Panhypopituitarism in a Patient with Burkitt Lymphoma: A Diagnostic and Therapeutic Challenge.

TouchREVIEWS in endocrinology Pub Date : 2024-04-01 Epub Date: 2023-12-15 DOI:10.17925/EE.2024.20.1.11
Augusto Dextre-Espinoza, Sofía Pilar Ildefonso-Najarro, Marcio José Concepción-Zavaleta, Juan Eduardo Quiroz-Aldave, Diana Carolina Deutz-Gómez Condori, Fiorella Beatriz Gonzales-Chiroque, Rodrigo Martín Rodríguez-Solis
{"title":"Panhypopituitarism in a Patient with Burkitt Lymphoma: A Diagnostic and Therapeutic Challenge.","authors":"Augusto Dextre-Espinoza, Sofía Pilar Ildefonso-Najarro, Marcio José Concepción-Zavaleta, Juan Eduardo Quiroz-Aldave, Diana Carolina Deutz-Gómez Condori, Fiorella Beatriz Gonzales-Chiroque, Rodrigo Martín Rodríguez-Solis","doi":"10.17925/EE.2024.20.1.11","DOIUrl":null,"url":null,"abstract":"<p><p>Pituitary infiltration by systemic lymphoma is an exceedingly rare occurrence. Given its high mortality rate, it is crucial to recognize its clinical, biochemical and radiological features in order to provide timely intervention. We present the case of a 26-year-old male with a history of human immunodeficiency virus (HIV) infection who presented to the hospital with severe anemia, persistent fever, weight loss and diarrhea over the previous 4 months. Physical examination revealed a compromised general condition, fever, pallor, hepatomegaly and lymphadenopathy. Cervical lymph node biopsy confirmed Burkitt lymphoma (BL). During hospitalization, the patient developed polyuria, polydipsia, hypernatremia, fluid-resistant hypotension and hypoglycaemia. Corticosteroid therapy was initiated due to suspected adrenal insufficiency, resulting in clinical improvement but exacerbation of polyuria and hypernatremia. Plasma and urinary osmolarity confirmed arginine vasopressin deficiency, and assessment of anterior pituitary reserve revealed hypopituitarism, necessitating hormonal replacement therapy. Sellar magnetic resonance imaging with contrast revealed pituitary infiltration. The patient subsequently developed septic shock and died. BL accounts for approximately 10% of the cases of pituitary infiltration associated with lymphoma. Clinical presentation is heterogeneous, with panhypopituitarism often serving as the initial manifestation. Sellar magnetic resonance imaging plays a pivotal role in the differential diagnosis. Management typically entails chemotherapy, immunotherapy, radiation and hormonal replacement therapy. This case report describes a patient with BL and HIV infection who developed panhypopituitarism due to pituitary infiltration, an exceedingly rare presentation considered a medical emergency.</p>","PeriodicalId":75231,"journal":{"name":"TouchREVIEWS in endocrinology","volume":"20 1","pages":"63-67"},"PeriodicalIF":0.0000,"publicationDate":"2024-04-01","publicationTypes":"Journal Article","fieldsOfStudy":null,"isOpenAccess":false,"openAccessPdf":"https://www.ncbi.nlm.nih.gov/pmc/articles/PMC11132650/pdf/","citationCount":"0","resultStr":null,"platform":"Semanticscholar","paperid":null,"PeriodicalName":"TouchREVIEWS in endocrinology","FirstCategoryId":"1085","ListUrlMain":"https://doi.org/10.17925/EE.2024.20.1.11","RegionNum":0,"RegionCategory":null,"ArticlePicture":[],"TitleCN":null,"AbstractTextCN":null,"PMCID":null,"EPubDate":"2023/12/15 0:00:00","PubModel":"Epub","JCR":"","JCRName":"","Score":null,"Total":0}
引用次数: 0

