Acute presentation of Wunderlich syndrome in a pregnant woman treated with supra-selective cannulation of renal segmental arteries and nephrectomy: A case report.

Q3 Medicine
Oscar Orlando Sanabria-Rodríguez, Carlos Fernando Grillo-Ardila, Daniela Mojica-Méndez, Santiago Bottia-Córdoba
{"title":"Acute presentation of Wunderlich syndrome in a pregnant woman treated with supra-selective cannulation of renal segmental arteries and nephrectomy: A case report.","authors":"Oscar Orlando Sanabria-Rodríguez, Carlos Fernando Grillo-Ardila, Daniela Mojica-Méndez, Santiago Bottia-Córdoba","doi":"10.4103/ijciis.ijciis_45_23","DOIUrl":null,"url":null,"abstract":"<p><p>Wunderlich syndrome is characterized by the presence of abdominal pain, hematuria, and hypovolemic shock. We report a rare case of a 25-year-old pregnant woman, who came to the emergency department due to the sudden onset of low back pain and diaphoresis. The patient, during medical evaluation, experienced an altered state of consciousness. Diagnosed with hypovolemic shock, she was admitted to the operating room, where examination of the abdominal cavity revealed a left retroperitoneal hematoma. Damage control surgery was performed, but given the postoperative clinical deterioration, computerized tomography angiography of the abdomen was performed, showing a mass-like lesion arising from the upper pole of the left kidney, consistent with Wunderlich syndrome. Left nephrectomy was the definitive treatment for the 10-cm renal angiomyolipoma. Since Wunderlich syndrome is a potentially lethal entity, CT is usually the preferred diagnostic approach, and supra-selective vascular embolization is the first-line treatment.</p>","PeriodicalId":13938,"journal":{"name":"International Journal of Critical Illness and Injury Science","volume":"14 1","pages":"62-65"},"PeriodicalIF":0.0000,"publicationDate":"2024-01-01","publicationTypes":"Journal Article","fieldsOfStudy":null,"isOpenAccess":false,"openAccessPdf":"https://www.ncbi.nlm.nih.gov/pmc/articles/PMC11073645/pdf/","citationCount":"0","resultStr":null,"platform":"Semanticscholar","paperid":null,"PeriodicalName":"International Journal of Critical Illness and Injury Science","FirstCategoryId":"1085","ListUrlMain":"https://doi.org/10.4103/ijciis.ijciis_45_23","RegionNum":0,"RegionCategory":null,"ArticlePicture":[],"TitleCN":null,"AbstractTextCN":null,"PMCID":null,"EPubDate":"2024/3/27 0:00:00","PubModel":"Epub","JCR":"Q3","JCRName":"Medicine","Score":null,"Total":0}
引用次数: 0

Abstract

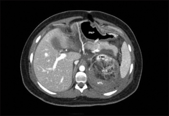
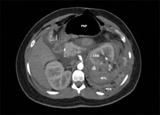
Wunderlich syndrome is characterized by the presence of abdominal pain, hematuria, and hypovolemic shock. We report a rare case of a 25-year-old pregnant woman, who came to the emergency department due to the sudden onset of low back pain and diaphoresis. The patient, during medical evaluation, experienced an altered state of consciousness. Diagnosed with hypovolemic shock, she was admitted to the operating room, where examination of the abdominal cavity revealed a left retroperitoneal hematoma. Damage control surgery was performed, but given the postoperative clinical deterioration, computerized tomography angiography of the abdomen was performed, showing a mass-like lesion arising from the upper pole of the left kidney, consistent with Wunderlich syndrome. Left nephrectomy was the definitive treatment for the 10-cm renal angiomyolipoma. Since Wunderlich syndrome is a potentially lethal entity, CT is usually the preferred diagnostic approach, and supra-selective vascular embolization is the first-line treatment.

Abstract Image

Abstract Image

一名孕妇急性 Wunderlich 综合征,经超选择性肾段动脉插管和肾切除术治疗:病例报告。
Wunderlich 综合征的特征是腹痛、血尿和低血容量性休克。我们报告了一例罕见病例,患者是一名 25 岁的孕妇,因突然出现腰背痛和全身乏力而到急诊科就诊。在医疗评估期间,患者出现了意识改变。她被诊断为低血容量性休克,被送入手术室,腹腔检查发现左后腹膜血肿。虽然进行了损伤控制手术,但鉴于术后临床症状恶化,又进行了腹部计算机断层扫描血管造影,结果显示左肾上端出现肿块样病变,与 Wunderlich 综合征一致。左肾切除术是治疗 10 厘米肾血管肌脂肪瘤的最终方法。由于 Wunderlich 综合征是一种潜在的致死性疾病,CT 通常是首选的诊断方法,超选择性血管栓塞是一线治疗方法。
本文章由计算机程序翻译,如有差异,请以英文原文为准。
求助全文
约1分钟内获得全文 求助全文
来源期刊
CiteScore
1.40
自引率
0.00%
发文量
37
期刊介绍: IJCIIS encourages research, education and dissemination of knowledge in the field of Critical Illness and Injury Science across the world thus promoting translational research by striking a synergy between basic science, clinical medicine and public health. The Journal intends to bring together scientists and academicians in the emergency intensive care and promote translational synergy between Laboratory Science, Clinical Medicine and Public Health. The Journal invites Original Articles, Clinical Investigations, Epidemiological Analysis, Data Protocols, Case Reports, Clinical Photographs, review articles and special commentaries. Students, Residents, Academicians, Public Health experts and scientists are all encouraged to be a part of this initiative by contributing, reviewing and promoting scientific works and science.
×
引用
GB/T 7714-2015
复制
MLA
复制
APA
复制
导出至
BibTeX EndNote RefMan NoteFirst NoteExpress
×
提示
您的信息不完整,为了账户安全,请先补充。
现在去补充
×
提示
您因"违规操作"
具体请查看互助需知
我知道了
×
提示
确定
请完成安全验证×
copy
已复制链接
快去分享给好友吧!
我知道了
右上角分享
点击右上角分享
0
联系我们:info@booksci.cn Book学术提供免费学术资源搜索服务,方便国内外学者检索中英文文献。致力于提供最便捷和优质的服务体验。 Copyright © 2023 布克学术 All rights reserved.
京ICP备2023020795号-1
ghs 京公网安备 11010802042870号
Book学术文献互助
Book学术文献互助群
群 号:604180095
Book学术官方微信