Analysis of Bladder Cancer Staging Prediction Using Deep Residual Neural Network, Radiomics, and RNA-Seq from High-Definition CT Images.

IF 2.1 4区 生物学 Q4 GENETICS & HEREDITY
Genetics research Pub Date : 2024-04-30 eCollection Date: 2024-01-01 DOI:10.1155/2024/4285171
Yao Zhou, Xingju Zheng, Zhucheng Sun, Bo Wang
{"title":"Analysis of Bladder Cancer Staging Prediction Using Deep Residual Neural Network, Radiomics, and RNA-Seq from High-Definition CT Images.","authors":"Yao Zhou, Xingju Zheng, Zhucheng Sun, Bo Wang","doi":"10.1155/2024/4285171","DOIUrl":null,"url":null,"abstract":"<p><p>Bladder cancer has recently seen an alarming increase in global diagnoses, ascending as a predominant cause of cancer-related mortalities. Given this pressing scenario, there is a burgeoning need to identify effective biomarkers for both the diagnosis and therapeutic guidance of bladder cancer. This study focuses on evaluating the potential of high-definition computed tomography (CT) imagery coupled with RNA-sequencing analysis to accurately predict bladder tumor stages, utilizing deep residual networks. Data for this study, including CT images and RNA-Seq datasets for 82 high-grade bladder cancer patients, were sourced from the TCIA and TCGA databases. We employed Cox and lasso regression analyses to determine radiomics and gene signatures, leading to the identification of a three-factor radiomics signature and a four-gene signature in our bladder cancer cohort. ROC curve analyses underscored the strong predictive capacities of both these signatures. Furthermore, we formulated a nomogram integrating clinical features, radiomics, and gene signatures. This nomogram's AUC scores stood at 0.870, 0.873, and 0.971 for 1-year, 3-year, and 5-year predictions, respectively. Our model, leveraging radiomics and gene signatures, presents significant promise for enhancing diagnostic precision in bladder cancer prognosis, advocating for its clinical adoption.</p>","PeriodicalId":12778,"journal":{"name":"Genetics research","volume":"2024 ","pages":"4285171"},"PeriodicalIF":2.1000,"publicationDate":"2024-04-30","publicationTypes":"Journal Article","fieldsOfStudy":null,"isOpenAccess":false,"openAccessPdf":"https://www.ncbi.nlm.nih.gov/pmc/articles/PMC11074870/pdf/","citationCount":"0","resultStr":null,"platform":"Semanticscholar","paperid":null,"PeriodicalName":"Genetics research","FirstCategoryId":"99","ListUrlMain":"https://doi.org/10.1155/2024/4285171","RegionNum":4,"RegionCategory":"生物学","ArticlePicture":[],"TitleCN":null,"AbstractTextCN":null,"PMCID":null,"EPubDate":"2024/1/1 0:00:00","PubModel":"eCollection","JCR":"Q4","JCRName":"GENETICS & HEREDITY","Score":null,"Total":0}
引用次数: 0

Abstract

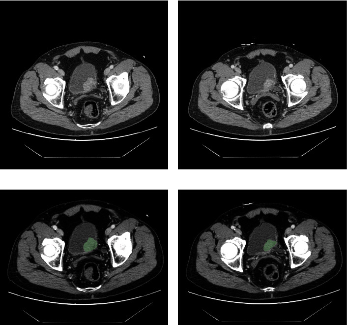
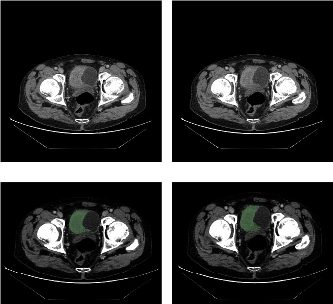
Bladder cancer has recently seen an alarming increase in global diagnoses, ascending as a predominant cause of cancer-related mortalities. Given this pressing scenario, there is a burgeoning need to identify effective biomarkers for both the diagnosis and therapeutic guidance of bladder cancer. This study focuses on evaluating the potential of high-definition computed tomography (CT) imagery coupled with RNA-sequencing analysis to accurately predict bladder tumor stages, utilizing deep residual networks. Data for this study, including CT images and RNA-Seq datasets for 82 high-grade bladder cancer patients, were sourced from the TCIA and TCGA databases. We employed Cox and lasso regression analyses to determine radiomics and gene signatures, leading to the identification of a three-factor radiomics signature and a four-gene signature in our bladder cancer cohort. ROC curve analyses underscored the strong predictive capacities of both these signatures. Furthermore, we formulated a nomogram integrating clinical features, radiomics, and gene signatures. This nomogram's AUC scores stood at 0.870, 0.873, and 0.971 for 1-year, 3-year, and 5-year predictions, respectively. Our model, leveraging radiomics and gene signatures, presents significant promise for enhancing diagnostic precision in bladder cancer prognosis, advocating for its clinical adoption.