Abstract

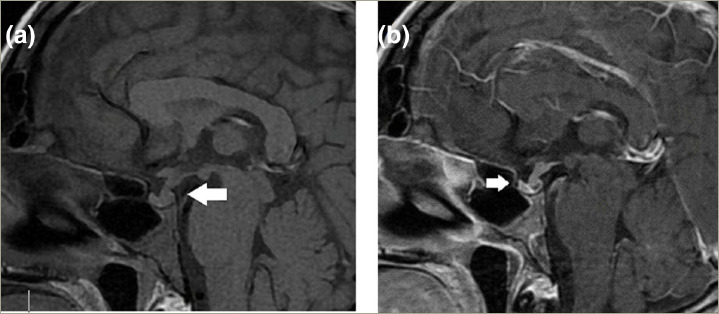
Pituitary infiltration by systemic lymphoma is an exceedingly rare occurrence. Given its high mortality rate, it is crucial to recognize its clinical, biochemical and radiological features in order to provide timely intervention. We present the case of a 26-year-old male with a history of human immunodeficiency virus (HIV) infection who presented to the hospital with severe anemia, persistent fever, weight loss and diarrhea over the previous 4 months. Physical examination revealed a compromised general condition, fever, pallor, hepatomegaly and lymphadenopathy. Cervical lymph node biopsy confirmed Burkitt lymphoma (BL). During hospitalization, the patient developed polyuria, polydipsia, hypernatremia, fluid-resistant hypotension and hypoglycaemia. Corticosteroid therapy was initiated due to suspected adrenal insufficiency, resulting in clinical improvement but exacerbation of polyuria and hypernatremia. Plasma and urinary osmolarity confirmed arginine vasopressin deficiency, and assessment of anterior pituitary reserve revealed hypopituitarism, necessitating hormonal replacement therapy. Sellar magnetic resonance imaging with contrast revealed pituitary infiltration. The patient subsequently developed septic shock and died. BL accounts for approximately 10% of the cases of pituitary infiltration associated with lymphoma. Clinical presentation is heterogeneous, with panhypopituitarism often serving as the initial manifestation. Sellar magnetic resonance imaging plays a pivotal role in the differential diagnosis. Management typically entails chemotherapy, immunotherapy, radiation and hormonal replacement therapy. This case report describes a patient with BL and HIV infection who developed panhypopituitarism due to pituitary infiltration, an exceedingly rare presentation considered a medical emergency.

Abstract Image

伯基特淋巴瘤患者的泛垂体功能障碍:诊断和治疗的挑战。
全身性淋巴瘤浸润垂体的情况极为罕见。鉴于其死亡率较高,识别其临床、生化和放射学特征以便及时干预至关重要。本病例是一名 26 岁男性,有人类免疫缺陷病毒(HIV)感染史,因严重贫血、持续发热、体重减轻和腹泻 4 个月来就诊。体格检查显示患者全身状况不佳、发热、面色苍白、肝肿大和淋巴结肿大。宫颈淋巴结活检证实了伯基特淋巴瘤(BL)。住院期间,患者出现多尿、多饮、高钠血症、耐液体性低血压和低血糖症。由于怀疑肾上腺功能不全,患者开始接受皮质类固醇治疗,结果临床症状有所改善,但多尿和高钠血症症状加剧。血浆和尿液渗透压证实精氨酸加压素缺乏,垂体前叶储备功能评估显示垂体功能减退,需要进行激素替代治疗。造影剂ellar磁共振成像显示垂体浸润。患者随后出现脓毒性休克并死亡。在与淋巴瘤相关的垂体浸润病例中,BL 约占 10%。临床表现多种多样,泛垂体功能障碍通常是最初的表现。ellar磁共振成像在鉴别诊断中起着关键作用。治疗方法通常包括化疗、免疫疗法、放疗和激素替代疗法。本病例报告描述了一名患有BL和HIV感染的患者因垂体浸润而出现泛垂体功能障碍,这是一种极为罕见的表现,被视为医疗急症。
本文章由计算机程序翻译,如有差异,请以英文原文为准。
求助全文
约1分钟内获得全文 求助全文
来源期刊
CiteScore
2.40
自引率
0.00%
发文量
0
×
引用
GB/T 7714-2015
复制
MLA
复制
APA
复制
导出至
BibTeX EndNote RefMan NoteFirst NoteExpress
×
提示
您的信息不完整,为了账户安全,请先补充。
现在去补充
×
提示
您因"违规操作"
具体请查看互助需知
我知道了
×
提示
确定
请完成安全验证×
copy
已复制链接
快去分享给好友吧!
我知道了
右上角分享
点击右上角分享
0
联系我们:info@booksci.cn Book学术提供免费学术资源搜索服务,方便国内外学者检索中英文文献。致力于提供最便捷和优质的服务体验。 Copyright © 2023 布克学术 All rights reserved.
京ICP备2023020795号-1
ghs 京公网安备 11010802042870号
Book学术文献互助
Book学术文献互助群
群 号:604180095
Book学术官方微信