Interleukin-6-Positive Immune Cells as a Possible New Immunologic Marker Associated With the Colorectal Cancer Prognosis.

IF 1.2 4区 医学 Q3 ANATOMY & MORPHOLOGY
Maya Gulubova, Dimitur Chonov, Elina Aleksandrova, Koni Ivanova, M Magdalena Ignatova, Tatyana Vlaykova
{"title":"Interleukin-6-Positive Immune Cells as a Possible New Immunologic Marker Associated With the Colorectal Cancer Prognosis.","authors":"Maya Gulubova, Dimitur Chonov, Elina Aleksandrova, Koni Ivanova, M Magdalena Ignatova, Tatyana Vlaykova","doi":"10.1097/PAI.0000000000001198","DOIUrl":null,"url":null,"abstract":"<p><p>Chronic inflammation creates tumor microenvironment (TME) that facilitates colorectal cancer (CRC) cell proliferation, migration, metastasis, and tumor progression. Interleukin-6 (IL-6) is a proinflammatory cytokine with a pleiotropic effect on CRC development. We aimed to evaluate IL-6 expression in tumor cells and in immune cells in TME, to assess the serum level and IL6 -174 G/C genotype distribution and to correlate the results with selected morphologic and clinical parameters that may add useful information in understanding the mechanisms of human CRC progression. A total of 153 patients with CRC were recruited in the current study. We assessed the IL-6 serum concentration through the ELISA method, the expression of IL-6 in tumor and in immune cells by immunohistochemical and double immunofluorescence staining, the MSI status by immunоhistochemistry for 4 mismatch repair (MMR) proteins, and the genotype distributions for IL6 -174G/C (rs1800795) single-nucleotide polymorphism through PCR-RFLP method. Our results showed that serum IL-6 level were increased in CRC patients as compared with healthy controls (P<0.0001), and in patients with cancers with advanced histologic type (type IV). However, the higher concentration (above the median of 55.71 pg/mL) was with borderline association with longer survival of the patients after surgical therapy (P=0.055, Log rank test). We also found that IL-6+ immune cells prevailed in the invasive front (IF) of tumors compared with the tumor stroma (TS) (P<0.0001). More IL-6+ cells were recruited in the tumors with less advanced histologic type (I+II), with stronger inflammatory infiltrate in the IF, in early pTNM stages (I+II), without lymph node and distant metastases and the higher levels of IL-6+ cells, especially in the IF, were associated with longer survival (P=0.012). The results of our study suggest that although the serum levels of IL-6 are higher in CRC, the increased IL-6+ cells in tumor microenvironment, both in the invasive front and in tumor stroma, as well as the higher serum levels are associated with good prognostic variables and longer survival of the patients mainly in the early stages of CRC.</p>","PeriodicalId":48952,"journal":{"name":"Applied Immunohistochemistry & Molecular Morphology","volume":"32 5","pages":"233-243"},"PeriodicalIF":1.2000,"publicationDate":"2024-05-01","publicationTypes":"Journal Article","fieldsOfStudy":null,"isOpenAccess":false,"openAccessPdf":"https://www.ncbi.nlm.nih.gov/pmc/articles/PMC11073565/pdf/","citationCount":"0","resultStr":null,"platform":"Semanticscholar","paperid":null,"PeriodicalName":"Applied Immunohistochemistry & Molecular Morphology","FirstCategoryId":"3","ListUrlMain":"https://doi.org/10.1097/PAI.0000000000001198","RegionNum":4,"RegionCategory":"医学","ArticlePicture":[],"TitleCN":null,"AbstractTextCN":null,"PMCID":null,"EPubDate":"2024/4/22 0:00:00","PubModel":"Epub","JCR":"Q3","JCRName":"ANATOMY & MORPHOLOGY","Score":null,"Total":0}
引用次数: 0

