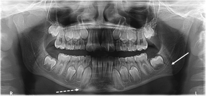
Mandible fractures are relatively uncommon despite the mandible being the most commonly fractured facial bone in the paediatric population. The aetiology of mandible fractures can be categorized as intentional (e.g. as a result of assault, peer-to-peer violence, family violence) or non-intentional (e.g. as a result of falls, motor vehicle crashes, sporting incidents). Peer-to-peer violence affects up to a third of male school aged children in Australia. This case report details the case of a paediatric patient with bilateral mandibular fractures who presented to a general dental practice after an episode of peer-to-peer violence. Clinical examination, radiographic findings and treatment are reported. This paper explores the experience and impact of peer-to-peer physical violence on the individual and his family. A review of the relevant literature is presented. © 2024 Australian Dental Association.

Abstract Image

Abstract Image

一起同伴间暴力事件中儿科患者的双侧下颌骨骨折:病例报告和文献综述。
尽管下颌骨是儿科最常见的面部骨骼骨折,但下颌骨骨折却相对并不常见。下颌骨骨折的病因可分为故意伤害(如殴打、同伴间暴力、家庭暴力)和非故意伤害(如跌倒、车祸、体育运动事故)。在澳大利亚,多达三分之一的男性学龄儿童受到同伴间暴力的影响。本病例报告详细介绍了一名患有双侧下颌骨骨折的儿科患者的病例,该患者是在同伴暴力事件后到一家普通牙科诊所就诊的。文中报告了临床检查、放射学检查结果和治疗方法。本文探讨了同伴间身体暴力对个人及其家庭的经历和影响。并对相关文献进行了综述。© 2024 澳大利亚牙科协会。
本文章由计算机程序翻译,如有差异,请以英文原文为准。
求助全文
约1分钟内获得全文 求助全文
来源期刊
Australian dental journal
Australian dental journal 医学-牙科与口腔外科
CiteScore
4.20
自引率
4.80%
发文量
50
审稿时长
6-12 weeks
期刊介绍: The Australian Dental Journal provides a forum for the exchange of information about new and significant research in dentistry, promoting the discipline of dentistry in Australia and throughout the world. It comprises peer-reviewed research articles as its core material, supplemented by reviews, theoretical articles, special features and commentaries.
×
引用
GB/T 7714-2015
复制
MLA
复制
APA
复制
导出至
BibTeX EndNote RefMan NoteFirst NoteExpress
×
提示
您的信息不完整,为了账户安全,请先补充。
现在去补充
×
提示
您因"违规操作"
具体请查看互助需知
我知道了
×
提示
确定
请完成安全验证×
copy
已复制链接
快去分享给好友吧!
我知道了
右上角分享
点击右上角分享
0
联系我们:info@booksci.cn Book学术提供免费学术资源搜索服务,方便国内外学者检索中英文文献。致力于提供最便捷和优质的服务体验。 Copyright © 2023 布克学术 All rights reserved.
京ICP备2023020795号-1
ghs 京公网安备 11010802042870号
Book学术文献互助
Book学术文献互助群
群 号:604180095
Book学术官方微信