A Review and Case Study of Genital and Extragenital Human Papillomavirus Type 6 and 11 Infections in Men Who Have Sex with Men Accompanied by Human Immunodeficiency Virus Infection.

IF 1.8 Q4 INFECTIOUS DISEASES
HIV AIDS-Research and Palliative Care Pub Date : 2024-04-30 eCollection Date: 2024-01-01 DOI:10.2147/HIV.S451989
Pati Aji Achdiat, Rita Septharina, Rasmia Rowawi, Hartati Purbo Dharmadji, Diah Puspitosari, Hermin Aminah Usman, Retno Hesty Maharani
{"title":"A Review and Case Study of Genital and Extragenital Human Papillomavirus Type 6 and 11 Infections in Men Who Have Sex with Men Accompanied by Human Immunodeficiency Virus Infection.","authors":"Pati Aji Achdiat, Rita Septharina, Rasmia Rowawi, Hartati Purbo Dharmadji, Diah Puspitosari, Hermin Aminah Usman, Retno Hesty Maharani","doi":"10.2147/HIV.S451989","DOIUrl":null,"url":null,"abstract":"<p><p>Extragenital warts caused by HPV types 6 and 11 are rarely reported. However, major risk factors for anogenital warts (AGW) include men who have sex with men (MSM) and Human Immunodeficiency Virus (HIV) infection. The incidence of extragenital warts among these populations has not been reported. This study presented a case report of a 33-year-old male with high-risk sexual behavior who showed symptoms of flesh-colored and hyperpigmentation papules. Furthermore, verrucous surfaces were observed at genital and extragenital. The patient had a history of using the same razor for pubic and armpit hair, bathing with a mesh scrub, and scratching the anal area. The histopathological result showed koilocytes, while polymerase chain reaction (PCR) examination for both genital and extragenital lesions confirmed HPV type 6 and 11. This represented the first reported case describing the incidence of extragenital and AGW caused by HPV types 6 and 11. The transmission of extragenital warts was facilitated through fomites autoinoculation, particularly in the immunocompromised condition induced by HIV, which was common among MSM. Extragenital warty-like lesions were considered as warts caused by HPV type 6/11, in HIV-infected persons, specifically MSM.</p>","PeriodicalId":46555,"journal":{"name":"HIV AIDS-Research and Palliative Care","volume":"16 ","pages":"175-182"},"PeriodicalIF":1.8000,"publicationDate":"2024-04-30","publicationTypes":"Journal Article","fieldsOfStudy":null,"isOpenAccess":false,"openAccessPdf":"https://www.ncbi.nlm.nih.gov/pmc/articles/PMC11069368/pdf/","citationCount":"0","resultStr":null,"platform":"Semanticscholar","paperid":null,"PeriodicalName":"HIV AIDS-Research and Palliative Care","FirstCategoryId":"1085","ListUrlMain":"https://doi.org/10.2147/HIV.S451989","RegionNum":0,"RegionCategory":null,"ArticlePicture":[],"TitleCN":null,"AbstractTextCN":null,"PMCID":null,"EPubDate":"2024/1/1 0:00:00","PubModel":"eCollection","JCR":"Q4","JCRName":"INFECTIOUS DISEASES","Score":null,"Total":0}
引用次数: 0

