Two Extremely Preterm Infants Discharged with a Home High-Flow Nasal Cannula for Severe Bronchopulmonary Dysplasia.

IF 0.5 Q4 PEDIATRICS
Case Reports in Pediatrics Pub Date : 2024-05-06 eCollection Date: 2024-01-01 DOI:10.1155/2024/3266928
Yuichi Kubo, Takuya Tokuhisa, Hiroshi Ohashi
{"title":"Two Extremely Preterm Infants Discharged with a Home High-Flow Nasal Cannula for Severe Bronchopulmonary Dysplasia.","authors":"Yuichi Kubo, Takuya Tokuhisa, Hiroshi Ohashi","doi":"10.1155/2024/3266928","DOIUrl":null,"url":null,"abstract":"<p><p>Home high-flow nasal cannula (HFNC) use in the neonatal field has become prevalent as a noninvasive respiratory support, but its application in home care remains rare. We report two cases in which a home HFNC was effective in managing extremely low-birth-weight infants with severe bronchopulmonary dysplasia (BPD). Case 1 was a male infant born at 22 weeks' gestation weighing 435 g. Case 2 was a female infant born at 23 weeks' gestation weighing 450 g. Both patients had mothers with chronic placental abruption or chorioamnionitis. They transitioned from invasive mechanical ventilation to nasal CPAP (nCPAP) at 45 days (case 1) and 50 days (case 2) old. Subsequently, at 324 days (case 1) and 90 days (case 2) old, they transitioned to a HFNC, demonstrating stable oxygenation and ventilation, but faced difficulty in removal. Considering the drawbacks of prolonged hospitalization, the patients were discharged using a home HFNC at 404 days (case 1) and 391 days (case 2) old. For case 1, the HFNC was set at 4 L/min of room air and 2 L/min of oxygen, whereas for case 2, it was set at 5 L/min of room air and 1 L/min of oxygen. These settings maintained an SpO<sub>2</sub> above 90% and a pCO<sub>2</sub> below 60 mmHg. An HFNC offers advantages over nCPAP owing to its lower invasiveness and reduced discomfort for long-term use. However, reports on the use of a home HFNC for BPD are scarce. In recent years, while premature infant mortality has decreased worldwide, the incidence of BPD has risen, necessitating preparedness for prolonged ventilation in preterm infants. Home ventilators represent a strategy to prevent extended hospitalization, and based on our cases, home HFNC for BPD appears safe and effective, making it potentially useful for managing preterm infants requiring prolonged respiratory support in the future.</p>","PeriodicalId":9623,"journal":{"name":"Case Reports in Pediatrics","volume":"2024 ","pages":"3266928"},"PeriodicalIF":0.5000,"publicationDate":"2024-05-06","publicationTypes":"Journal Article","fieldsOfStudy":null,"isOpenAccess":false,"openAccessPdf":"https://www.ncbi.nlm.nih.gov/pmc/articles/PMC11090667/pdf/","citationCount":"0","resultStr":null,"platform":"Semanticscholar","paperid":null,"PeriodicalName":"Case Reports in Pediatrics","FirstCategoryId":"1085","ListUrlMain":"https://doi.org/10.1155/2024/3266928","RegionNum":0,"RegionCategory":null,"ArticlePicture":[],"TitleCN":null,"AbstractTextCN":null,"PMCID":null,"EPubDate":"2024/1/1 0:00:00","PubModel":"eCollection","JCR":"Q4","JCRName":"PEDIATRICS","Score":null,"Total":0}
引用次数: 0