Abstract Image

Abstract Image

Abstract Image

利用深度残差神经网络、放射组学和RNA-Seq对高清CT图像进行膀胱癌分期预测分析
最近,膀胱癌的全球诊断率出现了惊人的增长,已成为癌症相关死亡的主要原因。在这种紧迫的形势下,人们急需确定有效的生物标志物,用于膀胱癌的诊断和治疗指导。本研究的重点是评估高清计算机断层扫描(CT)图像与 RNA 序列分析相结合,利用深度残差网络准确预测膀胱肿瘤分期的潜力。本研究的数据,包括 82 名高级别膀胱癌患者的 CT 图像和 RNA 序列数据集,均来自 TCIA 和 TCGA 数据库。我们采用 Cox 和 lasso 回归分析来确定放射组学和基因特征,从而在膀胱癌队列中确定了三因子放射组学特征和四基因特征。ROC 曲线分析强调了这两个特征的强大预测能力。此外,我们还制定了一个整合临床特征、放射组学和基因特征的提名图。该提名图在 1 年、3 年和 5 年预测中的 AUC 分别为 0.870、0.873 和 0.971。我们的模型充分利用了放射组学和基因特征,在提高膀胱癌预后诊断精确度方面大有可为,值得临床采用。
本文章由计算机程序翻译,如有差异,请以英文原文为准。
求助全文
约1分钟内获得全文 求助全文
来源期刊
Genetics research
Genetics research 生物-遗传学
自引率
6.70%
发文量
74
审稿时长
>12 weeks
期刊介绍: Genetics Research is a key forum for original research on all aspects of human and animal genetics, reporting key findings on genomes, genes, mutations and molecular interactions, extending out to developmental, evolutionary, and population genetics as well as ethical, legal and social aspects. Our aim is to lead to a better understanding of genetic processes in health and disease. The journal focuses on the use of new technologies, such as next generation sequencing together with bioinformatics analysis, to produce increasingly detailed views of how genes function in tissues and how these genes perform, individually or collectively, in normal development and disease aetiology. The journal publishes original work, review articles, short papers, computational studies, and novel methods and techniques in research covering humans and well-established genetic organisms. Key subject areas include medical genetics, genomics, human evolutionary and population genetics, bioinformatics, genetics of complex traits, molecular and developmental genetics, Evo-Devo, quantitative and statistical genetics, behavioural genetics and environmental genetics. The breadth and quality of research make the journal an invaluable resource for medical geneticists, molecular biologists, bioinformaticians and researchers involved in genetic basis of diseases, evolutionary and developmental studies.
×
引用
GB/T 7714-2015
复制
MLA
复制
APA
复制
导出至
BibTeX EndNote RefMan NoteFirst NoteExpress
×
提示
您的信息不完整,为了账户安全,请先补充。
现在去补充
×
提示
您因"违规操作"
具体请查看互助需知
我知道了
×
提示
确定
请完成安全验证×
copy
已复制链接
快去分享给好友吧!
我知道了
右上角分享
点击右上角分享
0
联系我们:info@booksci.cn Book学术提供免费学术资源搜索服务,方便国内外学者检索中英文文献。致力于提供最便捷和优质的服务体验。 Copyright © 2023 布克学术 All rights reserved.
京ICP备2023020795号-1
ghs 京公网安备 11010802042870号
Book学术文献互助
Book学术文献互助群
群 号:604180095
Book学术官方微信