Wet table salt and its saturated hypertonic solution for treating retinoic acid resistant plane viral warts on face.

Q3 Medicine
Muhammed Mukhtar, Nadia Mukhtar
{"title":"Wet table salt and its saturated hypertonic solution for treating retinoic acid resistant plane viral warts on face.","authors":"Muhammed Mukhtar, Nadia Mukhtar","doi":"10.4103/JCAS.JCAS_43_22","DOIUrl":null,"url":null,"abstract":"<p><p>Plane viral warts on the face can be difficult to treat at times. Various treatment approaches for facial viral warts have had variable degrees of effectiveness. In contrast, the majority of existing treatments are more costly, painful, and difficult to manage. In approximately 15.6% of instances, retinoic acid (0.05%) is also ineffective. It is very difficult to cure warts on the face at a young age. In pyogenic granuloma, table salt (NaCl) is useful as a sclerosing agent, and its hypertonic solution (15%) is effective in prolabial mucoceles. The aim of treating viral warts is to necrose infected cells and sclerose or thrombose their feeding capillaries at the wart's base.</p>","PeriodicalId":15415,"journal":{"name":"Journal of Cutaneous and Aesthetic Surgery","volume":"17 2","pages":"160-161"},"PeriodicalIF":0.0000,"publicationDate":"2024-04-01","publicationTypes":"Journal Article","fieldsOfStudy":null,"isOpenAccess":false,"openAccessPdf":"https://www.ncbi.nlm.nih.gov/pmc/articles/PMC11126216/pdf/","citationCount":"0","resultStr":null,"platform":"Semanticscholar","paperid":null,"PeriodicalName":"Journal of Cutaneous and Aesthetic Surgery","FirstCategoryId":"1085","ListUrlMain":"https://doi.org/10.4103/JCAS.JCAS_43_22","RegionNum":0,"RegionCategory":null,"ArticlePicture":[],"TitleCN":null,"AbstractTextCN":null,"PMCID":null,"EPubDate":"","PubModel":"","JCR":"Q3","JCRName":"Medicine","Score":null,"Total":0}
引用次数: 0

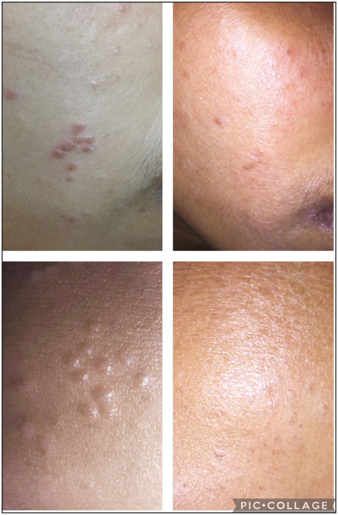
Abstract

Plane viral warts on the face can be difficult to treat at times. Various treatment approaches for facial viral warts have had variable degrees of effectiveness. In contrast, the majority of existing treatments are more costly, painful, and difficult to manage. In approximately 15.6% of instances, retinoic acid (0.05%) is also ineffective. It is very difficult to cure warts on the face at a young age. In pyogenic granuloma, table salt (NaCl) is useful as a sclerosing agent, and its hypertonic solution (15%) is effective in prolabial mucoceles. The aim of treating viral warts is to necrose infected cells and sclerose or thrombose their feeding capillaries at the wart's base.

Abstract Image

Abstract Image

湿食盐及其饱和高渗溶液用于治疗面部抗维甲酸平面病毒疣。
面部平面病毒疣有时很难治疗。面部病毒疣的各种治疗方法都有不同程度的疗效。相比之下,现有的大多数治疗方法都比较昂贵、痛苦且难以控制。在大约 15.6% 的病例中,维甲酸(0.05%)也无效。年幼的面部疣很难治愈。在化脓性肉芽肿中,食盐(NaCl)是一种有效的硬化剂,其高渗溶液(15%)对增殖性粘液瘤有效。治疗病毒疣的目的是使受感染的细胞坏死,并使疣体基部的毛细血管硬化或血栓形成。
本文章由计算机程序翻译,如有差异,请以英文原文为准。
求助全文
约1分钟内获得全文 求助全文
来源期刊
CiteScore
1.10
自引率
0.00%
发文量
60
审稿时长
29 weeks
期刊介绍: The journal will cover aspects of Dermatosurgery and Aesthetic surgery, including cutaneous surgical procedures, lasers, light based treatments and aesthetic treatments. Authors of articles addressing topics such as skin tumours, pigmentary disorders, histopathology, diagnostic techniques, drugs, applications of cosmeceuticals surgical aspects, including pre and post procedural care are highly encouraged to submit with us. The journal also publishes articles on topics in allied specialities suh as plastic surgery, maxillofacial surgery vascular surgery, oculoplastic surgery etc. that are relevant to Dermatosurgery. The journal gives preference to clinically oriented studies over experimental and animal studies. The Journal would publish peer-reviewed Original Research Articles, Systematic reviews, Narrative Reviews, Case reports, Innovations and Debates. Letters to the editor, practice points, pearls in cutaneous and aesthetic surgery, quiz page, images, novel techniques, newer uses of instruments and video presentations and ethical aspects of cutaneous and aesthetic surgery are also invited.
×
引用
GB/T 7714-2015
复制
MLA
复制
APA
复制
导出至
BibTeX EndNote RefMan NoteFirst NoteExpress
×
提示
您的信息不完整,为了账户安全,请先补充。
现在去补充
×
提示
您因"违规操作"
具体请查看互助需知
我知道了
×
提示
确定
请完成安全验证×
copy
已复制链接
快去分享给好友吧!
我知道了
右上角分享
点击右上角分享
0
联系我们:info@booksci.cn Book学术提供免费学术资源搜索服务,方便国内外学者检索中英文文献。致力于提供最便捷和优质的服务体验。 Copyright © 2023 布克学术 All rights reserved.
京ICP备2023020795号-1
ghs 京公网安备 11010802042870号
Book学术文献互助
Book学术文献互助群
群 号:604180095
Book学术官方微信