Hydrocolpos causing bowel obstruction in a preterm newborn: a case report.

Martin Jouza, Ingrid Rejdova, Lukas Cintula, Anna Jouzova, Petr Jabandziev
{"title":"Hydrocolpos causing bowel obstruction in a preterm newborn: a case report.","authors":"Martin Jouza, Ingrid Rejdova, Lukas Cintula, Anna Jouzova, Petr Jabandziev","doi":"10.1186/s40748-024-00179-3","DOIUrl":null,"url":null,"abstract":"<p><strong>Background: </strong>Imperforate hymen is the most common congenital defect of the female urogenital tract. The spectrum of clinical manifestations is broad, ranging from mild cases undiagnosed until adolescence to severe cases of giant intraabdominal masses. The most common complication of hydrocolpos is bladder compression, resulting in obstructive uropathy and hydronephrosis.</p><p><strong>Case presentation: </strong>We present here the case of a preterm neonate who was admitted to the surgical neonatal intensive care unit for bowel obstruction. The baby did not appear septic or unwell, a small amount of meconium passed frequently, and no bilious gastric residuals occurred. Based on these findings, acute abdominal obstruction was doubtful, and the surgeon chose a conservative (watch and wait) approach. Subsequently, we performed abdominal ultrasound and magnetic resonance imaging based on unclear information about a suspicious abdominal mass raised by the gynecologist shortly before the emergency C-section. The final diagnosis was congenital hydrocolpos due to imperforate hymen. The pediatric gynecologist indicated an incision of the imperforate hymen under general anesthesia. The incision resolved abdominal distention as well as the bowel obstruction.</p><p><strong>Conclusion: </strong>The presentation of hydrocolpos was not typical (no bulging in the vaginal introitus) in our case, and clinical symptoms implied acute bowel obstruction shortly after birth. The surgeon chose a conservative (watch and wait) approach as the baby did not appear unwell on the second day of life. Fortunately, diagnostic laparotomy was not required as the next step in bowel obstruction management. All clinical symptoms resolved after a minor surgical procedure.</p>","PeriodicalId":74120,"journal":{"name":"Maternal health, neonatology and perinatology","volume":"10 1","pages":"10"},"PeriodicalIF":0.0000,"publicationDate":"2024-05-02","publicationTypes":"Journal Article","fieldsOfStudy":null,"isOpenAccess":false,"openAccessPdf":"https://www.ncbi.nlm.nih.gov/pmc/articles/PMC11064300/pdf/","citationCount":"0","resultStr":null,"platform":"Semanticscholar","paperid":null,"PeriodicalName":"Maternal health, neonatology and perinatology","FirstCategoryId":"1085","ListUrlMain":"https://doi.org/10.1186/s40748-024-00179-3","RegionNum":0,"RegionCategory":null,"ArticlePicture":[],"TitleCN":null,"AbstractTextCN":null,"PMCID":null,"EPubDate":"","PubModel":"","JCR":"","JCRName":"","Score":null,"Total":0}
引用次数: 0

Abstract

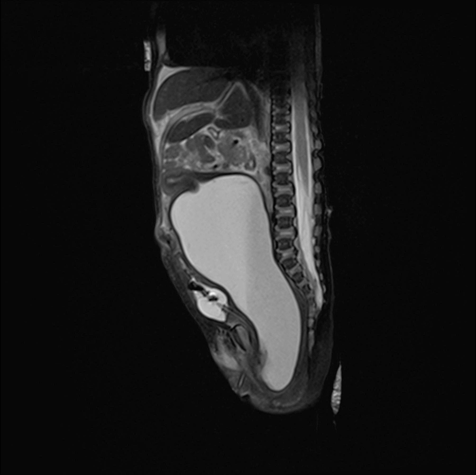
Background: Imperforate hymen is the most common congenital defect of the female urogenital tract. The spectrum of clinical manifestations is broad, ranging from mild cases undiagnosed until adolescence to severe cases of giant intraabdominal masses. The most common complication of hydrocolpos is bladder compression, resulting in obstructive uropathy and hydronephrosis.

Case presentation: We present here the case of a preterm neonate who was admitted to the surgical neonatal intensive care unit for bowel obstruction. The baby did not appear septic or unwell, a small amount of meconium passed frequently, and no bilious gastric residuals occurred. Based on these findings, acute abdominal obstruction was doubtful, and the surgeon chose a conservative (watch and wait) approach. Subsequently, we performed abdominal ultrasound and magnetic resonance imaging based on unclear information about a suspicious abdominal mass raised by the gynecologist shortly before the emergency C-section. The final diagnosis was congenital hydrocolpos due to imperforate hymen. The pediatric gynecologist indicated an incision of the imperforate hymen under general anesthesia. The incision resolved abdominal distention as well as the bowel obstruction.

Conclusion: The presentation of hydrocolpos was not typical (no bulging in the vaginal introitus) in our case, and clinical symptoms implied acute bowel obstruction shortly after birth. The surgeon chose a conservative (watch and wait) approach as the baby did not appear unwell on the second day of life. Fortunately, diagnostic laparotomy was not required as the next step in bowel obstruction management. All clinical symptoms resolved after a minor surgical procedure.

Abstract Image

Abstract Image

Abstract Image

早产新生儿水肿导致肠梗阻:病例报告。
背景:处女膜穿孔是女性泌尿生殖道最常见的先天性缺陷。其临床表现范围很广,轻者直到青春期才被诊断出来,重者会出现腹腔内巨大肿块。膀胱积水最常见的并发症是膀胱受压,导致梗阻性尿病和肾积水:我们在此介绍一例因肠梗阻而被送入新生儿外科重症监护室的早产新生儿。患儿没有出现败血症或不适症状,少量胎粪频繁排出,也没有胆汁残留。根据这些结果,急性腹腔梗阻的可能性不大,外科医生选择了保守治疗(观察和等待)。随后,我们根据妇科医生在紧急剖腹产前不久提出的可疑腹部肿块的不明确信息,进行了腹部超声和磁共振成像检查。最终诊断为处女膜未穿孔导致的先天性肾积水。儿科妇科医生建议在全身麻醉下切开处女膜。切口术后,腹胀和肠梗阻症状消失:结论:在我们的病例中,阴道积液的表现并不典型(阴道内口没有隆起),临床症状暗示着出生后不久就会出现急性肠梗阻。由于婴儿在出生后第二天并无不适,外科医生选择了保守治疗(观察和等待)。幸运的是,下一步的肠梗阻治疗无需进行诊断性开腹手术。经过一个小手术后,所有临床症状都得到了缓解。
本文章由计算机程序翻译,如有差异,请以英文原文为准。
求助全文
约1分钟内获得全文 求助全文
来源期刊
自引率
0.00%
发文量
0
审稿时长
12 weeks
×
引用
GB/T 7714-2015
复制
MLA
复制
APA
复制
导出至
BibTeX EndNote RefMan NoteFirst NoteExpress
×
提示
您的信息不完整,为了账户安全,请先补充。
现在去补充
×
提示
您因"违规操作"
具体请查看互助需知
我知道了
×
提示
确定
请完成安全验证×
copy
已复制链接
快去分享给好友吧!
我知道了
右上角分享
点击右上角分享
0
联系我们:info@booksci.cn Book学术提供免费学术资源搜索服务,方便国内外学者检索中英文文献。致力于提供最便捷和优质的服务体验。 Copyright © 2023 布克学术 All rights reserved.
京ICP备2023020795号-1
ghs 京公网安备 11010802042870号
Book学术文献互助
Book学术文献互助群
群 号:604180095
Book学术官方微信