Hepatic Epithelioid Hemangioendothelioma Mimicking Liver Metastases in a Young Woman.

IF 1.3 4区 医学 Q4 RADIOLOGY, NUCLEAR MEDICINE & MEDICAL IMAGING
Journal of the Belgian Society of Radiology Pub Date : 2024-05-03 eCollection Date: 2024-01-01 DOI:10.5334/jbsr.3578
Jarno De Craemer, Bart Mortelé, Bart Lutin
{"title":"Hepatic Epithelioid Hemangioendothelioma Mimicking Liver Metastases in a Young Woman.","authors":"Jarno De Craemer, Bart Mortelé, Bart Lutin","doi":"10.5334/jbsr.3578","DOIUrl":null,"url":null,"abstract":"<p><p><i>Teaching point:</i> When confronted with multifocal \"metastasis-like\" liver lesions without a known primary tumor, in particular in younger female patients, considering hepatic epithelioid hemangioendothelioma (HEHE) in the differential diagnosis can guide pathological examination and potentially avoid the need for multiple invasive biopsies.</p>","PeriodicalId":55987,"journal":{"name":"Journal of the Belgian Society of Radiology","volume":"108 1","pages":"48"},"PeriodicalIF":1.3000,"publicationDate":"2024-05-03","publicationTypes":"Journal Article","fieldsOfStudy":null,"isOpenAccess":false,"openAccessPdf":"https://www.ncbi.nlm.nih.gov/pmc/articles/PMC11086594/pdf/","citationCount":"0","resultStr":null,"platform":"Semanticscholar","paperid":null,"PeriodicalName":"Journal of the Belgian Society of Radiology","FirstCategoryId":"3","ListUrlMain":"https://doi.org/10.5334/jbsr.3578","RegionNum":4,"RegionCategory":"医学","ArticlePicture":[],"TitleCN":null,"AbstractTextCN":null,"PMCID":null,"EPubDate":"2024/1/1 0:00:00","PubModel":"eCollection","JCR":"Q4","JCRName":"RADIOLOGY, NUCLEAR MEDICINE & MEDICAL IMAGING","Score":null,"Total":0}
引用次数: 0

Abstract

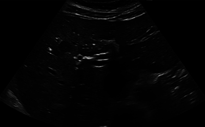
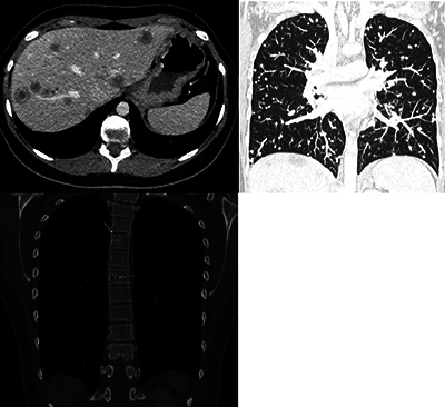
Teaching point: When confronted with multifocal "metastasis-like" liver lesions without a known primary tumor, in particular in younger female patients, considering hepatic epithelioid hemangioendothelioma (HEHE) in the differential diagnosis can guide pathological examination and potentially avoid the need for multiple invasive biopsies.

Abstract Image

Abstract Image

Abstract Image

一名年轻女性的肝上皮样血管内皮瘤模仿肝转移灶
教学要点:当遇到没有已知原发肿瘤的多灶性 "转移样 "肝脏病变时,尤其是年轻女性患者,将肝上皮样血管内皮细胞瘤(HEHE)纳入鉴别诊断可指导病理检查,并有可能避免进行多次有创活检。
本文章由计算机程序翻译,如有差异,请以英文原文为准。
求助全文
约1分钟内获得全文 求助全文
来源期刊
Journal of the Belgian Society of Radiology
Journal of the Belgian Society of Radiology Medicine-Radiology, Nuclear Medicine and Imaging
CiteScore
0.70
自引率
5.00%
发文量
96
期刊介绍: The purpose of the Journal of the Belgian Society of Radiology is the publication of articles dealing with diagnostic and interventional radiology, related imaging techniques, allied sciences, and continuing education.
×
引用
GB/T 7714-2015
复制
MLA
复制
APA
复制
导出至
BibTeX EndNote RefMan NoteFirst NoteExpress
×
提示
您的信息不完整,为了账户安全,请先补充。
现在去补充
×
提示
您因"违规操作"
具体请查看互助需知
我知道了
×
提示
确定
请完成安全验证×
copy
已复制链接
快去分享给好友吧!
我知道了
右上角分享
点击右上角分享
0
联系我们:info@booksci.cn Book学术提供免费学术资源搜索服务,方便国内外学者检索中英文文献。致力于提供最便捷和优质的服务体验。 Copyright © 2023 布克学术 All rights reserved.
京ICP备2023020795号-1
ghs 京公网安备 11010802042870号
Book学术文献互助
Book学术文献互助群
群 号:604180095
Book学术官方微信