Difficulties of Preoperative Diagnosis of Cribriform Morular Thyroid Carcinoma.

IF 0.9 Q4 ENDOCRINOLOGY & METABOLISM
Case Reports in Endocrinology Pub Date : 2024-05-28 eCollection Date: 2024-01-01 DOI:10.1155/2024/6517236
Li-Hsin Pan, Jen-Fan Hang, Jui-Yu Chen, Po-Sheng Lee, Yun-Kai Yeh, Tai-Jung Huang, Chii-Min Hwu, Chin-Sung Kuo
{"title":"Difficulties of Preoperative Diagnosis of Cribriform Morular Thyroid Carcinoma.","authors":"Li-Hsin Pan, Jen-Fan Hang, Jui-Yu Chen, Po-Sheng Lee, Yun-Kai Yeh, Tai-Jung Huang, Chii-Min Hwu, Chin-Sung Kuo","doi":"10.1155/2024/6517236","DOIUrl":null,"url":null,"abstract":"<p><strong>Background: </strong>Cribriform morular thyroid carcinoma has been recently renamed in the 2022 WHO classification as a thyroid tumor of uncertain histogenesis. The epidemiologic, pathological, and pathophysiological characteristics distinguish it from papillary thyroid carcinoma (PTC). Preoperative genetic testing plays a role in facilitating the differential diagnosis.</p><p><strong>Methods: </strong>This report presents a confirmed case of cribriform morular thyroid carcinoma. Initially, fine-needle aspiration cytology suggested a diagnosis of PTC. However, a genetic analysis did not reveal the typical mutations associated with follicular-cell-derived neoplasms.</p><p><strong>Results: </strong>A 31-year-old woman was found to have a thyroid nodule at the left lobe measuring 11.8 × 10.2 × 12.4 mm. Ultrasonography indicated a hypoechoic, solid nodule with regular margins. Cytology revealed a papillary structure of tall cells, leading to a PTC diagnosis. Nevertheless, the genetic analysis failed to detect mutations such as <i>BRAF V600E</i>, <i>NRAS Q61R</i>, <i>NRAS Q61K</i>, <i>HRAS Q61R</i>, <i>or HRAS Q61K</i> mutation or the fusion of <i>CCDC6-RET</i>, <i>NCOA4-RET</i>, <i>PAX8-PPARG</i>, <i>ETV6-NTRK3</i>, <i>TPM3-NTRK1</i>, <i>IRF2BP2-NTRK1</i>, or <i>SQSTM1-NTRK1</i> in the aspirated follicular cells. The patient subsequently underwent total thyroidectomy with central lymph node dissection. Pathological examination revealed a cribriform pattern of spindle-shaped cells with morular areas. Immunohistochemical staining showed positive results for <i>β</i>-catenin and TTF-1, except in the morular regions, and negative results for PAX8, thyroglobulin, and BRAF (clone VE1). The diagnosis was confirmed to be cribriform morular thyroid carcinoma.</p><p><strong>Conclusion: </strong>Significant cytological similarity exists between PTC and cribriform morular thyroid carcinoma. Preoperative genetic analysis is important to differentiate these two diseases. Cribriform morular thyroid carcinoma can be differentiated from common follicular-cell-derived tumors by the absence of typical mutations; the presence of nuclear and cytoplasmic expressions of <i>β</i>-catenin; the presence of TTF-1, except in morular areas; and the absence of thyroglobulin.</p>","PeriodicalId":9621,"journal":{"name":"Case Reports in Endocrinology","volume":"2024 ","pages":"6517236"},"PeriodicalIF":0.9000,"publicationDate":"2024-05-28","publicationTypes":"Journal Article","fieldsOfStudy":null,"isOpenAccess":false,"openAccessPdf":"https://www.ncbi.nlm.nih.gov/pmc/articles/PMC11150044/pdf/","citationCount":"0","resultStr":null,"platform":"Semanticscholar","paperid":null,"PeriodicalName":"Case Reports in Endocrinology","FirstCategoryId":"1085","ListUrlMain":"https://doi.org/10.1155/2024/6517236","RegionNum":0,"RegionCategory":null,"ArticlePicture":[],"TitleCN":null,"AbstractTextCN":null,"PMCID":null,"EPubDate":"2024/1/1 0:00:00","PubModel":"eCollection","JCR":"Q4","JCRName":"ENDOCRINOLOGY & METABOLISM","Score":null,"Total":0}
引用次数: 0

