Intractable Postoperative Pancreatic Fistula: Undefined Type of Pancreatic Fistula Managed by Puestow-Like Procedure.

IF 2 Q2 MEDICINE, GENERAL & INTERNAL
Journal of clinical medicine research Pub Date : 2024-04-01 Epub Date: 2024-04-30 DOI:10.14740/jocmr5123
Basel Darawsha, Subhi Mansour, Tawfik Fahoum, Naseem Azzam, Hayim Gilshtein, Yoram Kluger, Ahmad Assalia, Safi Khuri
{"title":"Intractable Postoperative Pancreatic Fistula: Undefined Type of Pancreatic Fistula Managed by Puestow-Like Procedure.","authors":"Basel Darawsha, Subhi Mansour, Tawfik Fahoum, Naseem Azzam, Hayim Gilshtein, Yoram Kluger, Ahmad Assalia, Safi Khuri","doi":"10.14740/jocmr5123","DOIUrl":null,"url":null,"abstract":"<p><p>Pancreatoduodenectomy (PD) is a very complex and highly challenging operation for surgeons worldwide. It is the surgical procedure of choice for the management of benign and malignant diseases of the periampullary region. Although mortality rate following this complicated surgery has fallen to 1-3%, morbidity rate following PD remains high, with almost 30-40% of patients developing at least one complication. Postoperative pancreatic fistula (POPF) is one of the most common complications following PD. Therefore, Pancreatico-enteric anastomosis has been regarded as the \"Achilles heel\" of the modern, one-stage PD procedure. According to the International Study Group of Pancreatic Surgery (ISGPS), three types of POPF are recognized nowadays: biochemical leak, previously known as grade A POPF, grade B and grade C, with the latter being the most dangerous. Most POPFs, especially of the biochemical leak and grade B heal with non-operative management to recur later and present as an intra-abdominal abscess or pseudocyst, necessitating management by means of interventional radiology, endoscopy or surgery. These types of fistulas are undefined and occasionally intractable. Herein, we present two patients who presented with the aforementioned type of pancreatic fistula following duct occlusion PD. The first patient, a 53-year-old female patient, suffered from intolerance to oral feeding, severe weight loss and recurrent hospital admission, while the second patient, a 72-year-old patient, suffered from recurrent bouts of abdominal sepsis. Their management involved step-up approach, starting with non-operative management, followed by percutaneous drainage and operative treatment in the form of Puestow-like procedure (longitudinal pancreatojejunostomy), as a recourse due to the inadequacy of preceding therapeutic modalities.</p>","PeriodicalId":94329,"journal":{"name":"Journal of clinical medicine research","volume":"16 4","pages":"182-188"},"PeriodicalIF":2.0000,"publicationDate":"2024-04-01","publicationTypes":"Journal Article","fieldsOfStudy":null,"isOpenAccess":false,"openAccessPdf":"https://www.ncbi.nlm.nih.gov/pmc/articles/PMC11073391/pdf/","citationCount":"0","resultStr":null,"platform":"Semanticscholar","paperid":null,"PeriodicalName":"Journal of clinical medicine research","FirstCategoryId":"1085","ListUrlMain":"https://doi.org/10.14740/jocmr5123","RegionNum":0,"RegionCategory":null,"ArticlePicture":[],"TitleCN":null,"AbstractTextCN":null,"PMCID":null,"EPubDate":"2024/4/30 0:00:00","PubModel":"Epub","JCR":"Q2","JCRName":"MEDICINE, GENERAL & INTERNAL","Score":null,"Total":0}
引用次数: 0

