Minimally-Invasive Approach in the Setting of a Malignant Primary Cardiac Tumor.

IF 0.3 Q4 SURGERY
Thoracic and Cardiovascular Surgeon Reports Pub Date : 2024-04-23 eCollection Date: 2024-01-01 DOI:10.1055/a-2298-0497
Emre Polat, Sina Stock, Tamer Owais, Evaldas Girdauskas
{"title":"Minimally-Invasive Approach in the Setting of a Malignant Primary Cardiac Tumor.","authors":"Emre Polat, Sina Stock, Tamer Owais, Evaldas Girdauskas","doi":"10.1055/a-2298-0497","DOIUrl":null,"url":null,"abstract":"<p><p>A 71-year-old man with dilated cardiomyopathy without clinical complaints revealed a suspicious finding in checkup. After a multimodality cardiac imaging, the suspicion of a malignant primary cardiac tumor in the left ventricle was substantiated and the patient underwent minimally-invasive cardiac surgery for tumor resection. Postoperative chemotherapy with multiple cycles of liposomal doxorubicin was established and supported by proton beam radiotherapy. Two-year follow-up revealed no disease recurrence.</p>","PeriodicalId":41729,"journal":{"name":"Thoracic and Cardiovascular Surgeon Reports","volume":"13 1","pages":"e16-e19"},"PeriodicalIF":0.3000,"publicationDate":"2024-04-23","publicationTypes":"Journal Article","fieldsOfStudy":null,"isOpenAccess":false,"openAccessPdf":"https://www.ncbi.nlm.nih.gov/pmc/articles/PMC11039063/pdf/","citationCount":"0","resultStr":null,"platform":"Semanticscholar","paperid":null,"PeriodicalName":"Thoracic and Cardiovascular Surgeon Reports","FirstCategoryId":"1085","ListUrlMain":"https://doi.org/10.1055/a-2298-0497","RegionNum":0,"RegionCategory":null,"ArticlePicture":[],"TitleCN":null,"AbstractTextCN":null,"PMCID":null,"EPubDate":"2024/1/1 0:00:00","PubModel":"eCollection","JCR":"Q4","JCRName":"SURGERY","Score":null,"Total":0}
引用次数: 0

Abstract

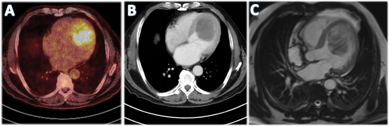
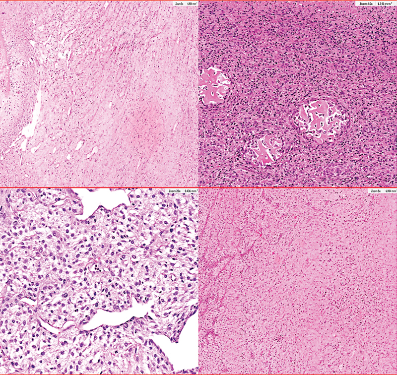
A 71-year-old man with dilated cardiomyopathy without clinical complaints revealed a suspicious finding in checkup. After a multimodality cardiac imaging, the suspicion of a malignant primary cardiac tumor in the left ventricle was substantiated and the patient underwent minimally-invasive cardiac surgery for tumor resection. Postoperative chemotherapy with multiple cycles of liposomal doxorubicin was established and supported by proton beam radiotherapy. Two-year follow-up revealed no disease recurrence.

Abstract Image

Abstract Image

Abstract Image

在恶性原发性心脏肿瘤的情况下采用微创方法。
一名 71 岁的男子患有扩张型心肌病,无临床症状,体检时发现可疑病变。经过多模态心脏成像检查,左心室恶性原发性心脏肿瘤的怀疑得到证实,患者接受了微创心脏手术切除肿瘤。术后采用多周期脂质体多柔比星化疗,并辅以质子束放疗。两年的随访显示疾病没有复发。
本文章由计算机程序翻译,如有差异,请以英文原文为准。
求助全文
约1分钟内获得全文 求助全文
来源期刊
自引率
0.00%
发文量
20
×
引用
GB/T 7714-2015
复制
MLA
复制
APA
复制
导出至
BibTeX EndNote RefMan NoteFirst NoteExpress
×
提示
您的信息不完整,为了账户安全,请先补充。
现在去补充
×
提示
您因"违规操作"
具体请查看互助需知
我知道了
×
提示
确定
请完成安全验证×
copy
已复制链接
快去分享给好友吧!
我知道了
右上角分享
点击右上角分享
0
联系我们:info@booksci.cn Book学术提供免费学术资源搜索服务,方便国内外学者检索中英文文献。致力于提供最便捷和优质的服务体验。 Copyright © 2023 布克学术 All rights reserved.
京ICP备2023020795号-1
ghs 京公网安备 11010802042870号
Book学术文献互助
Book学术文献互助群
群 号:604180095
Book学术官方微信