Recurrent Adamantinoma With Fibrous Dysplasia-like Feature.

IF 1.9 Q3 PATHOLOGY
Clinical Pathology Pub Date : 2024-04-07 eCollection Date: 2024-01-01 DOI:10.1177/2632010X241240391
Anja Petaros, Veljko Šantić, Anita Savić Vuković, Petar Perić, Nives Jonjić
{"title":"Recurrent Adamantinoma With Fibrous Dysplasia-like Feature.","authors":"Anja Petaros, Veljko Šantić, Anita Savić Vuković, Petar Perić, Nives Jonjić","doi":"10.1177/2632010X241240391","DOIUrl":null,"url":null,"abstract":"<p><p>Adamantinoma (AD) is a rare, slow-growing primary malignant bone tumor characterized by a biphasic morphology of clusters of epithelial cells and spindle cell osteofibrous components. A strong relationship between AD and osteofibrous dysplasia (OFD) has been proposed, while fibrous dysplasia (FD) has been rarely associated with AD. We present an AD case that was followed and histologically evaluated 3 times over 6 years with different morphological patterns. The tumor in the primary biopsy and after complete resection showed classical features of AD and osteofibrous-like pattern, while the recurrent lesion presented with exclusively spindle cell morphology and was thus diagnosed as FD. However, the extensive immunohistochemical analysis in all 3 lesions revealed strong reactivity for pancytokeratin, vimentin, p63, and podoplanin, which are characteristic for AD. Although, in the FD-like section of the tumor from the first recurrence the positivity of podoplanin was stronger than pancitokeratin, which was variably positive on spindle cells. The present case highlights the problem of diagnosing AD based on a single biopsy with one tumor's component predominating over the other, and at the same time emphasizes the importance of using immunohistochemical staining for keratin and podoplanin when the histopathological features of (osteo)fibrous lesion can be linked to AD.</p>","PeriodicalId":53204,"journal":{"name":"Clinical Pathology","volume":"17 ","pages":"2632010X241240391"},"PeriodicalIF":1.9000,"publicationDate":"2024-04-07","publicationTypes":"Journal Article","fieldsOfStudy":null,"isOpenAccess":false,"openAccessPdf":"https://www.ncbi.nlm.nih.gov/pmc/articles/PMC11003218/pdf/","citationCount":"0","resultStr":null,"platform":"Semanticscholar","paperid":null,"PeriodicalName":"Clinical Pathology","FirstCategoryId":"1085","ListUrlMain":"https://doi.org/10.1177/2632010X241240391","RegionNum":0,"RegionCategory":null,"ArticlePicture":[],"TitleCN":null,"AbstractTextCN":null,"PMCID":null,"EPubDate":"2024/1/1 0:00:00","PubModel":"eCollection","JCR":"Q3","JCRName":"PATHOLOGY","Score":null,"Total":0}
引用次数: 0

Abstract

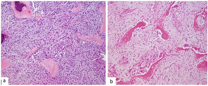
Adamantinoma (AD) is a rare, slow-growing primary malignant bone tumor characterized by a biphasic morphology of clusters of epithelial cells and spindle cell osteofibrous components. A strong relationship between AD and osteofibrous dysplasia (OFD) has been proposed, while fibrous dysplasia (FD) has been rarely associated with AD. We present an AD case that was followed and histologically evaluated 3 times over 6 years with different morphological patterns. The tumor in the primary biopsy and after complete resection showed classical features of AD and osteofibrous-like pattern, while the recurrent lesion presented with exclusively spindle cell morphology and was thus diagnosed as FD. However, the extensive immunohistochemical analysis in all 3 lesions revealed strong reactivity for pancytokeratin, vimentin, p63, and podoplanin, which are characteristic for AD. Although, in the FD-like section of the tumor from the first recurrence the positivity of podoplanin was stronger than pancitokeratin, which was variably positive on spindle cells. The present case highlights the problem of diagnosing AD based on a single biopsy with one tumor's component predominating over the other, and at the same time emphasizes the importance of using immunohistochemical staining for keratin and podoplanin when the histopathological features of (osteo)fibrous lesion can be linked to AD.

Abstract Image

Abstract Image

Abstract Image

复发性金刚烷瘤伴纤维增生异常样特征
金刚瘤(Adamantinoma,AD)是一种罕见的、生长缓慢的原发性恶性骨肿瘤,其特征是上皮细胞簇和纺锤形细胞骨纤维成分的双相形态。有人认为AD与骨纤维发育不良(OFD)关系密切,而纤维发育不良(FD)很少与AD相关。我们报告了一个AD病例,该病例在6年中接受了3次随访和组织学评估,其形态模式各不相同。原发活检和完全切除后的肿瘤显示出 AD 的典型特征和骨纤维样形态,而复发病灶仅表现为纺锤形细胞形态,因此被诊断为 FD。然而,对这 3 个病灶进行的大量免疫组化分析表明,Pancytokeratin、vimentin、p63 和 podoplanin 具有很强的反应性,而这正是 AD 的特征。不过,在第一次复发的 FD 样肿瘤切片中,荚膜印迹蛋白的阳性反应强于胰角蛋白,而胰角蛋白在纺锤形细胞上呈不同程度的阳性反应。本病例凸显了根据单次活检诊断AD的问题,即一种肿瘤成分比另一种肿瘤成分更主要,同时强调了当组织病理学特征(骨)纤维性病变可能与AD有关时,使用免疫组化染色法检测角蛋白和荚膜磷脂的重要性。
本文章由计算机程序翻译,如有差异,请以英文原文为准。
求助全文
约1分钟内获得全文 求助全文
来源期刊
Clinical Pathology
Clinical Pathology PATHOLOGY-
CiteScore
2.20
自引率
7.70%
发文量
66
×
引用
GB/T 7714-2015
复制
MLA
复制
APA
复制
导出至
BibTeX EndNote RefMan NoteFirst NoteExpress
×
提示
您的信息不完整,为了账户安全,请先补充。
现在去补充
×
提示
您因"违规操作"
具体请查看互助需知
我知道了
×
提示
确定
请完成安全验证×
copy
已复制链接
快去分享给好友吧!
我知道了
右上角分享
点击右上角分享
0
联系我们:info@booksci.cn Book学术提供免费学术资源搜索服务,方便国内外学者检索中英文文献。致力于提供最便捷和优质的服务体验。 Copyright © 2023 布克学术 All rights reserved.
京ICP备2023020795号-1
ghs 京公网安备 11010802042870号
Book学术文献互助
Book学术文献互助群
群 号:604180095
Book学术官方微信