Management of Combined Fracture Neck of Femur and Femoral Deformity in Osteogenesis Imperfecta Patient: A Case Report.

IF 1.3 Q3 ORTHOPEDICS
Hesham Mohamed Elbaseet, AbdelKhalek Hafez Ibrahim, Nariman Abol Oyoun, Mohamed Abdelhady Abdelzaher, Mohamed Khaled
{"title":"Management of Combined Fracture Neck of Femur and Femoral Deformity in Osteogenesis Imperfecta Patient: A Case Report.","authors":"Hesham Mohamed Elbaseet, AbdelKhalek Hafez Ibrahim, Nariman Abol Oyoun, Mohamed Abdelhady Abdelzaher, Mohamed Khaled","doi":"10.5005/jp-journals-10080-1611","DOIUrl":null,"url":null,"abstract":"<p><p>Osteogenesis imperfecta (OI) patients usually sustain repeated fractures from trivial trauma and also have skeletal deformities that affect walking. The bone fragility and repeated fractures produce deformities of the long bones especially in femur and tibia. However, neck of femur (NOF) fractures in OI are rarely described. A 11-year-old male patient known to have OI (Sillence type IV) sustained a NOF fracture after a fall. He also had proximal femoral anterolateral bowing proximally and over an intramedullary (IM) rod inserted 4 years back. He was treated by corrective osteotomy and stabilisation with an IM telescoping nail for the deformed femur and the Wagner technique for the NOF fracture. One year after operation, the patient had recovered satisfactory functional outcome with union of the NOF fracture and correction of the femoral deformity.</p><p><strong>Conclusion: </strong>The method of the Wagner technique can achieve stable fixation for femoral neck fractures and introduces the least interference with concurrent telescoping nail insertion.</p><p><strong>How to cite this article: </strong>Elbaseet HM, Ibrahim AH, Abol Oyoun N, <i>et al</i>. Management of Combined Fracture Neck of Femur and Femoral Deformity in Osteogenesis Imperfecta Patient: A Case Report. Strategies Trauma Limb Reconstr 2024;19(1):56-59.</p>","PeriodicalId":21979,"journal":{"name":"Strategies in Trauma and Limb Reconstruction","volume":"19 1","pages":"56-59"},"PeriodicalIF":1.3000,"publicationDate":"2024-01-01","publicationTypes":"Journal Article","fieldsOfStudy":null,"isOpenAccess":false,"openAccessPdf":"https://www.ncbi.nlm.nih.gov/pmc/articles/PMC11091891/pdf/","citationCount":"0","resultStr":null,"platform":"Semanticscholar","paperid":null,"PeriodicalName":"Strategies in Trauma and Limb Reconstruction","FirstCategoryId":"1085","ListUrlMain":"https://doi.org/10.5005/jp-journals-10080-1611","RegionNum":0,"RegionCategory":null,"ArticlePicture":[],"TitleCN":null,"AbstractTextCN":null,"PMCID":null,"EPubDate":"","PubModel":"","JCR":"Q3","JCRName":"ORTHOPEDICS","Score":null,"Total":0}
引用次数: 0

Abstract

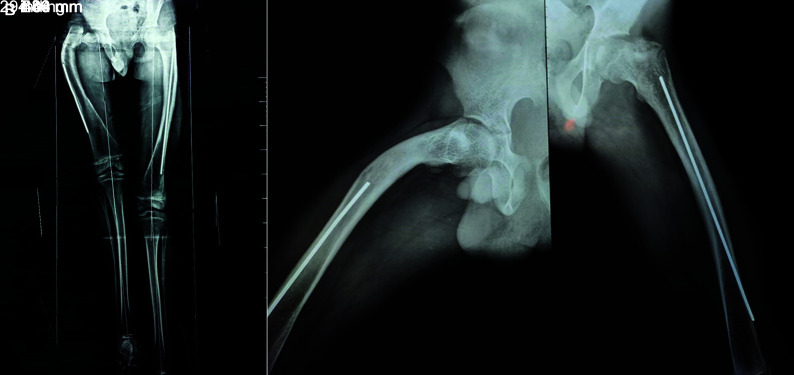
Osteogenesis imperfecta (OI) patients usually sustain repeated fractures from trivial trauma and also have skeletal deformities that affect walking. The bone fragility and repeated fractures produce deformities of the long bones especially in femur and tibia. However, neck of femur (NOF) fractures in OI are rarely described. A 11-year-old male patient known to have OI (Sillence type IV) sustained a NOF fracture after a fall. He also had proximal femoral anterolateral bowing proximally and over an intramedullary (IM) rod inserted 4 years back. He was treated by corrective osteotomy and stabilisation with an IM telescoping nail for the deformed femur and the Wagner technique for the NOF fracture. One year after operation, the patient had recovered satisfactory functional outcome with union of the NOF fracture and correction of the femoral deformity.