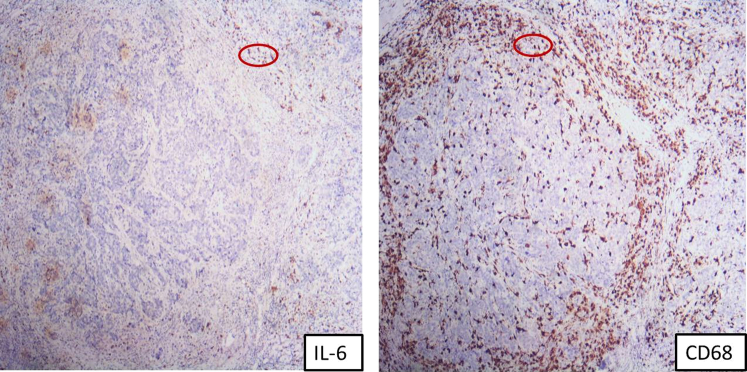
Abstract

Chronic inflammation creates tumor microenvironment (TME) that facilitates colorectal cancer (CRC) cell proliferation, migration, metastasis, and tumor progression. Interleukin-6 (IL-6) is a proinflammatory cytokine with a pleiotropic effect on CRC development. We aimed to evaluate IL-6 expression in tumor cells and in immune cells in TME, to assess the serum level and IL6 -174 G/C genotype distribution and to correlate the results with selected morphologic and clinical parameters that may add useful information in understanding the mechanisms of human CRC progression. A total of 153 patients with CRC were recruited in the current study. We assessed the IL-6 serum concentration through the ELISA method, the expression of IL-6 in tumor and in immune cells by immunohistochemical and double immunofluorescence staining, the MSI status by immunоhistochemistry for 4 mismatch repair (MMR) proteins, and the genotype distributions for IL6 -174G/C (rs1800795) single-nucleotide polymorphism through PCR-RFLP method. Our results showed that serum IL-6 level were increased in CRC patients as compared with healthy controls (P<0.0001), and in patients with cancers with advanced histologic type (type IV). However, the higher concentration (above the median of 55.71 pg/mL) was with borderline association with longer survival of the patients after surgical therapy (P=0.055, Log rank test). We also found that IL-6+ immune cells prevailed in the invasive front (IF) of tumors compared with the tumor stroma (TS) (P<0.0001). More IL-6+ cells were recruited in the tumors with less advanced histologic type (I+II), with stronger inflammatory infiltrate in the IF, in early pTNM stages (I+II), without lymph node and distant metastases and the higher levels of IL-6+ cells, especially in the IF, were associated with longer survival (P=0.012). The results of our study suggest that although the serum levels of IL-6 are higher in CRC, the increased IL-6+ cells in tumor microenvironment, both in the invasive front and in tumor stroma, as well as the higher serum levels are associated with good prognostic variables and longer survival of the patients mainly in the early stages of CRC.

Abstract Image

Abstract Image

Abstract Image

白细胞介素-6 阳性免疫细胞可能是与结直肠癌预后相关的新免疫标志物
慢性炎症会形成肿瘤微环境(TME),促进结直肠癌(CRC)细胞增殖、迁移、转移和肿瘤进展。白细胞介素-6(IL-6)是一种促炎细胞因子,对 CRC 的发展具有多重影响。我们的目的是评估 IL-6 在肿瘤细胞和 TME 中免疫细胞中的表达,评估血清水平和 IL6 -174 G/C 基因型分布,并将结果与选定的形态学和临床参数相关联,这些参数可能为了解人类 CRC 的进展机制提供有用信息。本研究共招募了 153 名 CRC 患者。我们通过ELISA方法检测了IL-6的血清浓度,通过免疫组织化学和双重免疫荧光染色检测了IL-6在肿瘤和免疫细胞中的表达,通过免疫组织化学检测了4种错配修复(MMR)蛋白的MSI状态,并通过PCR-RFLP方法检测了IL6 -174G/C(rs1800795)单核苷酸多态性的基因型分布。结果显示,与健康对照组相比,CRC 患者血清 IL-6 水平升高(P<0.05)。
本文章由计算机程序翻译,如有差异,请以英文原文为准。
求助全文
约1分钟内获得全文 求助全文
来源期刊
Applied Immunohistochemistry & Molecular Morphology
Applied Immunohistochemistry & Molecular Morphology ANATOMY & MORPHOLOGY-MEDICAL LABORATORY TECHNOLOGY
CiteScore
3.20
自引率
0.00%
发文量
153
期刊介绍: ​Applied Immunohistochemistry & Molecular Morphology covers newly developed identification and detection technologies, and their applications in research and diagnosis for the applied immunohistochemist & molecular Morphologist. Official Journal of the International Society for Immunohistochemisty and Molecular Morphology​.
×
引用
GB/T 7714-2015
复制
MLA
复制
APA
复制
导出至
BibTeX EndNote RefMan NoteFirst NoteExpress
×
提示
您的信息不完整,为了账户安全,请先补充。
现在去补充
×
提示
您因"违规操作"
具体请查看互助需知
我知道了
×
提示
确定
请完成安全验证×
copy
已复制链接
快去分享给好友吧!
我知道了
右上角分享
点击右上角分享
0
联系我们:info@booksci.cn Book学术提供免费学术资源搜索服务,方便国内外学者检索中英文文献。致力于提供最便捷和优质的服务体验。 Copyright © 2023 布克学术 All rights reserved.
京ICP备2023020795号-1
ghs 京公网安备 11010802042870号
Book学术文献互助
Book学术文献互助群
群 号:604180095
Book学术官方微信