Brain Abscess due to Streptococcus intermedius after Spontaneous Esophageal Perforation in an Adolescent.

IF 0.5 Q4 PEDIATRICS
Case Reports in Pediatrics Pub Date : 2024-05-09 eCollection Date: 2024-01-01 DOI:10.1155/2024/5593403
Sandra Mabel Camacho-Gomez, Javier Monagas, Robert Adam Noel, Luis Castagnini
{"title":"Brain Abscess due to <i>Streptococcus intermedius</i> after Spontaneous Esophageal Perforation in an Adolescent.","authors":"Sandra Mabel Camacho-Gomez, Javier Monagas, Robert Adam Noel, Luis Castagnini","doi":"10.1155/2024/5593403","DOIUrl":null,"url":null,"abstract":"<p><p><i>Streptococcus intermedius</i> is an inhabitant of the oral cavity and gastrointestinal tract, known to cause deep-seated abscesses. Thereby, we present a previously healthy adolescent with esophageal perforation (EP) and secondary mediastinal and brain abscesses due to <i>Streptococcus intermedius</i>. EP is a potentially life-threatening condition that requires a prompt diagnosis.</p>","PeriodicalId":9623,"journal":{"name":"Case Reports in Pediatrics","volume":"2024 ","pages":"5593403"},"PeriodicalIF":0.5000,"publicationDate":"2024-05-09","publicationTypes":"Journal Article","fieldsOfStudy":null,"isOpenAccess":false,"openAccessPdf":"https://www.ncbi.nlm.nih.gov/pmc/articles/PMC11098600/pdf/","citationCount":"0","resultStr":null,"platform":"Semanticscholar","paperid":null,"PeriodicalName":"Case Reports in Pediatrics","FirstCategoryId":"1085","ListUrlMain":"https://doi.org/10.1155/2024/5593403","RegionNum":0,"RegionCategory":null,"ArticlePicture":[],"TitleCN":null,"AbstractTextCN":null,"PMCID":null,"EPubDate":"2024/1/1 0:00:00","PubModel":"eCollection","JCR":"Q4","JCRName":"PEDIATRICS","Score":null,"Total":0}
引用次数: 0

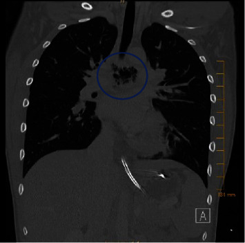
Abstract

Streptococcus intermedius is an inhabitant of the oral cavity and gastrointestinal tract, known to cause deep-seated abscesses. Thereby, we present a previously healthy adolescent with esophageal perforation (EP) and secondary mediastinal and brain abscesses due to Streptococcus intermedius. EP is a potentially life-threatening condition that requires a prompt diagnosis.

Abstract Image

Abstract Image

Abstract Image

青少年自发性食管穿孔后中间链球菌引起的脑脓肿。
中间链球菌是口腔和胃肠道的一种寄生菌,已知可引起深部脓肿。因此,我们为您介绍一名因中间链球菌而导致食管穿孔(EP)并继发纵隔和脑脓肿的健康青少年。食管穿孔有可能危及生命,需要及时诊断。
本文章由计算机程序翻译,如有差异,请以英文原文为准。
求助全文
约1分钟内获得全文 求助全文
来源期刊
自引率
11.10%
发文量
48
审稿时长
13 weeks
×
引用
GB/T 7714-2015
复制
MLA
复制
APA
复制
导出至
BibTeX EndNote RefMan NoteFirst NoteExpress
×
提示
您的信息不完整,为了账户安全,请先补充。
现在去补充
×
提示
您因"违规操作"
具体请查看互助需知
我知道了
×
提示
确定
请完成安全验证×
copy
已复制链接
快去分享给好友吧!
我知道了
右上角分享
点击右上角分享
0
联系我们:info@booksci.cn Book学术提供免费学术资源搜索服务,方便国内外学者检索中英文文献。致力于提供最便捷和优质的服务体验。 Copyright © 2023 布克学术 All rights reserved.
京ICP备2023020795号-1
ghs 京公网安备 11010802042870号
Book学术文献互助
Book学术文献互助群
群 号:604180095
Book学术官方微信