Conclusion: The method of the Wagner technique can achieve stable fixation for femoral neck fractures and introduces the least interference with concurrent telescoping nail insertion.

How to cite this article: Elbaseet HM, Ibrahim AH, Abol Oyoun N, et al. Management of Combined Fracture Neck of Femur and Femoral Deformity in Osteogenesis Imperfecta Patient: A Case Report. Strategies Trauma Limb Reconstr 2024;19(1):56-59.

Abstract Image

Abstract Image

Abstract Image

骨发育不全患者合并股骨颈骨折和股骨畸形的治疗:病例报告
成骨不全症(OI)患者通常会因轻微外伤而反复骨折,而且骨骼畸形,影响行走。骨质脆弱和反复骨折会导致长骨畸形,尤其是股骨和胫骨。然而,很少有人描述过 OI 中的股骨颈(NOF)骨折。一名已知患有 OI(Sillence IV 型)的 11 岁男性患者在一次跌倒后发生了股骨颈骨折。他的股骨近端前外侧近端和髓内(IM)棒插入处也有弯曲。他接受了矫正截骨术,并用 IM 伸缩钉稳定了畸形股骨,用瓦格纳技术治疗了 NOF 骨折。术后一年,患者的功能恢复令人满意,NOF 骨折愈合,股骨畸形也得到了矫正:结论:瓦格纳技术可实现股骨颈骨折的稳定固定,且对同时插入的伸缩钉干扰最小:Elbaseet HM, Ibrahim AH, Abol Oyoun N, et al:病例报告。Strategies Trauma Limb Reconstr 2024;19(1):56-59.
本文章由计算机程序翻译,如有差异,请以英文原文为准。
求助全文
约1分钟内获得全文 求助全文
来源期刊
Strategies in Trauma and Limb Reconstruction
Strategies in Trauma and Limb Reconstruction Medicine-Orthopedics and Sports Medicine
CiteScore
1.50
自引率
0.00%
发文量
31
期刊介绍: Strategies in Trauma and Limb Reconstruction is dedicated to surgeons, allied medical professionals and researchers in the field of orthopaedics and trauma. The scope of the journal is to discuss the fields of skeletal injury, and the complications thereof, congenital and acquired limb deformities and deficiencies, and orthopaedic-related infection, together with their surgical and non-surgical treatments. The journal publishes original articles, reviews, case reports, descriptions of new or recognised treatment techniques, forum discussions of clinical scenarios and relevant correspondence. It aims to provide a widely accessible source of useful information to practitioners in the field through the problem- or technique-based approach of published articles.
×
引用
GB/T 7714-2015
复制
MLA
复制
APA
复制
导出至
BibTeX EndNote RefMan NoteFirst NoteExpress
×
提示
您的信息不完整,为了账户安全,请先补充。
现在去补充
×
提示
您因"违规操作"
具体请查看互助需知
我知道了
×
提示
确定
请完成安全验证×
copy
已复制链接
快去分享给好友吧!
我知道了
右上角分享
点击右上角分享
0
联系我们:info@booksci.cn Book学术提供免费学术资源搜索服务,方便国内外学者检索中英文文献。致力于提供最便捷和优质的服务体验。 Copyright © 2023 布克学术 All rights reserved.
京ICP备2023020795号-1
ghs 京公网安备 11010802042870号
Book学术文献互助
Book学术文献互助群
群 号:604180095
Book学术官方微信