Comparative Outcomes of Percutaneous and Conventional Open Pedicle Screw Fixation for Single-level Thoracolumbar Spine Injury: Randomised Controlled Trial.

IF 0.6 Q4 ORTHOPEDICS
K Choovongkomol, U Piyapromdee, S Thepjung, T Tanaviriyachai, S Jongkittanakul, W Sudprasert
{"title":"Comparative Outcomes of Percutaneous and Conventional Open Pedicle Screw Fixation for Single-level Thoracolumbar Spine Injury: Randomised Controlled Trial.","authors":"K Choovongkomol, U Piyapromdee, S Thepjung, T Tanaviriyachai, S Jongkittanakul, W Sudprasert","doi":"10.5704/MOJ.2403.014","DOIUrl":null,"url":null,"abstract":"<p><strong>Introduction: </strong>To compare post-operative outcomes of percutaneous pedicle screw fixation (PPSF) vs open pedicle screw fixation (OPSF) in patients with thoracolumbar spine fractures with no neurological deficits.</p><p><strong>Materials and methods: </strong>In a randomised controlled trial, patients received short-segment fixation with intermediate screws. We assessed post-operative back pain (Visual Analog Scale or VAS), blood loss, operative/fluoroscopy times, radiographic parameters, and oswestry disability index (ODI) scores at 1, 2, 3, 6, 9, and 12 months.</p><p><strong>Results: </strong>Between January 2018 and October 2019, 31 patients received PPSF and 30 OPSF. Mean intra-operative blood loss was 66.45 (±44.29) ml for PPSF vs 184.83 (±128.36) ml for OPSF (p<0.001). Fluoroscopy time averaged 2.36 (±0.76) minutes for PPSF vs 0.58 (±0.51) minutes for OPSF (p<0.001). No significant differences existed in operative time or post-operative VAS scores. Radiographic parameters (kyphosis angle and vertebral height ratios) didn't significantly differ post-operatively or at 12 months. However, ODI scores differed significantly at 6 months (p=0.025), with no difference at 12 months.</p><p><strong>Conclusion: </strong>In this trial, PPSF was comparable to OPSF in improving ODI scores at 12 months but showed earlier improvement at 6 months and reduced blood loss. Radiographic outcomes remained similar between groups over 12 months.</p>","PeriodicalId":45241,"journal":{"name":"Malaysian Orthopaedic Journal","volume":"18 1","pages":"106-115"},"PeriodicalIF":0.6000,"publicationDate":"2024-03-01","publicationTypes":"Journal Article","fieldsOfStudy":null,"isOpenAccess":false,"openAccessPdf":"https://www.ncbi.nlm.nih.gov/pmc/articles/PMC11023354/pdf/","citationCount":"0","resultStr":null,"platform":"Semanticscholar","paperid":null,"PeriodicalName":"Malaysian Orthopaedic Journal","FirstCategoryId":"1085","ListUrlMain":"https://doi.org/10.5704/MOJ.2403.014","RegionNum":0,"RegionCategory":null,"ArticlePicture":[],"TitleCN":null,"AbstractTextCN":null,"PMCID":null,"EPubDate":"","PubModel":"","JCR":"Q4","JCRName":"ORTHOPEDICS","Score":null,"Total":0}
引用次数: 0

Abstract

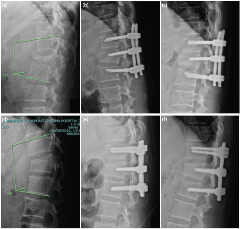
Introduction: To compare post-operative outcomes of percutaneous pedicle screw fixation (PPSF) vs open pedicle screw fixation (OPSF) in patients with thoracolumbar spine fractures with no neurological deficits.

Materials and methods: In a randomised controlled trial, patients received short-segment fixation with intermediate screws. We assessed post-operative back pain (Visual Analog Scale or VAS), blood loss, operative/fluoroscopy times, radiographic parameters, and oswestry disability index (ODI) scores at 1, 2, 3, 6, 9, and 12 months.

Results: Between January 2018 and October 2019, 31 patients received PPSF and 30 OPSF. Mean intra-operative blood loss was 66.45 (±44.29) ml for PPSF vs 184.83 (±128.36) ml for OPSF (p<0.001). Fluoroscopy time averaged 2.36 (±0.76) minutes for PPSF vs 0.58 (±0.51) minutes for OPSF (p<0.001). No significant differences existed in operative time or post-operative VAS scores. Radiographic parameters (kyphosis angle and vertebral height ratios) didn't significantly differ post-operatively or at 12 months. However, ODI scores differed significantly at 6 months (p=0.025), with no difference at 12 months.

Conclusion: In this trial, PPSF was comparable to OPSF in improving ODI scores at 12 months but showed earlier improvement at 6 months and reduced blood loss. Radiographic outcomes remained similar between groups over 12 months.

Abstract Image

Abstract Image

Abstract Image

经皮和传统开放式椎弓根螺钉固定治疗单层次胸腰椎损伤的疗效比较:随机对照试验。
简介比较经皮椎弓根螺钉固定术(PPSF)与开放式椎弓根螺钉固定术(OPSF)对无神经功能障碍的胸腰椎骨折患者的术后效果:在随机对照试验中,患者接受中间螺钉短节段固定。我们评估了术后1、2、3、6、9和12个月的背痛(视觉模拟量表或VAS)、失血量、手术/荧光镜检查时间、放射学参数和oswestry残疾指数(ODI)评分:2018年1月至2019年10月,31名患者接受了PPSF,30名患者接受了OPSF。PPSF的术中平均失血量为66.45(±44.29)毫升,而OPSF为184.83(±128.36)毫升(P结论:在这项试验中,PPSF 与 OPSF 在改善 12 个月的 ODI 评分方面不相上下,但在 6 个月的改善时间更早,失血量更少。在 12 个月内,各组的放射学结果仍然相似。
本文章由计算机程序翻译,如有差异,请以英文原文为准。
求助全文
约1分钟内获得全文 求助全文
来源期刊
CiteScore
1.30
自引率
0.00%
发文量
104
审稿时长
24 weeks
期刊介绍: The Malaysian Orthopaedic Journal is a peer-reviewed journal that publishes original papers and case reports three times a year in both printed and electronic version. The purpose of MOJ is to disseminate new knowledge and provide updates in Orthopaedics, trauma and musculoskeletal research. It is an Open Access journal that does not require processing fee or article processing charge from the authors. The Malaysian Orthopaedic Journal is the official journal of Malaysian Orthopaedic Association (MOA) and ASEAN Orthopaedic Association (AOA).
×
引用
GB/T 7714-2015
复制
MLA
复制
APA
复制
导出至
BibTeX EndNote RefMan NoteFirst NoteExpress
×
提示
您的信息不完整,为了账户安全,请先补充。
现在去补充
×
提示
您因"违规操作"
具体请查看互助需知
我知道了
×
提示
确定
请完成安全验证×
copy
已复制链接
快去分享给好友吧!
我知道了
右上角分享
点击右上角分享
0
联系我们:info@booksci.cn Book学术提供免费学术资源搜索服务,方便国内外学者检索中英文文献。致力于提供最便捷和优质的服务体验。 Copyright © 2023 布克学术 All rights reserved.
京ICP备2023020795号-1
ghs 京公网安备 11010802042870号
Book学术文献互助
Book学术文献互助群
群 号:604180095
Book学术官方微信