Abstract

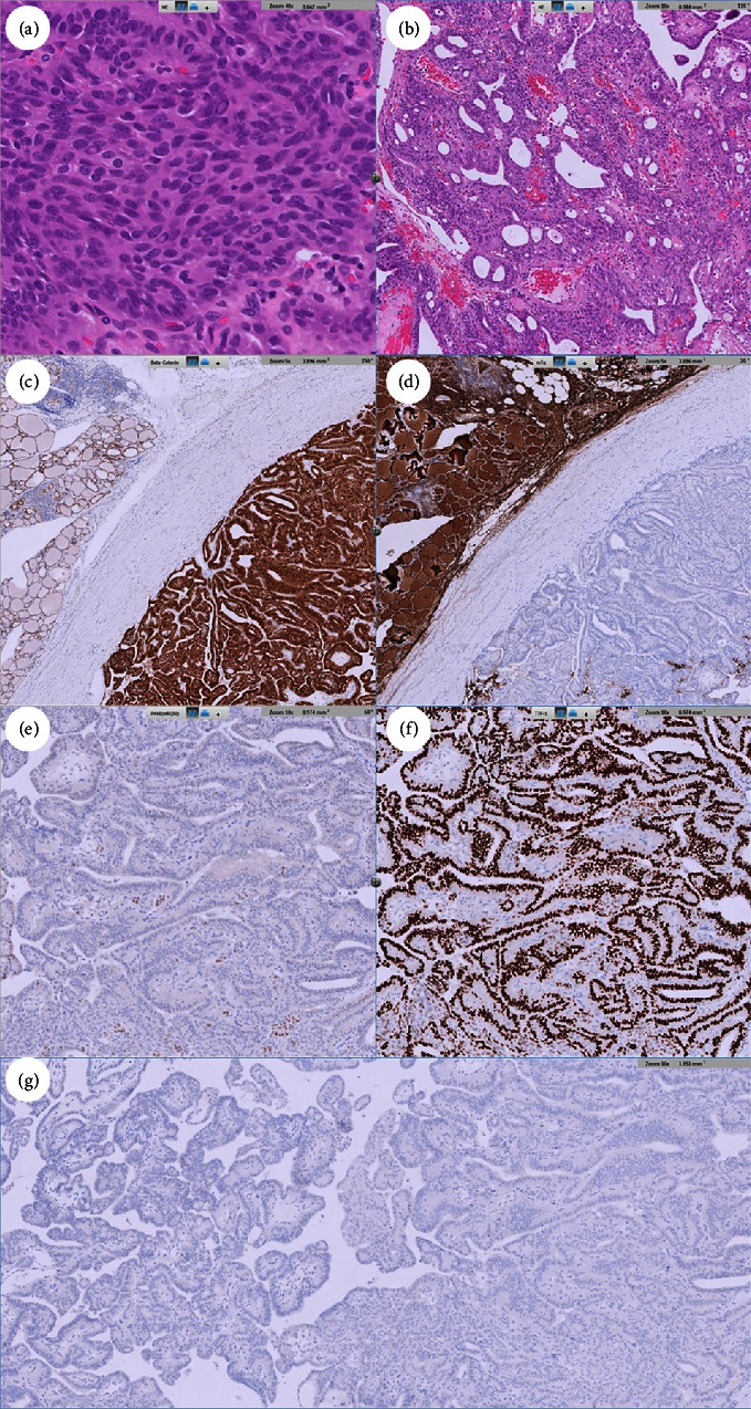
Background: Cribriform morular thyroid carcinoma has been recently renamed in the 2022 WHO classification as a thyroid tumor of uncertain histogenesis. The epidemiologic, pathological, and pathophysiological characteristics distinguish it from papillary thyroid carcinoma (PTC). Preoperative genetic testing plays a role in facilitating the differential diagnosis.

Methods: This report presents a confirmed case of cribriform morular thyroid carcinoma. Initially, fine-needle aspiration cytology suggested a diagnosis of PTC. However, a genetic analysis did not reveal the typical mutations associated with follicular-cell-derived neoplasms.