Abstract

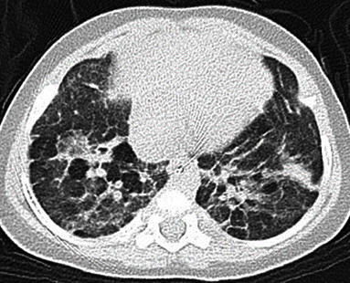
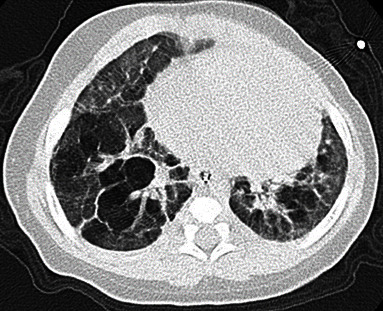
Home high-flow nasal cannula (HFNC) use in the neonatal field has become prevalent as a noninvasive respiratory support, but its application in home care remains rare. We report two cases in which a home HFNC was effective in managing extremely low-birth-weight infants with severe bronchopulmonary dysplasia (BPD). Case 1 was a male infant born at 22 weeks' gestation weighing 435 g. Case 2 was a female infant born at 23 weeks' gestation weighing 450 g. Both patients had mothers with chronic placental abruption or chorioamnionitis. They transitioned from invasive mechanical ventilation to nasal CPAP (nCPAP) at 45 days (case 1) and 50 days (case 2) old. Subsequently, at 324 days (case 1) and 90 days (case 2) old, they transitioned to a HFNC, demonstrating stable oxygenation and ventilation, but faced difficulty in removal. Considering the drawbacks of prolonged hospitalization, the patients were discharged using a home HFNC at 404 days (case 1) and 391 days (case 2) old. For case 1, the HFNC was set at 4 L/min of room air and 2 L/min of oxygen, whereas for case 2, it was set at 5 L/min of room air and 1 L/min of oxygen. These settings maintained an SpO2 above 90% and a pCO2 below 60 mmHg. An HFNC offers advantages over nCPAP owing to its lower invasiveness and reduced discomfort for long-term use. However, reports on the use of a home HFNC for BPD are scarce. In recent years, while premature infant mortality has decreased worldwide, the incidence of BPD has risen, necessitating preparedness for prolonged ventilation in preterm infants. Home ventilators represent a strategy to prevent extended hospitalization, and based on our cases, home HFNC for BPD appears safe and effective, making it potentially useful for managing preterm infants requiring prolonged respiratory support in the future.

Abstract Image

Abstract Image

两名早产儿因严重支气管肺发育不良而使用家用高流量鼻导管出院。
在新生儿领域,家用高流量鼻插管(HFNC)作为一种无创呼吸支持技术已经非常普遍,但在家庭护理中的应用仍然很少。我们报告了两例家庭 HFNC 有效治疗严重支气管肺发育不良(BPD)的极低出生体重婴儿的病例。病例 1 是一名男婴,妊娠 22 周时出生,体重 435 克。病例 2 是一名女婴,妊娠 23 周时出生,体重 450 克。两名患者的母亲都患有慢性胎盘早剥或绒毛膜羊膜炎。他们分别在出生 45 天(病例 1)和 50 天(病例 2)时从有创机械通气过渡到鼻用 CPAP(nCPAP)。随后,在 324 天(病例 1)和 90 天(病例 2)时,他们过渡到了高频数控系统,显示出稳定的氧合和通气,但面临着移除困难。考虑到长期住院的弊端,患者在 404 天(病例 1)和 391 天(病例 2)时使用家用 HFNC 出院。病例 1 的 HFNC 设置为每分钟 4 升室内空气和每分钟 2 升氧气,而病例 2 则设置为每分钟 5 升室内空气和每分钟 1 升氧气。这些设置使 SpO2 保持在 90% 以上,pCO2 保持在 60 mmHg 以下。与 nCPAP 相比,高频无创呼吸机的优点是创口小,长期使用可减少不适感。然而,有关使用家用高频数控系统治疗 BPD 的报道却很少。近年来,虽然全球早产儿死亡率有所下降,但 BPD 的发病率却有所上升,因此有必要为早产儿的长期通气做好准备。家庭呼吸机是防止延长住院时间的一种策略,根据我们的病例,家庭高频数控系统治疗 BPD 似乎安全有效,使其有可能在未来用于管理需要长时间呼吸支持的早产儿。
本文章由计算机程序翻译,如有差异,请以英文原文为准。
求助全文
约1分钟内获得全文 求助全文
来源期刊
自引率
11.10%
发文量
48
审稿时长
13 weeks
×
引用
GB/T 7714-2015
复制
MLA
复制
APA
复制
导出至
BibTeX EndNote RefMan NoteFirst NoteExpress
×
提示
您的信息不完整,为了账户安全,请先补充。
现在去补充
×
提示
您因"违规操作"
具体请查看互助需知
我知道了
×
提示
确定
请完成安全验证×
copy
已复制链接
快去分享给好友吧!
我知道了
右上角分享
点击右上角分享
0
联系我们:info@booksci.cn Book学术提供免费学术资源搜索服务,方便国内外学者检索中英文文献。致力于提供最便捷和优质的服务体验。 Copyright © 2023 布克学术 All rights reserved.
京ICP备2023020795号-1
ghs 京公网安备 11010802042870号
Book学术文献互助
Book学术文献互助群
群 号:604180095
Book学术官方微信