Spontaneous Coronary Artery Dissection in a Male Patient With Fibromuscular Dysplasia.

IF 0.9 4区 医学
Artur Schneider, S Michael Gharacholou
{"title":"Spontaneous Coronary Artery Dissection in a Male Patient With Fibromuscular Dysplasia.","authors":"Artur Schneider, S Michael Gharacholou","doi":"10.14503/THIJ-23-8358","DOIUrl":null,"url":null,"abstract":"<p><p>A male patient presented with cardiac arrest attributed to anterior ST-segment elevation myocardial infarction from type 1 spontaneous coronary artery dissection. Subsequent imaging confirmed fibromuscular dysplasia in noncoronary arterial segments. The patient was started on guideline-directed medical therapy and referred to cardiac rehabilitation, showing substantial improvements in clinical status. With greater awareness and advancements in imaging, spontaneous coronary artery dissection has been more frequently recognized, and although as many as 81% to 92% of all cases occur in female patients, it can be seen among men, as well. Adjunctive imaging for arteriopathies may help establish the diagnosis for equivocal causes of acute coronary syndrome in women and men.</p>","PeriodicalId":48680,"journal":{"name":"Texas Heart Institute Journal","volume":"51 1","pages":""},"PeriodicalIF":0.9000,"publicationDate":"2024-05-09","publicationTypes":"Journal Article","fieldsOfStudy":null,"isOpenAccess":false,"openAccessPdf":"https://www.ncbi.nlm.nih.gov/pmc/articles/PMC11080985/pdf/","citationCount":"0","resultStr":null,"platform":"Semanticscholar","paperid":null,"PeriodicalName":"Texas Heart Institute Journal","FirstCategoryId":"3","ListUrlMain":"https://doi.org/10.14503/THIJ-23-8358","RegionNum":4,"RegionCategory":"医学","ArticlePicture":[],"TitleCN":null,"AbstractTextCN":null,"PMCID":null,"EPubDate":"","PubModel":"","JCR":"","JCRName":"","Score":null,"Total":0}
引用次数: 0

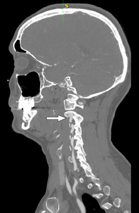
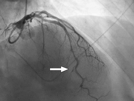
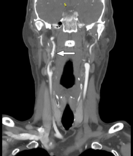
Abstract

A male patient presented with cardiac arrest attributed to anterior ST-segment elevation myocardial infarction from type 1 spontaneous coronary artery dissection. Subsequent imaging confirmed fibromuscular dysplasia in noncoronary arterial segments. The patient was started on guideline-directed medical therapy and referred to cardiac rehabilitation, showing substantial improvements in clinical status. With greater awareness and advancements in imaging, spontaneous coronary artery dissection has been more frequently recognized, and although as many as 81% to 92% of all cases occur in female patients, it can be seen among men, as well. Adjunctive imaging for arteriopathies may help establish the diagnosis for equivocal causes of acute coronary syndrome in women and men.

Abstract Image

Abstract Image

Abstract Image

一名纤维肌发育不良男性患者的自发性冠状动脉夹层
一名男性患者因 1 型自发性冠状动脉夹层导致前 ST 段抬高型心肌梗死而心跳骤停。随后的影像学检查证实,非冠状动脉段存在纤维肌性发育不良。患者开始接受指南指导下的药物治疗,并被转诊至心脏康复中心,临床状况有了很大改善。尽管高达 81% 至 92% 的病例发生在女性患者身上,但男性患者也有可能发生。动脉病变的辅助影像学检查有助于确定女性和男性急性冠状动脉综合征的诊断。
本文章由计算机程序翻译,如有差异,请以英文原文为准。
求助全文
约1分钟内获得全文 求助全文
来源期刊
Texas Heart Institute Journal
Texas Heart Institute Journal CARDIAC & CARDIOVASCULAR SYSTEMS-
自引率
11.10%
发文量
131
期刊介绍: For more than 45 years, the Texas Heart Institute Journal has been published by the Texas Heart Institute as part of its medical education program. Our bimonthly peer-reviewed journal enjoys a global audience of physicians, scientists, and healthcare professionals who are contributing to the prevention, diagnosis, and treatment of cardiovascular disease. The Journal was printed under the name of Cardiovascular Diseases from 1974 through 1981 (ISSN 0093-3546). The name was changed to Texas Heart Institute Journal in 1982 and was printed through 2013 (ISSN 0730-2347). In 2014, the Journal moved to online-only publication. It is indexed by Index Medicus/MEDLINE and by other indexing and abstracting services worldwide. Our full archive is available at PubMed Central. The Journal invites authors to submit these article types for review: -Clinical Investigations- Laboratory Investigations- Reviews- Techniques- Coronary Anomalies- History of Medicine- Case Reports/Case Series (Submission Fee: $70.00 USD)- Images in Cardiovascular Medicine (Submission Fee: $35.00 USD)- Guest Editorials- Peabody’s Corner- Letters to the Editor
×
引用
GB/T 7714-2015
复制
MLA
复制
APA
复制
导出至
BibTeX EndNote RefMan NoteFirst NoteExpress
×
提示
您的信息不完整,为了账户安全,请先补充。
现在去补充
×
提示
您因"违规操作"
具体请查看互助需知
我知道了
×
提示
确定
请完成安全验证×
copy
已复制链接
快去分享给好友吧!
我知道了
右上角分享
点击右上角分享
0
联系我们:info@booksci.cn Book学术提供免费学术资源搜索服务,方便国内外学者检索中英文文献。致力于提供最便捷和优质的服务体验。 Copyright © 2023 布克学术 All rights reserved.
京ICP备2023020795号-1
ghs 京公网安备 11010802042870号
Book学术文献互助
Book学术文献互助群
群 号:604180095
Book学术官方微信