Quadriplegia, Dysphagia and Ataxia Manifested in a Child With COVID-19 Related Acute Necrotizing Encephalopathy: A Case Report.

Brain & NeuroRehabilitation Pub Date : 2024-01-04 eCollection Date: 2024-03-01 DOI:10.12786/bn.2024.17.e2
Young-Su Ku, Kyung-Lim Joa, Myeong-Ok Kim, Chang-Hwan Kim, Han-Young Jung
{"title":"Quadriplegia, Dysphagia and Ataxia Manifested in a Child With COVID-19 Related Acute Necrotizing Encephalopathy: A Case Report.","authors":"Young-Su Ku, Kyung-Lim Joa, Myeong-Ok Kim, Chang-Hwan Kim, Han-Young Jung","doi":"10.12786/bn.2024.17.e2","DOIUrl":null,"url":null,"abstract":"<p><p>Coronavirus disease 2019 (COVID-19), caused by severe acute respiratory syndrome coronavirus 2, presents primarily with respiratory symptoms. However, children with COVID-19 are usually asymptomatic or mild acute symptoms and also neurological manifestations have also been observed. We report the case of a 7-year-old girl who presented with high fever and altered mental status, leading to a diagnosis of COVID-19 and acute necrotizing encephalopathy (ANE). The patient received intensive medical care in the intensive care unit and subsequently underwent rehabilitation programs due to neurological functional sequelae. Neurological complications in COVID-19, including ANE, may result from potential viral nerve involvement, cytokine storms, and the blood-brain barrier disruption. Early rehabilitation plays a pivotal role in managing COVID-19-related neurological complications and enhancing patients' functional outcomes. Further research is essential to gain a better understanding of the mechanisms and treatment strategies for neurological manifestations in pediatric COVID-19 patients, particularly those with multisystem inflammatory syndrome in child.</p>","PeriodicalId":72442,"journal":{"name":"Brain & NeuroRehabilitation","volume":"17 1","pages":"e2"},"PeriodicalIF":0.0000,"publicationDate":"2024-01-04","publicationTypes":"Journal Article","fieldsOfStudy":null,"isOpenAccess":false,"openAccessPdf":"https://www.ncbi.nlm.nih.gov/pmc/articles/PMC10990845/pdf/","citationCount":"0","resultStr":null,"platform":"Semanticscholar","paperid":null,"PeriodicalName":"Brain & NeuroRehabilitation","FirstCategoryId":"1085","ListUrlMain":"https://doi.org/10.12786/bn.2024.17.e2","RegionNum":0,"RegionCategory":null,"ArticlePicture":[],"TitleCN":null,"AbstractTextCN":null,"PMCID":null,"EPubDate":"2024/3/1 0:00:00","PubModel":"eCollection","JCR":"","JCRName":"","Score":null,"Total":0}
引用次数: 0

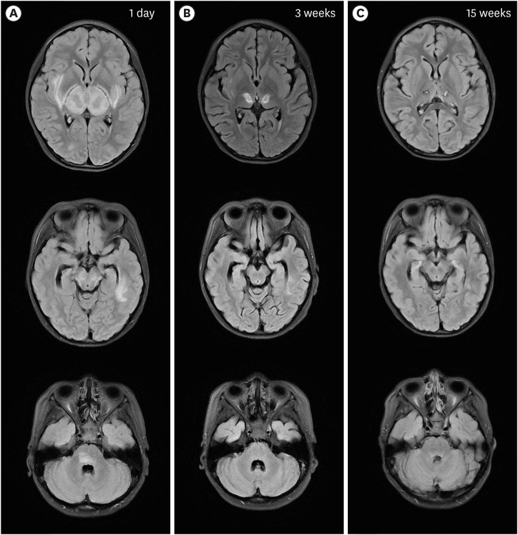
Abstract

Coronavirus disease 2019 (COVID-19), caused by severe acute respiratory syndrome coronavirus 2, presents primarily with respiratory symptoms. However, children with COVID-19 are usually asymptomatic or mild acute symptoms and also neurological manifestations have also been observed. We report the case of a 7-year-old girl who presented with high fever and altered mental status, leading to a diagnosis of COVID-19 and acute necrotizing encephalopathy (ANE). The patient received intensive medical care in the intensive care unit and subsequently underwent rehabilitation programs due to neurological functional sequelae. Neurological complications in COVID-19, including ANE, may result from potential viral nerve involvement, cytokine storms, and the blood-brain barrier disruption. Early rehabilitation plays a pivotal role in managing COVID-19-related neurological complications and enhancing patients' functional outcomes. Further research is essential to gain a better understanding of the mechanisms and treatment strategies for neurological manifestations in pediatric COVID-19 patients, particularly those with multisystem inflammatory syndrome in child.

Abstract Image

Abstract Image

Abstract Image

一名患 COVID-19 相关急性坏死性脑病的儿童出现四肢瘫痪、吞咽困难和共济失调:病例报告。
由严重急性呼吸系统综合征冠状病毒 2 引起的冠状病毒病 2019(COVID-19)主要表现为呼吸道症状。然而,COVID-19 儿童通常无症状或有轻微急性症状,也可观察到神经系统表现。我们报告了一例 7 岁女孩的病例,她因高烧和精神状态改变而被诊断为 COVID-19 和急性坏死性脑病(ANE)。患者在重症监护室接受了强化医疗护理,随后因神经功能后遗症接受了康复治疗。潜在的病毒性神经受累、细胞因子风暴和血脑屏障破坏可能导致 COVID-19 的神经系统并发症,包括 ANE。早期康复在控制 COVID-19 相关神经系统并发症和提高患者功能预后方面发挥着关键作用。为了更好地了解小儿 COVID-19 患者(尤其是患有多系统炎症综合征的儿童患者)神经系统表现的机制和治疗策略,必须开展进一步的研究。
本文章由计算机程序翻译,如有差异,请以英文原文为准。
求助全文
约1分钟内获得全文 求助全文
来源期刊
自引率
0.00%
发文量
0
×
引用
GB/T 7714-2015
复制
MLA
复制
APA
复制
导出至
BibTeX EndNote RefMan NoteFirst NoteExpress
×
提示
您的信息不完整,为了账户安全,请先补充。
现在去补充
×
提示
您因"违规操作"
具体请查看互助需知
我知道了
×
提示
确定
请完成安全验证×
copy
已复制链接
快去分享给好友吧!
我知道了
右上角分享
点击右上角分享
0
联系我们:info@booksci.cn Book学术提供免费学术资源搜索服务,方便国内外学者检索中英文文献。致力于提供最便捷和优质的服务体验。 Copyright © 2023 布克学术 All rights reserved.
京ICP备2023020795号-1
ghs 京公网安备 11010802042870号
Book学术文献互助
Book学术文献互助群
群 号:604180095
Book学术官方微信