Telescoping into Adulthood: A Case Report of Intussusception in an Adult Patient.

Journal of education & teaching in emergency medicine Pub Date : 2024-04-30 eCollection Date: 2024-04-01 DOI:10.21980/J8Q06C
Neena Joy, Laura Kolster
{"title":"Telescoping into Adulthood: A Case Report of Intussusception in an Adult Patient.","authors":"Neena Joy, Laura Kolster","doi":"10.21980/J8Q06C","DOIUrl":null,"url":null,"abstract":"<p><p>Intussusception is a familiar diagnosis among the pediatric population; however, it is rarely considered among the adult population due to a myriad of life-threatening pathologies within the abdomen. We present an adult female who presented to the emergency department (ED) with abdominal pain and constipation. Laboratory testing and a computed tomography (CT) scan of the abdomen were ordered. Laboratory test results were notable for an elevated lymphocyte count as well as leukocyte esterase, white blood cells (WBC), and bacteria seen on urinalysis. The computed tomography scan detected a colo-colic intussusception secondary to a benign mass within the bowel lumen. The mass was surgically resected and the patient had an uneventful postoperative course. This unique case represents the occurrence of a pathology to which the adult population is not immune, and therefore should not be overlooked when evaluating a non-specific case of abdominal pain.</p><p><strong>Topics: </strong>Intussusception, colo-colic, obstruction, abdominal pain, constipation, female, mass, bowel, lymphocyte, ultrasound, computed tomography.</p>","PeriodicalId":73721,"journal":{"name":"Journal of education & teaching in emergency medicine","volume":"9 2","pages":"V15-V17"},"PeriodicalIF":0.0000,"publicationDate":"2024-04-30","publicationTypes":"Journal Article","fieldsOfStudy":null,"isOpenAccess":false,"openAccessPdf":"https://www.ncbi.nlm.nih.gov/pmc/articles/PMC11068315/pdf/","citationCount":"0","resultStr":null,"platform":"Semanticscholar","paperid":null,"PeriodicalName":"Journal of education & teaching in emergency medicine","FirstCategoryId":"1085","ListUrlMain":"https://doi.org/10.21980/J8Q06C","RegionNum":0,"RegionCategory":null,"ArticlePicture":[],"TitleCN":null,"AbstractTextCN":null,"PMCID":null,"EPubDate":"2024/4/1 0:00:00","PubModel":"eCollection","JCR":"","JCRName":"","Score":null,"Total":0}
引用次数: 0

Abstract

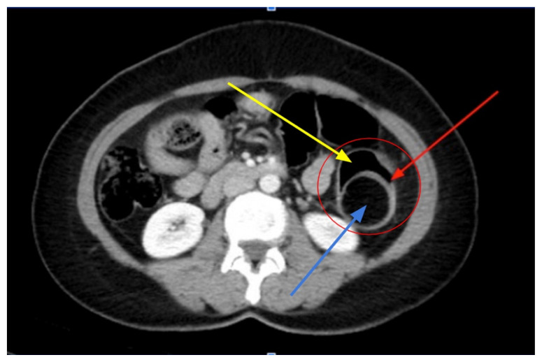
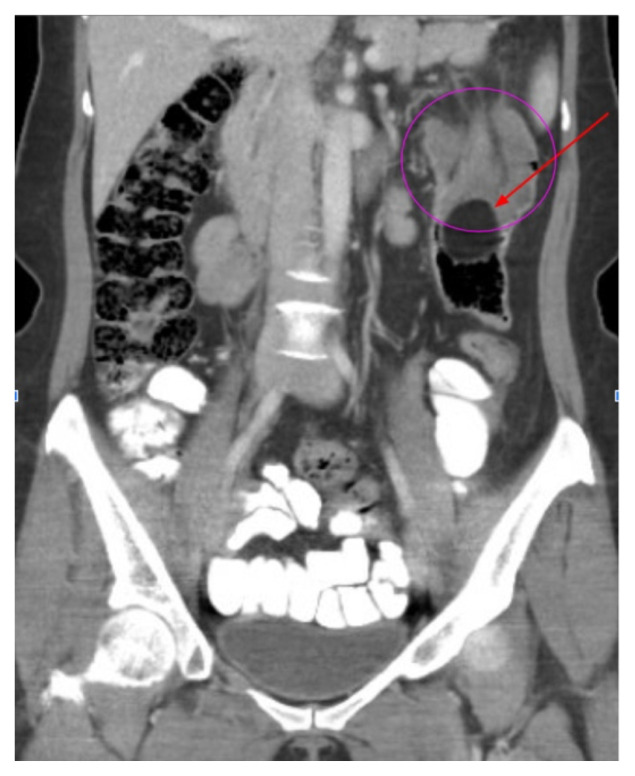
Intussusception is a familiar diagnosis among the pediatric population; however, it is rarely considered among the adult population due to a myriad of life-threatening pathologies within the abdomen. We present an adult female who presented to the emergency department (ED) with abdominal pain and constipation. Laboratory testing and a computed tomography (CT) scan of the abdomen were ordered. Laboratory test results were notable for an elevated lymphocyte count as well as leukocyte esterase, white blood cells (WBC), and bacteria seen on urinalysis. The computed tomography scan detected a colo-colic intussusception secondary to a benign mass within the bowel lumen. The mass was surgically resected and the patient had an uneventful postoperative course. This unique case represents the occurrence of a pathology to which the adult population is not immune, and therefore should not be overlooked when evaluating a non-specific case of abdominal pain.

Topics: Intussusception, colo-colic, obstruction, abdominal pain, constipation, female, mass, bowel, lymphocyte, ultrasound, computed tomography.

Abstract Image

Abstract Image

长到成年:成人患者肠套叠病例报告
肠套叠是儿科常见的诊断方法,但由于腹腔内存在大量危及生命的病变,成人很少考虑肠套叠。我们为您介绍一位因腹痛和便秘而到急诊科就诊的成年女性。急诊科要求进行实验室检查和腹部计算机断层扫描(CT)。实验室检查结果显示,淋巴细胞计数、白细胞酯酶、白细胞(WBC)和尿检中发现的细菌均升高。计算机断层扫描发现,肠腔内的良性肿块导致结肠-结肠肠套叠。手术切除了肿块,患者术后恢复顺利。这个独特的病例代表了一种病理现象的发生,成年人对这种病理现象没有免疫力,因此在评估非特异性腹痛病例时不应忽视这种病理现象:肠套叠 结肠结肠梗阻 腹痛 便秘 女性 包块 肠道 淋巴细胞 超声波 计算机断层扫描
本文章由计算机程序翻译,如有差异,请以英文原文为准。
求助全文
约1分钟内获得全文 求助全文
来源期刊
自引率
0.00%
发文量
0
审稿时长
10 weeks
×
引用
GB/T 7714-2015
复制
MLA
复制
APA
复制
导出至
BibTeX EndNote RefMan NoteFirst NoteExpress
×
提示
您的信息不完整,为了账户安全,请先补充。
现在去补充
×
提示
您因"违规操作"
具体请查看互助需知
我知道了
×
提示
确定
请完成安全验证×
copy
已复制链接
快去分享给好友吧!
我知道了
右上角分享
点击右上角分享
0
联系我们:info@booksci.cn Book学术提供免费学术资源搜索服务,方便国内外学者检索中英文文献。致力于提供最便捷和优质的服务体验。 Copyright © 2023 布克学术 All rights reserved.
京ICP备2023020795号-1
ghs 京公网安备 11010802042870号
Book学术文献互助
Book学术文献互助群
群 号:604180095
Book学术官方微信