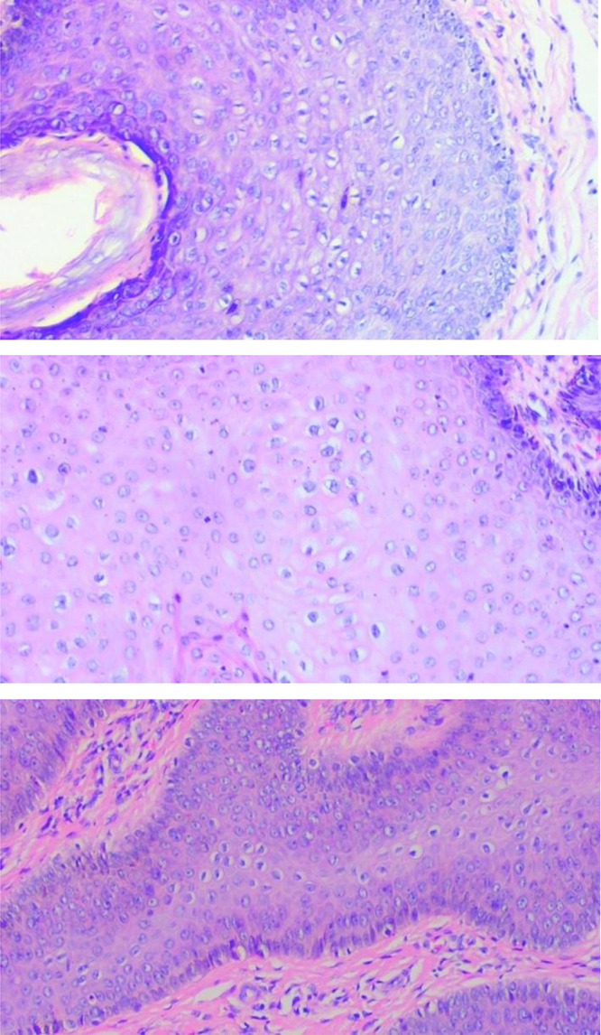
Abstract

Extragenital warts caused by HPV types 6 and 11 are rarely reported. However, major risk factors for anogenital warts (AGW) include men who have sex with men (MSM) and Human Immunodeficiency Virus (HIV) infection. The incidence of extragenital warts among these populations has not been reported. This study presented a case report of a 33-year-old male with high-risk sexual behavior who showed symptoms of flesh-colored and hyperpigmentation papules. Furthermore, verrucous surfaces were observed at genital and extragenital. The patient had a history of using the same razor for pubic and armpit hair, bathing with a mesh scrub, and scratching the anal area. The histopathological result showed koilocytes, while polymerase chain reaction (PCR) examination for both genital and extragenital lesions confirmed HPV type 6 and 11. This represented the first reported case describing the incidence of extragenital and AGW caused by HPV types 6 and 11. The transmission of extragenital warts was facilitated through fomites autoinoculation, particularly in the immunocompromised condition induced by HIV, which was common among MSM. Extragenital warty-like lesions were considered as warts caused by HPV type 6/11, in HIV-infected persons, specifically MSM.

Abstract Image

Abstract Image

Abstract Image

对伴有人类免疫缺陷病毒感染的男男性行为者生殖器和生殖器外人类乳头瘤病毒 6 型和 11 型感染的综述和病例研究。
由 HPV 6 型和 11 型引起的生殖器外疣很少见报道。然而,生殖器疣(AGW)的主要风险因素包括男男性行为者(MSM)和人类免疫缺陷病毒(HIV)感染。这些人群中生殖器外疣的发病率尚未见报道。本研究报告了一例 33 岁男性高危性行为患者的病例,该患者出现肉色和色素沉着丘疹症状。此外,还在生殖器和生殖器外观察到疣状表面。患者曾用同一把剃须刀剃阴毛和腋毛,用网状磨砂膏洗澡,并搔抓肛门部位。组织病理结果显示为柯伊氏细胞,而生殖器和生殖器外病变的聚合酶链反应(PCR)检查证实了 6 型和 11 型人乳头瘤病毒。这是首次报道由 6 型和 11 型 HPV 引起的生殖器外疣和成人疣。生殖器外尖锐湿疣的传播是通过寄生虫自体接种的方式进行的,尤其是在艾滋病病毒引起的免疫功能低下的情况下,这在男男性行为者中很常见。在艾滋病毒感染者,特别是男男性行为者中,生殖器外疣状病变被认为是由 6/11 型 HPV 引起的疣。
本文章由计算机程序翻译,如有差异,请以英文原文为准。
求助全文
约1分钟内获得全文 求助全文
来源期刊
CiteScore
3.00
自引率
6.70%
发文量
61
审稿时长
16 weeks
期刊介绍: About Dove Medical Press Dove Medical Press Ltd is part of Taylor & Francis Group, the Academic Publishing Division of Informa PLC. We specialize in the publication of Open Access peer-reviewed journals across the broad spectrum of science, technology and especially medicine. Dove Medical Press was founded in 2003 with the objective of combining the highest editorial standards with the ''best of breed'' new publishing technologies. We have offices in Manchester and London in the United Kingdom, representatives in Princeton, New Jersey in the United States, and our editorial offices are in Auckland, New Zealand. Dr Scott Fraser is our Medical Director based in the UK. He has been in full time clinical practice for over 20 years as well as having an active research interest.
×
引用
GB/T 7714-2015
复制
MLA
复制
APA
复制
导出至
BibTeX EndNote RefMan NoteFirst NoteExpress
×
提示
您的信息不完整,为了账户安全,请先补充。
现在去补充
×
提示
您因"违规操作"
具体请查看互助需知
我知道了
×
提示
确定
请完成安全验证×
copy
已复制链接
快去分享给好友吧!
我知道了
右上角分享
点击右上角分享
0
联系我们:info@booksci.cn Book学术提供免费学术资源搜索服务,方便国内外学者检索中英文文献。致力于提供最便捷和优质的服务体验。 Copyright © 2023 布克学术 All rights reserved.
京ICP备2023020795号-1
ghs 京公网安备 11010802042870号
Book学术文献互助
Book学术文献互助群
群 号:604180095
Book学术官方微信