Nicotine promotes development of bile duct ligation-induced liver fibrosis by increasing expression of nicotinic acetylcholine receptors in rats.

IF 1.7 Q3 GASTROENTEROLOGY & HEPATOLOGY
Clinical and Experimental Hepatology Pub Date : 2024-03-01 Epub Date: 2024-03-15 DOI:10.5114/ceh.2024.136227
Khalil Hajiasgharzadeh, Parviz Shahabi, Elham Karimi-Sales, Mohammad Reza Alipour
{"title":"Nicotine promotes development of bile duct ligation-induced liver fibrosis by increasing expression of nicotinic acetylcholine receptors in rats.","authors":"Khalil Hajiasgharzadeh, Parviz Shahabi, Elham Karimi-Sales, Mohammad Reza Alipour","doi":"10.5114/ceh.2024.136227","DOIUrl":null,"url":null,"abstract":"<p><strong>Aim of the study: </strong>Liver fibrosis and cigarette smoking seem to be directly linked. Nicotine, as an agonist of nicotinic acetylcholine receptors (nAChRs), induces many downstream signaling pathways. The pathways through which nicotine affects the process of liver fibrosis have not been clarified. The present study aimed to investigate the nicotine-induced effects on fibrosis progression in cholestatic rats.</p><p><strong>Material and methods: </strong>First, the Wistar rats were subjected to sham or bile duct ligation (BDL) surgery. The rats were treated with low and high doses of nicotine (1 or 10 mg/kg) for three weeks. They were monitored for their body weights before and 21 days after BDL. Also, spleens were weighed to calculate the spleen/body weight ratio. Ductular proliferation and fibrosis were evaluated using hematoxylin and eosin (H&E) as well as Masson's trichrome staining. The mRNA expression of α4nAChR, α7nAChR, and fibrosis gene α-smooth muscle actin (α-SMA) was measured by real-time PCR.</p><p><strong>Results: </strong>The findings showed that nicotine promotes the development of BDL-induced liver fibrosis. The ratio of spleen/body weight was significantly affected by nicotine exposure. H&E and Masson's trichrome staining showed that the level of liver fibrosis was higher in the cholestatic BDL groups, and this effect was significantly augmented in the nicotine-treated rats. Also, α4nAChR, α7nAChR, and α-SMA expression was observed in the BDL rats and increased following nicotine treatment.</p><p><strong>Conclusions: </strong>The activation of nAChR triggers biliary proliferation and liver fibrosis. Studying the intracellular mechanism of nicotine and alteration in the expression of nicotinic receptors following nicotine exposure can be useful both in diagnosing nicotine-related diseases and finding new treatment strategies.</p>","PeriodicalId":10281,"journal":{"name":"Clinical and Experimental Hepatology","volume":"10 1","pages":"62-71"},"PeriodicalIF":1.7000,"publicationDate":"2024-03-01","publicationTypes":"Journal Article","fieldsOfStudy":null,"isOpenAccess":false,"openAccessPdf":"https://www.ncbi.nlm.nih.gov/pmc/articles/PMC11100344/pdf/","citationCount":"0","resultStr":null,"platform":"Semanticscholar","paperid":null,"PeriodicalName":"Clinical and Experimental Hepatology","FirstCategoryId":"1085","ListUrlMain":"https://doi.org/10.5114/ceh.2024.136227","RegionNum":0,"RegionCategory":null,"ArticlePicture":[],"TitleCN":null,"AbstractTextCN":null,"PMCID":null,"EPubDate":"2024/3/15 0:00:00","PubModel":"Epub","JCR":"Q3","JCRName":"GASTROENTEROLOGY & HEPATOLOGY","Score":null,"Total":0}
引用次数: 0

Abstract

Aim of the study: Liver fibrosis and cigarette smoking seem to be directly linked. Nicotine, as an agonist of nicotinic acetylcholine receptors (nAChRs), induces many downstream signaling pathways. The pathways through which nicotine affects the process of liver fibrosis have not been clarified. The present study aimed to investigate the nicotine-induced effects on fibrosis progression in cholestatic rats.

Material and methods: First, the Wistar rats were subjected to sham or bile duct ligation (BDL) surgery. The rats were treated with low and high doses of nicotine (1 or 10 mg/kg) for three weeks. They were monitored for their body weights before and 21 days after BDL. Also, spleens were weighed to calculate the spleen/body weight ratio. Ductular proliferation and fibrosis were evaluated using hematoxylin and eosin (H&E) as well as Masson's trichrome staining. The mRNA expression of α4nAChR, α7nAChR, and fibrosis gene α-smooth muscle actin (α-SMA) was measured by real-time PCR.

