Is There an Association between a Tonsillar Diffuse Large B-Cell Lymphoma Arising after a Neck Squamous Cell Carcinoma of Occult Primary? A Case Report and Extensive Literature Review.

IF 1.2 Q4 HEMATOLOGY
Dimitris Tatsis, Athena Niakou, Konstantinos Paraskevopoulos, Stavroula Papadopoulou, Konstantinos Vahtsevanos
{"title":"Is There an Association between a Tonsillar Diffuse Large B-Cell Lymphoma Arising after a Neck Squamous Cell Carcinoma of Occult Primary? A Case Report and Extensive Literature Review.","authors":"Dimitris Tatsis, Athena Niakou, Konstantinos Paraskevopoulos, Stavroula Papadopoulou, Konstantinos Vahtsevanos","doi":"10.3390/hematolrep16020026","DOIUrl":null,"url":null,"abstract":"<p><strong>Objectives: </strong>The aim of this review is to focus on the possibility of patients with squamous cell carcinoma to develop a second primary disease such as DLBCL, perhaps because of the irradiation of the head and neck area.</p><p><strong>Materials and methods: </strong>A case of an 89-year-old man is reported, who initially underwent surgical and complementary treatment for neck squamous cell carcinoma of occult primary and later for tonsillar diffuse large B-cell non-Hodgkin lymphoma.</p><p><strong>Results: </strong>The second primary was considered a recurrence in the neck of the original cancer of unknown primary, so a new surgical management was decided. The final pathology report described a diffuse large B-cell non-Hodgkin lymphoma.</p><p><strong>Conclusions: </strong>The importance of maintaining follow-ups for patients with occult primary cancers who are at an elevated risk of developing a metastasis or a second primary carcinoma outbreak is highlighted.</p>","PeriodicalId":12829,"journal":{"name":"Hematology Reports","volume":"16 2","pages":"260-269"},"PeriodicalIF":1.2000,"publicationDate":"2024-04-29","publicationTypes":"Journal Article","fieldsOfStudy":null,"isOpenAccess":false,"openAccessPdf":"https://www.ncbi.nlm.nih.gov/pmc/articles/PMC11130887/pdf/","citationCount":"0","resultStr":null,"platform":"Semanticscholar","paperid":null,"PeriodicalName":"Hematology Reports","FirstCategoryId":"1085","ListUrlMain":"https://doi.org/10.3390/hematolrep16020026","RegionNum":0,"RegionCategory":null,"ArticlePicture":[],"TitleCN":null,"AbstractTextCN":null,"PMCID":null,"EPubDate":"","PubModel":"","JCR":"Q4","JCRName":"HEMATOLOGY","Score":null,"Total":0}
引用次数: 0

Abstract

Objectives: The aim of this review is to focus on the possibility of patients with squamous cell carcinoma to develop a second primary disease such as DLBCL, perhaps because of the irradiation of the head and neck area.

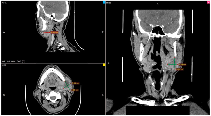
Materials and methods: A case of an 89-year-old man is reported, who initially underwent surgical and complementary treatment for neck squamous cell carcinoma of occult primary and later for tonsillar diffuse large B-cell non-Hodgkin lymphoma.

Results: The second primary was considered a recurrence in the neck of the original cancer of unknown primary, so a new surgical management was decided. The final pathology report described a diffuse large B-cell non-Hodgkin lymphoma.

Conclusions: The importance of maintaining follow-ups for patients with occult primary cancers who are at an elevated risk of developing a metastasis or a second primary carcinoma outbreak is highlighted.

Abstract Image

Abstract Image

Abstract Image

颈部隐匿原发鳞状细胞癌后出现扁桃体弥漫大 B 细胞淋巴瘤之间有关联吗?病例报告和广泛的文献综述。
目的:本综述旨在关注鳞状细胞癌患者可能因头颈部受到照射而发展为第二种原发性疾病(如 DLBCL)的可能性:报告了一例 89 岁的男性患者,他最初因颈部隐匿原发鳞状细胞癌接受了手术和辅助治疗,后来又因扁桃体弥漫大 B 细胞非霍奇金淋巴瘤接受了手术和辅助治疗:结果:第二原发癌被认为是原发灶不明的颈部癌症复发,因此决定采取新的手术治疗。最终病理报告显示为弥漫大 B 细胞非霍奇金淋巴瘤:结论:对于原发癌隐匿、发生转移或爆发第二原发癌风险较高的患者,坚持随访非常重要。
本文章由计算机程序翻译,如有差异,请以英文原文为准。
求助全文
约1分钟内获得全文 求助全文
来源期刊
Hematology Reports
Hematology Reports HEMATOLOGY-
CiteScore
0.90
自引率
0.00%
发文量
47
审稿时长
10 weeks
×
引用
GB/T 7714-2015
复制
MLA
复制
APA
复制
导出至
BibTeX EndNote RefMan NoteFirst NoteExpress
×
提示
您的信息不完整,为了账户安全,请先补充。
现在去补充
×
提示
您因"违规操作"
具体请查看互助需知
我知道了
×
提示
确定
请完成安全验证×
copy
已复制链接
快去分享给好友吧!
我知道了
右上角分享
点击右上角分享
0
联系我们:info@booksci.cn Book学术提供免费学术资源搜索服务,方便国内外学者检索中英文文献。致力于提供最便捷和优质的服务体验。 Copyright © 2023 布克学术 All rights reserved.
京ICP备2023020795号-1
ghs 京公网安备 11010802042870号
Book学术文献互助
Book学术文献互助群
群 号:604180095
Book学术官方微信