Results: A 31-year-old woman was found to have a thyroid nodule at the left lobe measuring 11.8 × 10.2 × 12.4 mm. Ultrasonography indicated a hypoechoic, solid nodule with regular margins. Cytology revealed a papillary structure of tall cells, leading to a PTC diagnosis. Nevertheless, the genetic analysis failed to detect mutations such as BRAF V600E, NRAS Q61R, NRAS Q61K, HRAS Q61R, or HRAS Q61K mutation or the fusion of CCDC6-RET, NCOA4-RET, PAX8-PPARG, ETV6-NTRK3, TPM3-NTRK1, IRF2BP2-NTRK1, or SQSTM1-NTRK1 in the aspirated follicular cells. The patient subsequently underwent total thyroidectomy with central lymph node dissection. Pathological examination revealed a cribriform pattern of spindle-shaped cells with morular areas. Immunohistochemical staining showed positive results for β-catenin and TTF-1, except in the morular regions, and negative results for PAX8, thyroglobulin, and BRAF (clone VE1). The diagnosis was confirmed to be cribriform morular thyroid carcinoma.

Conclusion: Significant cytological similarity exists between PTC and cribriform morular thyroid carcinoma. Preoperative genetic analysis is important to differentiate these two diseases. Cribriform morular thyroid carcinoma can be differentiated from common follicular-cell-derived tumors by the absence of typical mutations; the presence of nuclear and cytoplasmic expressions of β-catenin; the presence of TTF-1, except in morular areas; and the absence of thyroglobulin.

Abstract Image

Abstract Image

楔形膜甲状腺癌术前诊断的困难之处
背景:最近,在2022年世界卫生组织的分类中,楔形形态甲状腺癌被重新命名为组织发生机制不确定的甲状腺肿瘤。它在流行病学、病理学和病理生理学方面的特点使其有别于甲状腺乳头状癌(PTC)。术前基因检测有助于鉴别诊断:本报告介绍了一例楔形形态甲状腺癌确诊病例。最初,细针穿刺细胞学检查提示诊断为 PTC。然而,基因分析并未发现与滤泡细胞源性肿瘤相关的典型突变:一名 31 岁的女性被发现左叶有一个甲状腺结节,大小为 11.8 × 10.2 × 12.4 毫米。超声波检查显示该结节为低回声实性结节,边缘规则。细胞学检查显示高细胞乳头状结构,诊断为 PTC。然而,基因分析未能在吸出的滤泡细胞中检测到 BRAF V600E、NRAS Q61R、NRAS Q61K、HRAS Q61R 或 HRAS Q61K 突变或 CCDC6-RET、NCOA4-RET、PAX8-PPARG、ETV6-NTRK3、TPM3-NTRK1、IRF2BP2-NTRK1 或 SQSTM1-NTRK1 融合等突变。患者随后接受了全甲状腺切除术和中央淋巴结清扫术。病理检查显示,患者的甲状腺细胞呈纺锤形,并伴有形态区。免疫组化染色结果显示,β-catenin和TTF-1呈阳性(病变区除外),而PAX8、甲状腺球蛋白和BRAF(克隆VE1)呈阴性。确诊为楔形叶状甲状腺癌:结论:PTC和楔形叶甲状腺癌在细胞学上存在显著的相似性。术前基因分析对于区分这两种疾病非常重要。楔形叶甲状腺癌与普通滤泡细胞源性肿瘤的区别在于:不存在典型突变;β-catenin在细胞核和细胞质中均有表达;TTF-1存在(叶状区除外);以及甲状腺球蛋白缺失。
本文章由计算机程序翻译,如有差异,请以英文原文为准。
求助全文
约1分钟内获得全文 求助全文
来源期刊
Case Reports in Endocrinology
Case Reports in Endocrinology ENDOCRINOLOGY & METABOLISM-
CiteScore
2.10
自引率
0.00%
发文量
45
审稿时长
13 weeks
×
引用
GB/T 7714-2015
复制
MLA
复制
APA
复制
导出至
BibTeX EndNote RefMan NoteFirst NoteExpress
×
提示
您的信息不完整,为了账户安全,请先补充。
现在去补充
×
提示
您因"违规操作"
具体请查看互助需知
我知道了
×
提示
确定
请完成安全验证×
copy
已复制链接
快去分享给好友吧!
我知道了
右上角分享
点击右上角分享
0
联系我们:info@booksci.cn Book学术提供免费学术资源搜索服务,方便国内外学者检索中英文文献。致力于提供最便捷和优质的服务体验。 Copyright © 2023 布克学术 All rights reserved.
京ICP备2023020795号-1
ghs 京公网安备 11010802042870号
Book学术文献互助
Book学术文献互助群
群 号:604180095
Book学术官方微信