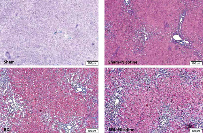
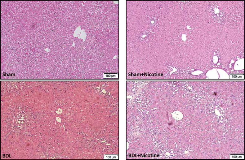
Results: The findings showed that nicotine promotes the development of BDL-induced liver fibrosis. The ratio of spleen/body weight was significantly affected by nicotine exposure. H&E and Masson's trichrome staining showed that the level of liver fibrosis was higher in the cholestatic BDL groups, and this effect was significantly augmented in the nicotine-treated rats. Also, α4nAChR, α7nAChR, and α-SMA expression was observed in the BDL rats and increased following nicotine treatment.

Conclusions: The activation of nAChR triggers biliary proliferation and liver fibrosis. Studying the intracellular mechanism of nicotine and alteration in the expression of nicotinic receptors following nicotine exposure can be useful both in diagnosing nicotine-related diseases and finding new treatment strategies.

Abstract Image

Abstract Image

Abstract Image

尼古丁通过增加大鼠尼古丁乙酰胆碱受体的表达,促进胆管结扎诱发的肝纤维化的发展。
研究目的肝纤维化似乎与吸烟直接相关。尼古丁作为烟碱乙酰胆碱受体(nAChRs)的激动剂,会诱导许多下游信号通路。尼古丁影响肝纤维化过程的途径尚未明确。本研究旨在探讨尼古丁对胆汁淤积性大鼠肝纤维化进程的影响:首先,对 Wistar 大鼠进行假手术或胆管结扎(BDL)手术。用低剂量和高剂量尼古丁(1 或 10 毫克/千克)对大鼠进行为期三周的治疗。在胆管结扎术前和术后 21 天监测大鼠的体重。此外,还对脾脏进行称重,以计算脾脏/体重比。使用苏木精和伊红(H&E)以及马森三色染色法评估导管增生和纤维化。实时 PCR 检测了α4nAChR、α7nAChR 和纤维化基因α-平滑肌肌动蛋白(α-SMA)的 mRNA 表达:结果:研究结果表明,尼古丁会促进BDL诱导的肝纤维化的发展。尼古丁暴露对脾脏/体重比值有显著影响。H&E和Masson三色染色显示,胆汁淤积型BDL组的肝纤维化程度较高,而尼古丁处理组的肝纤维化程度明显升高。此外,在 BDL 大鼠中还观察到 α4nAChR、α7nAChR 和 α-SMA 的表达,并在尼古丁处理后增加:结论:nAChR的激活会引发胆汁增生和肝纤维化。研究尼古丁的细胞内机制以及尼古丁暴露后尼古丁受体表达的变化,有助于诊断尼古丁相关疾病和寻找新的治疗策略。
本文章由计算机程序翻译,如有差异,请以英文原文为准。
求助全文
约1分钟内获得全文 求助全文
来源期刊
Clinical and Experimental Hepatology
Clinical and Experimental Hepatology GASTROENTEROLOGY & HEPATOLOGY-
CiteScore
2.80
自引率
0.00%
发文量
32
期刊介绍: Clinical and Experimental Hepatology – quarterly of the Polish Association for Study of Liver – is a scientific and educational, peer-reviewed journal publishing original and review papers describing clinical and basic investigations in the field of hepatology.
×
引用
GB/T 7714-2015
复制
MLA
复制
APA
复制
导出至
BibTeX EndNote RefMan NoteFirst NoteExpress
×
提示
您的信息不完整,为了账户安全,请先补充。
现在去补充
×
提示
您因"违规操作"
具体请查看互助需知
我知道了
×
提示
确定
请完成安全验证×
copy
已复制链接
快去分享给好友吧!
我知道了
右上角分享
点击右上角分享
0
联系我们:info@booksci.cn Book学术提供免费学术资源搜索服务,方便国内外学者检索中英文文献。致力于提供最便捷和优质的服务体验。 Copyright © 2023 布克学术 All rights reserved.
京ICP备2023020795号-1
ghs 京公网安备 11010802042870号
Book学术文献互助
Book学术文献互助群
群 号:604180095
Book学术官方微信