Abstract

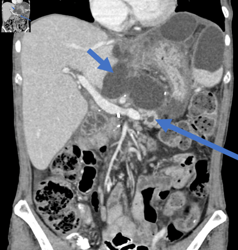
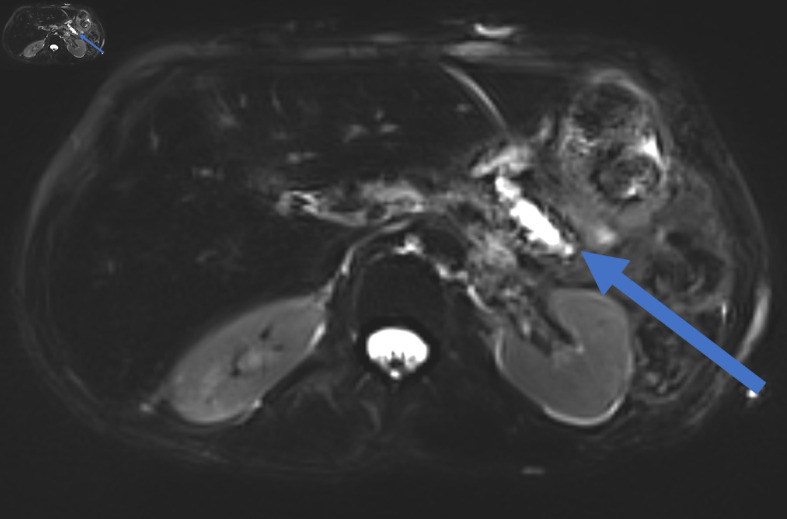
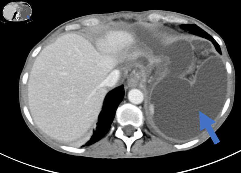
Pancreatoduodenectomy (PD) is a very complex and highly challenging operation for surgeons worldwide. It is the surgical procedure of choice for the management of benign and malignant diseases of the periampullary region. Although mortality rate following this complicated surgery has fallen to 1-3%, morbidity rate following PD remains high, with almost 30-40% of patients developing at least one complication. Postoperative pancreatic fistula (POPF) is one of the most common complications following PD. Therefore, Pancreatico-enteric anastomosis has been regarded as the "Achilles heel" of the modern, one-stage PD procedure. According to the International Study Group of Pancreatic Surgery (ISGPS), three types of POPF are recognized nowadays: biochemical leak, previously known as grade A POPF, grade B and grade C, with the latter being the most dangerous. Most POPFs, especially of the biochemical leak and grade B heal with non-operative management to recur later and present as an intra-abdominal abscess or pseudocyst, necessitating management by means of interventional radiology, endoscopy or surgery. These types of fistulas are undefined and occasionally intractable. Herein, we present two patients who presented with the aforementioned type of pancreatic fistula following duct occlusion PD. The first patient, a 53-year-old female patient, suffered from intolerance to oral feeding, severe weight loss and recurrent hospital admission, while the second patient, a 72-year-old patient, suffered from recurrent bouts of abdominal sepsis. Their management involved step-up approach, starting with non-operative management, followed by percutaneous drainage and operative treatment in the form of Puestow-like procedure (longitudinal pancreatojejunostomy), as a recourse due to the inadequacy of preceding therapeutic modalities.

Abstract Image

Abstract Image

Abstract Image

难治性术后胰瘘:通过类似 Puestow 的手术治疗未定义类型的胰瘘。
对全世界的外科医生来说,胰十二指肠切除术(PD)是一项非常复杂且极具挑战性的手术。它是治疗胰腺周围良性和恶性疾病的首选手术。虽然这种复杂手术的死亡率已降至 1-3%,但胰腺切除术后的发病率仍然很高,近 30-40% 的患者至少会出现一种并发症。术后胰瘘(POPF)是胰腺切除术后最常见的并发症之一。因此,胰肠吻合术一直被视为现代一期胰腺切除术的 "致命弱点"。根据国际胰腺外科研究小组(ISGPS)的研究,目前公认的 POPF 有三种类型:生化漏(以前称为 A 级 POPF)、B 级和 C 级,其中 C 级最为危险。大多数 POPF,尤其是生化漏和 B 级 POPF,在非手术治疗后可痊愈,但以后会复发,表现为腹腔内脓肿或假性囊肿,需要通过介入放射学、内窥镜或手术进行治疗。这些类型的瘘管并不明确,有时甚至难以治愈。在此,我们介绍两名因胰管闭塞而出现上述类型胰瘘的患者。第一例患者是一名 53 岁的女性患者,不耐受口服喂养,体重严重下降,反复入院;第二例患者是一名 72 岁的患者,反复发作腹腔败血症。对他们的治疗采取了循序渐进的方法,首先是非手术治疗,然后是经皮引流术和普氏手术(纵向胰空肠吻合术),这是由于之前的治疗方法效果不佳而采取的一种补救措施。
本文章由计算机程序翻译,如有差异,请以英文原文为准。
求助全文
约1分钟内获得全文 求助全文
来源期刊
CiteScore
5.10
自引率
0.00%
发文量
0
×
引用
GB/T 7714-2015
复制
MLA
复制
APA
复制
导出至
BibTeX EndNote RefMan NoteFirst NoteExpress
×
提示
您的信息不完整,为了账户安全,请先补充。
现在去补充
×
提示
您因"违规操作"
具体请查看互助需知
我知道了
×
提示
确定
请完成安全验证×
copy
已复制链接
快去分享给好友吧!
我知道了
右上角分享
点击右上角分享
0
联系我们:info@booksci.cn Book学术提供免费学术资源搜索服务,方便国内外学者检索中英文文献。致力于提供最便捷和优质的服务体验。 Copyright © 2023 布克学术 All rights reserved.
京ICP备2023020795号-1
ghs 京公网安备 11010802042870号
Book学术文献互助
Book学术文献互助群
群 号:604180095
Book学术官方微信