N-acetylcysteine acts as a potent anti-inflammatory agent altering the eicosanoid profile in the development of simple steatosis and its progression to hepatitis.

IF 1.7 Q3 GASTROENTEROLOGY & HEPATOLOGY
Clinical and Experimental Hepatology Pub Date : 2023-12-01 Epub Date: 2023-12-05 DOI:10.5114/ceh.2023.133106
Klaudia Sztolsztener, Janusz Dzięcioł, Adrian Chabowski
{"title":"N-acetylcysteine acts as a potent anti-inflammatory agent altering the eicosanoid profile in the development of simple steatosis and its progression to hepatitis.","authors":"Klaudia Sztolsztener, Janusz Dzięcioł, Adrian Chabowski","doi":"10.5114/ceh.2023.133106","DOIUrl":null,"url":null,"abstract":"<p><strong>Aim of the study: </strong>We aimed to examine the influence of N-acetylcysteine (NAC) on the development of metabolic dysfunction-associated steatotic liver disease (MASLD) in rats with a specific focus on the eicosanoid pathway.</p><p><strong>Material and methods: </strong>The experiment was conducted on male Wistar rats fed a standard diet or a high-fat diet (HFD) for eight weeks. In the entire experiment, half of rats from both groups received intragastrically NAC solution prepared in normal saline. H + E staining was used for the histological assessment of liver tissue. The gas-liquid chromatography (GLC) technique was used for the assessment of the activity of n-3 and n-6 polyunsaturated fatty acid (PUFA) pathways and arachidonic acid concentration. ELISA and multiplex immunoassay kits were applied for the measurement of eicosanoid, cytokine, and chemokine levels. The Western blot technique was applied to determine the expression of proteins involved in the inflammation pathway.</p><p><strong>Results: </strong>NAC decreased hepatic n-6 PUFA activity in all examined lipid pools and decreased the hepatic content of arachidonic acid as a pro-inflammatory precursor in each lipid pool, especially in the phospholipid fraction in rats with fatty lipid disease. NAC administration abolished 5-LOX expression, leading to a decrease in the content of pro-inflammatory leukotriene B4 and leukotriene C4. In rats with steatosis, NAC weakened NF-κB expression and raised Nrf-2 expression, inhibiting the synthesis of pro-inflammatory cytokines and chemokines.</p><p><strong>Conclusions: </strong>NAC treatment significantly rate-limited the progression of simple hepatic steatosis to hepatitis in a rat model of MASLD.</p>","PeriodicalId":10281,"journal":{"name":"Clinical and Experimental Hepatology","volume":"9 4","pages":"386-395"},"PeriodicalIF":1.7000,"publicationDate":"2023-12-01","publicationTypes":"Journal Article","fieldsOfStudy":null,"isOpenAccess":false,"openAccessPdf":"https://www.ncbi.nlm.nih.gov/pmc/articles/PMC11103808/pdf/","citationCount":"0","resultStr":null,"platform":"Semanticscholar","paperid":null,"PeriodicalName":"Clinical and Experimental Hepatology","FirstCategoryId":"1085","ListUrlMain":"https://doi.org/10.5114/ceh.2023.133106","RegionNum":0,"RegionCategory":null,"ArticlePicture":[],"TitleCN":null,"AbstractTextCN":null,"PMCID":null,"EPubDate":"2023/12/5 0:00:00","PubModel":"Epub","JCR":"Q3","JCRName":"GASTROENTEROLOGY & HEPATOLOGY","Score":null,"Total":0}
引用次数: 0

Abstract

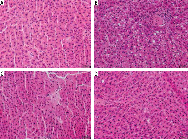
Aim of the study: We aimed to examine the influence of N-acetylcysteine (NAC) on the development of metabolic dysfunction-associated steatotic liver disease (MASLD) in rats with a specific focus on the eicosanoid pathway.

Material and methods: The experiment was conducted on male Wistar rats fed a standard diet or a high-fat diet (HFD) for eight weeks. In the entire experiment, half of rats from both groups received intragastrically NAC solution prepared in normal saline. H + E staining was used for the histological assessment of liver tissue. The gas-liquid chromatography (GLC) technique was used for the assessment of the activity of n-3 and n-6 polyunsaturated fatty acid (PUFA) pathways and arachidonic acid concentration. ELISA and multiplex immunoassay kits were applied for the measurement of eicosanoid, cytokine, and chemokine levels. The Western blot technique was applied to determine the expression of proteins involved in the inflammation pathway.

Results: NAC decreased hepatic n-6 PUFA activity in all examined lipid pools and decreased the hepatic content of arachidonic acid as a pro-inflammatory precursor in each lipid pool, especially in the phospholipid fraction in rats with fatty lipid disease. NAC administration abolished 5-LOX expression, leading to a decrease in the content of pro-inflammatory leukotriene B4 and leukotriene C4. In rats with steatosis, NAC weakened NF-κB expression and raised Nrf-2 expression, inhibiting the synthesis of pro-inflammatory cytokines and chemokines.

Conclusions: NAC treatment significantly rate-limited the progression of simple hepatic steatosis to hepatitis in a rat model of MASLD.

Abstract Image

Abstract Image

Abstract Image

N- 乙酰半胱氨酸是一种强效抗炎剂,可在单纯性脂肪变性及其发展为肝炎的过程中改变类二十碳烷的结构。
研究目的我们旨在研究 N-乙酰半胱氨酸(NAC)对大鼠代谢功能障碍相关性脂肪性肝病(MASLD)发病的影响,特别关注类二十烷烃途径:实验对象为雄性 Wistar 大鼠,喂食标准饮食或高脂饮食(HFD)八周。在整个实验过程中,两组均有一半大鼠经胃内注射了用生理盐水配制的 NAC 溶液。肝组织的组织学评估采用 H + E 染色法。气液相色谱(GLC)技术用于评估 n-3 和 n-6 多不饱和脂肪酸(PUFA)途径的活性和花生四烯酸的浓度。酶联免疫吸附和多重免疫测定试剂盒用于测量类二十酸、细胞因子和趋化因子的水平。采用 Western 印迹技术确定参与炎症途径的蛋白质的表达:结果:NAC降低了脂肪肝大鼠肝脏所有受检脂质库中n-6 PUFA的活性,减少了肝脏各脂质库中促炎前体花生四烯酸的含量,尤其是磷脂部分。服用 NAC 可抑制 5-LOX 的表达,从而降低促炎性白三烯 B4 和白三烯 C4 的含量。在脂肪变性大鼠中,NAC能削弱NF-κB的表达,提高Nrf-2的表达,从而抑制促炎细胞因子和趋化因子的合成:结论:在 MASLD 大鼠模型中,NAC 治疗能明显限制单纯肝脂肪变性向肝炎发展的速度。
本文章由计算机程序翻译,如有差异,请以英文原文为准。
求助全文
约1分钟内获得全文 求助全文
来源期刊
Clinical and Experimental Hepatology
Clinical and Experimental Hepatology GASTROENTEROLOGY & HEPATOLOGY-
CiteScore
2.80
自引率
0.00%
发文量
32
期刊介绍: Clinical and Experimental Hepatology – quarterly of the Polish Association for Study of Liver – is a scientific and educational, peer-reviewed journal publishing original and review papers describing clinical and basic investigations in the field of hepatology.
×
引用
GB/T 7714-2015
复制
MLA
复制
APA
复制
导出至
BibTeX EndNote RefMan NoteFirst NoteExpress
×
提示
您的信息不完整,为了账户安全,请先补充。
现在去补充
×
提示
您因"违规操作"
具体请查看互助需知
我知道了
×
提示
确定
请完成安全验证×
copy
已复制链接
快去分享给好友吧!
我知道了
右上角分享
点击右上角分享
0
联系我们:info@booksci.cn Book学术提供免费学术资源搜索服务,方便国内外学者检索中英文文献。致力于提供最便捷和优质的服务体验。 Copyright © 2023 布克学术 All rights reserved.
京ICP备2023020795号-1
ghs 京公网安备 11010802042870号
Book学术文献互助
Book学术文献互助群
群 号:604180095
Book学术官方微信